Skip to main content

Motilin Antibody - BSA Free

Novus Biologicals, part of Bio-Techne | Catalog # NBP2-93868

Novus Biologicals, part of Bio-Techne
Catalog #
Availability
Size / Price
Qty
Loading...
NBP2-93868-0.1ml
NBP2-93868-0.02ml

Key Product Details

Species Reactivity

Validated:

Human, Mouse

Cited:

Rat

Applications

Validated:

Immunohistochemistry, Immunohistochemistry-Paraffin, Western Blot

Cited:

Western Blot

Label

Unconjugated

Antibody Source

Polyclonal Rabbit IgG

Format

BSA Free

Concentration

Please see the vial label for concentration. If unlisted please contact technical services.

Product Specifications

Immunogen

Recombinant fusion protein containing a sequence corresponding to amino acids 26-115 of human MLN (NP_002409.1). FVPIFTYGELQRMQEKERNKGQKKSLSVWQRSGEEGPVDPAEPIREEENEMIKLTAPLEIGMRMNSRQLEKYPATLEGLLSEMLPQHAAK

Clonality

Polyclonal

Host

Rabbit

Isotype

IgG

Theoretical MW

12 kDa.
Disclaimer note: The observed molecular weight of the protein may vary from the listed predicted molecular weight due to post translational modifications, post translation cleavages, relative charges, and other experimental factors.

Scientific Data Images for Motilin Antibody - BSA Free

Western Blot: Motilin AntibodyBSA Free [NBP2-93868]

Western Blot: Motilin AntibodyBSA Free [NBP2-93868]

Western Blot: Motilin Antibody [NBP2-93868] - Analysis of extracts of various cell lines, using Motilin at 1:1000 dilution.Secondary antibody: HRP Goat Anti-Rabbit IgG (H+L) at 1:10000 dilution.Lysates/proteins: 25ug per lane.Blocking buffer: 3% nonfat dry milk in TBST.Detection: ECL Basic Kit .Exposure time: 1s.
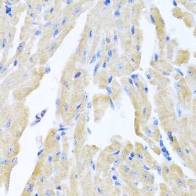
Immunohistochemistry-Paraffin: Motilin Antibody - BSA Free [NBP2-93868]

Immunohistochemistry-Paraffin: Motilin Antibody - BSA Free [NBP2-93868]

Immunohistochemistry-Paraffin: Motilin Antibody [NBP2-93868] - Paraffin-embedded mouse heart using Motilin .
Immunohistochemistry-Paraffin: Motilin Antibody - BSA Free [NBP2-93868]

Immunohistochemistry-Paraffin: Motilin Antibody - BSA Free [NBP2-93868]

Immunohistochemistry-Paraffin: Motilin Antibody [NBP2-93868] - Paraffin-embedded human stomach using Motilin .

Applications for Motilin Antibody - BSA Free

Application
Recommended Usage

Immunohistochemistry

1:50 - 1:100

Western Blot

1:500 - 1:2000

Formulation, Preparation, and Storage

Purification

Affinity purified

Formulation

PBS (pH 7.3), 50% glycerol

Format

BSA Free

Preservative

0.02% Sodium Azide

Concentration

Please see the vial label for concentration. If unlisted please contact technical services.

Shipping

The product is shipped with polar packs. Upon receipt, store it immediately at the temperature recommended below.

Stability & Storage

Store at -20C. Avoid freeze-thaw cycles.

Background: Motilin

The Motilin gene encodes a small peptide hormone that is secreted by cells of the small intestine to regulate gastrointestinal contractions and motility. Proteolytic processing of the secreted protein produces the mature peptide and a byproduct referred to as mo

Alternate Names

MLN, MTL

Gene Symbol

MLN

Additional Motilin Products

Product Documents for Motilin Antibody - BSA Free

Certificate of Analysis

To download a Certificate of Analysis, please enter a lot number in the search box below.

Product Specific Notices for Motilin Antibody - BSA Free

This product is for research use only and is not approved for use in humans or in clinical diagnosis. Primary Antibodies are guaranteed for 1 year from date of receipt.

Loading...
Loading...
Loading...
Loading...