Skip to main content

Key Product Details

Species Reactivity

Mouse

Applications

Immunohistochemistry, Western Blot

Label

Unconjugated

Antibody Source

Polyclonal Sheep IgG

Product Specifications

Immunogen

Mouse myeloma cell line NS0-derived recombinant mouse Brorin/VWC2
Ser28-Met324
Accession # Q8C8N3

Specificity

Detects mouse Brorin/VWC2 in direct ELISAs and Western blots. In direct ELISAs, approximately 100% cross-reactivity with recombinant human Brorin/VWC2 is observed.

Clonality

Polyclonal

Host

Sheep

Isotype

IgG

Scientific Data Images for Mouse Brorin/VWC2 Antibody

Detection of Mouse and Rat Brorin/VWC2 antibody by Western Blot.

Detection of Mouse and Rat Brorin/VWC2 by Western Blot.

Western blot shows lysates of rat cortical neuron tissue and mouse brain (thalamus/hypothalamus) tissue. PVDF Membrane was probed with 1 µg/mL of Sheep Anti-Mouse Brorin/VWC2 Antigen Affinity-purified Polyclonal Antibody (Catalog # AF6730) followed by HRP-conjugated Anti-Sheep IgG Secondary Antibody (Catalog # HAF016). A specific band was detected for Brorin/VWC2 at approximately 35 kDa (as indicated). This experiment was conducted under reducing conditions and using Immunoblot Buffer Group 1.
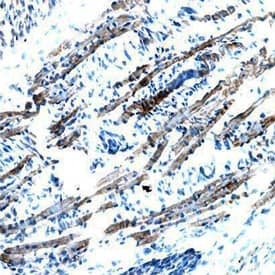
Brorin/VWC2 antibody in Mouse Embryo by Immunohistochemistry (IHC-Fr).

Brorin/VWC2 in Mouse Embryo.

Brorin/VWC2 was detected in immersion fixed frozen sections of mouse embryo (13 d.p.c.) using Sheep Anti-Mouse Brorin/VWC2 Antigen Affinity-purified Polyclonal Antibody (Catalog # AF6730) at 5 µg/mL overnight at 4 °C. Tissue was stained using the Anti-Sheep HRP-DAB Cell & Tissue Staining Kit (brown; Catalog # CTS019) and counterstained with hematoxylin (blue). Specific staining was localized to the cytoplasm of mesenchyme/muscle cells. View our protocol for Chromogenic IHC Staining of Frozen Tissue Sections.

Applications for Mouse Brorin/VWC2 Antibody

Application
Recommended Usage

Immunohistochemistry

5-15 µg/mL
Sample: Immersion fixed frozen sections of mouse embryo (13 d.p.c.)

Western Blot

1 µg/mL
Sample: Rat cortical neuron tissue and mouse brain (thalamus/hypothalamus) tissue

Formulation, Preparation, and Storage

Purification

Antigen Affinity-purified

Reconstitution

Sterile PBS to a final concentration of 0.2 mg/mL. For liquid material, refer to CoA for concentration.

Reconstitution Buffer Available:
Size / Price
Qty
Loading...

Formulation

Lyophilized from a 0.2 μm filtered solution in PBS with Trehalose. *Small pack size (SP) is supplied either lyophilized or as a 0.2 µm filtered solution in PBS.

Shipping

Lyophilized product is shipped at ambient temperature. Liquid small pack size (-SP) is shipped with polar packs. Upon receipt, store immediately at the temperature recommended below.

Stability & Storage

Use a manual defrost freezer and avoid repeated freeze-thaw cycles.
  • 12 months from date of receipt, -20 to -70 °C as supplied.
  • 1 month, 2 to 8 °C under sterile conditions after reconstitution.
  • 6 months, -20 to -70 °C under sterile conditions after reconstitution.

Background: Brorin/VWC2

Mouse VWC2 (von Willebrand Factor C domain-containing protein 2; also Brorin and cradin) is a secreted, 35 kDa (predicted) member of the chordin family of proteins. It is expressed in the choroid plexus and by neurons in multiple sites, and serves to sequester BMP family proteins such as BMP-2 and BMP-6. BMP antagonism is suggested to generate neurons from neural precursor cells at the expense of astrocytes. Mouse VWC2 precursor is 324 amino acids (aa) in length. It contains a 27 aa signal sequence, one poly-Ala region (aa 124-129), and two von Willebrand factor C domains (aa 152-211 and 215-273) that likely serve as BMP interaction sites. Over aa 28-324, mouse VWC2 shares 90% aa identity with human VWC2.

Long Name

von Willebrand Factor A2 Domain

Alternate Names

Brain-specific chordin-like protein, VWC2

Entrez Gene IDs

375567 (Human); 319922 (Mouse); 501231 (Rat)

Gene Symbol

VWC2

UniProt

Additional Brorin/VWC2 Products

Product Documents for Mouse Brorin/VWC2 Antibody

Certificate of Analysis

To download a Certificate of Analysis, please enter a lot number in the search box below.

Note: Certificate of Analysis not available for kit components.

Product Specific Notices for Mouse Brorin/VWC2 Antibody

For research use only

Loading...
Loading...
Loading...
Loading...