Skip to main content

MLKL [p Ser345] Antibody (JM92-37)

Novus Biologicals, part of Bio-Techne | Catalog # NBP2-66953

Recombinant Monoclonal Antibody.
Novus Biologicals, part of Bio-Techne
Catalog #
Availability
Size / Price
Qty
Loading...
NBP2-66953

Key Product Details

Validated by

Biological Validation

Species Reactivity

Validated:

Human, Mouse

Cited:

Human, Mouse

Applications

Validated:

Immunohistochemistry, Immunohistochemistry-Paraffin, Immunohistochemistry-Frozen, Western Blot

Cited:

Immunohistochemistry, Immunohistochemistry-Paraffin, Western Blot, IF/IHC

Label

Unconjugated

Antibody Source

Recombinant Monoclonal Rabbit IgG Clone # JM92-37 expressed in HEK293

Concentration

1 mg/ml

Product Specifications

Immunogen

Synthetic phospho-peptide corresponding to residues surrounding Ser345 of mouse MLKL aa 314-363 / 472. (SwissProt: Q9D2Y4 Mouse)

Reactivity Notes

Human reactivity reported in scientific publication (PMID: 32585748).

Modification

p Ser345

Localization

Cell membrane, Cytoplasm, Nucleus.

Clonality

Monoclonal

Host

Rabbit

Isotype

IgG

Theoretical MW

54 kDa.
Disclaimer note: The observed molecular weight of the protein may vary from the listed predicted molecular weight due to post translational modifications, post translation cleavages, relative charges, and other experimental factors.

Description

Novus Biologicals Rabbit MLKL [p Ser345] Antibody (JM92-37) (NBP2-66953) is a recombinant monoclonal antibody validated for use in IHC and WB. Anti-MLKL Antibody: Cited in 7 publications. All Novus Biologicals antibodies are covered by our 100% guarantee.

Scientific Data Images for MLKL [p Ser345] Antibody (JM92-37)

MLKL [p Ser345] Antibody (JM92-37) [NBP2-66953] -

Immunohistochemical analysis of paraffin-embedded mouse spleen tissue using MLKL [p Ser345] Antibody (JM92-37). The section was pre-treated using heat mediated antigen retrieval with Tris-EDTA buffer (pH 9.0) for 20 minutes.The tissues were blocked in 5% BSA for 30 minutes at room temperature, washed with ddH2O and PBS, and then probed with the primary antibody for 30 minutes at room temperature. The detection was performed using an HRP conjugated compact polymer system. DAB was used as the chromogen. Tissues were counterstained with hematoxylin and mounted with DPX.

MLKL [p Ser345] Antibody (JM92-37) [NBP2-66953] -

Immunohistochemical analysis of paraffin-embedded mouse colon tissue using MLKL [p Ser345] Antibody (JM92-37). The section was pre-treated using heat mediated antigen retrieval with Tris-EDTA buffer (pH 9.0) for 20 minutes. The tissues were blocked in 5% BSA for 30 minutes at room temperature, washed with ddH2O and PBS, and then probed with the primary antibody (1/50) for 30 minutes at room temperature. The detection was performed using an HRP conjugated compact polymer system. DAB was used as the chromogen. Tissues were counterstained with hematoxylin and mounted with DPX.

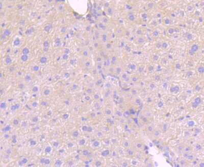
MLKL [p Ser345] Antibody (JM92-37) [NBP2-66953] -

Immunohistochemical analysis of paraffin-embedded mouse liver tissue using MLKL [p Ser345] Antibody (JM92-37). The section was pre-treated using heat mediated antigen retrieval with Tris-EDTA buffer (pH 9.0) for 20 minutes. The tissues were blocked in 5% BSA for 30 minutes at room temperature, washed with ddH2O and PBS, and then probed with the primary antibody (1/50) for 30 minutes at room temperature. The detection was performed using an HRP conjugated compact polymer system. DAB was used as the chromogen. Tissues were counterstained with hematoxylin and mounted with DPX.

Applications for MLKL [p Ser345] Antibody (JM92-37)

Application
Recommended Usage

Immunohistochemistry-Frozen

1:1,000

Immunohistochemistry-Paraffin

1:50-1:100

Western Blot

1:1,000

Formulation, Preparation, and Storage

Purification

Protein A purified

Formulation

TBS (pH7.4), 0.05% BSA, 40% Glycerol

Preservative

0.05% Sodium Azide

Concentration

1 mg/ml

Shipping

The product is shipped with polar packs. Upon receipt, store it immediately at the temperature recommended below.

Stability & Storage

Store at 4C short term. Aliquot and store at -20C long term. Avoid freeze-thaw cycles.

Background: MLKL

Long Name

Mixed Lineage Kinase Domain-like

Alternate Names

FLJ34389, mixed lineage kinase domain-like, mixed lineage kinase domain-like protein

Gene Symbol

MLKL

Additional MLKL Products

Product Documents for MLKL [p Ser345] Antibody (JM92-37)

Certificate of Analysis

To download a Certificate of Analysis, please enter a lot number in the search box below.

Product Specific Notices for MLKL [p Ser345] Antibody (JM92-37)

This product is for research use only and is not approved for use in humans or in clinical diagnosis. Primary Antibodies are guaranteed for 1 year from date of receipt.

Loading...
Loading...
Loading...
Loading...