Skip to main content

MNK1 Antibody - BSA Free

Novus Biologicals, part of Bio-Techne | Catalog # NBP3-35840

Novus Biologicals, part of Bio-Techne
Catalog #
Availability
Size / Price
Qty
Loading...
NBP3-35840-100ul
NBP3-35840-20ul

Key Product Details

Species Reactivity

Human, Mouse, Rat

Applications

Immunohistochemistry, Immunohistochemistry-Paraffin, Western Blot, ELISA, Immunocytochemistry/ Immunofluorescence

Label

Unconjugated

Antibody Source

Polyclonal Rabbit IgG

Format

BSA Free

Concentration

Please see the vial label for concentration. If unlisted please contact technical services.

Product Specifications

Immunogen

Recombinant fusion protein containing a sequence corresponding to amino acids 374-465 of human MNK1 (NP_003675.2).

Sequence:
VQGQAPEKGLPTPQVLQRNSSTMDLTLFAAEAIALNRQLSQHEENELAEEPEALADGLCSMKLSPPCKSRLARRRALAQAGRGEDRSPPTAL

Clonality

Polyclonal

Host

Rabbit

Isotype

IgG

Theoretical MW

51 kDa.
Disclaimer note: The observed molecular weight of the protein may vary from the listed predicted molecular weight due to post translational modifications, post translation cleavages, relative charges, and other experimental factors.

Description

Novus Biologicals Rabbit MNK1 Antibody - BSA Free (NBP3-35840) is a polyclonal antibody validated for use in IHC, WB, ELISA and ICC/IF. All Novus Biologicals antibodies are covered by our 100% guarantee.

Scientific Data Images for MNK1 Antibody - BSA Free

MNK1 Antibody

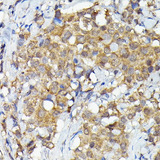
Immunohistochemistry: MNK1 Antibody [NBP3-35840] -

Immunohistochemistry: MNK1 Antibody [NBP3-35840] - Immunohistochemistry analysis of paraffin-embedded Mouse kidney using MNK1 Rabbit pAb at dilution of 1:50 (40x lens). High pressure antigen retrieval performed with 0.01M Citrate Bufferr (pH 6.0) prior to IHC staining.
MNK1 Antibody

Immunocytochemistry/ Immunofluorescence: MNK1 Antibody [NBP3-35840] -

Immunocytochemistry/ Immunofluorescence: MNK1 Antibody [NBP3-35840] - Immunofluorescence analysis of NIH-3T3 cells using MNK1 Rabbit pAb at dilution of 1:50 (40x lens). Secondary antibody: Cy3-conjugated Goat anti-Rabbit IgG (H+L) at 1:500 dilution. Blue: DAPI for nuclear staining.
MNK1 Antibody

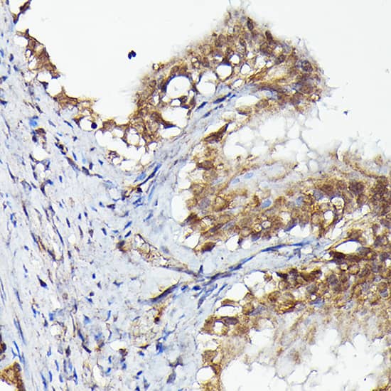
Immunohistochemistry: MNK1 Antibody [NBP3-35840] -

Immunohistochemistry: MNK1 Antibody [NBP3-35840] - Immunohistochemistry analysis of paraffin-embedded Rat fallopian tube using MNK1 Rabbit pAb at dilution of 1:50 (40x lens). High pressure antigen retrieval performed with 0.01M Citrate Bufferr (pH 6.0) prior to IHC staining.

Applications for MNK1 Antibody - BSA Free

Application
Recommended Usage

Immunocytochemistry/ Immunofluorescence

1:50 - 1:200

Immunohistochemistry-Paraffin

1:50 - 1:200

Western Blot

1:500 - 1:2000

Formulation, Preparation, and Storage

Purification

Affinity purified

Formulation

PBS (pH 7.3), 50% glycerol

Format

BSA Free

Preservative

0.02% Sodium Azide

Concentration

Please see the vial label for concentration. If unlisted please contact technical services.

Shipping

The product is shipped with polar packs. Upon receipt, store it immediately at the temperature recommended below.

Stability & Storage

Store at -20C. Avoid freeze-thaw cycles.

Background: MNK1

MNK1 may play a role in the response to environmental stress and cytokines. It appears to regulate transcription by phosphorylating EIF4E, thus increasing the affinity of this protein for the 7-methylguanosine-containing mRNA cap.

Long Name

MAP kinase-interacting serine/threonine-protein kinase 1

Alternate Names

MKNK1

Gene Symbol

MKNK1

Additional MNK1 Products

Product Documents for MNK1 Antibody - BSA Free

Certificate of Analysis

To download a Certificate of Analysis, please enter a lot number in the search box below.

Product Specific Notices for MNK1 Antibody - BSA Free

This product is for research use only and is not approved for use in humans or in clinical diagnosis. Primary Antibodies are guaranteed for 1 year from date of receipt.

Loading...
Loading...
Loading...
Loading...