Skip to main content

MLKL [p Thr357] Antibody (954724) - Azide and BSA Free

Novus Biologicals, part of Bio-Techne | Catalog # MAB91871

Novus Biologicals, part of Bio-Techne

Key Product Details

Species Reactivity

Human

Applications

Immunohistochemistry, Immunohistochemistry-Paraffin, Western Blot, Immunocytochemistry, Simple Western, Flow Cytometry (Negative)

Label

Unconjugated

Antibody Source

Monoclonal Mouse IgG2A Clone # 954724

Format

Azide and BSA Free

Concentration

1.0 mg/ml

Product Specifications

Immunogen

Synthetic peptide from human MLKL phosphorylated at T357 [UniProt Q8NB16]

Modification

p Thr357

Clonality

Monoclonal

Host

Mouse

Isotype

IgG2A

Description

>90% by SDS PAGE

Scientific Data Images for MLKL [p Thr357] Antibody (954724) - Azide and BSA Free

Immunohistochemistry-Paraffin: MLKL [p Thr357] Antibody (954724) [MAB91871] - MLKL was detected in immersion fixed paraffin-embedded sections of human squamous cell carcinoma using MLKL Monoclonal Antibody at 5 ug/ml. Tissue was stained using Goat anti-Mouse IgG Secondary Antibody [HRP Polymer] (brown) and counterstained with hematoxylin (blue). Specific staining was localized to plasma membrane in thymocytes.
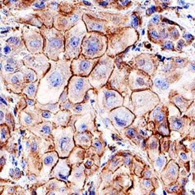
Immunohistochemistry: MLKL [p Thr357] Antibody (954724) [MAB91871] - MLKL was detected in immersion fixed paraffin-embedded sections of human squamous cell carcinoma using MLKL Monoclonal Antibody at 5 ug/ml. Tissue was stained using Mouse IgG VisUCyte HRP Polymer Antibody (brown) and counterstained with hematoxylin (blue). Specific staining was localized to nuclei and cytoplasm in cancer cells.

Applications for MLKL [p Thr357] Antibody (954724) - Azide and BSA Free

Application
Recommended Usage

Immunohistochemistry

5 ug/ml

Immunohistochemistry-Paraffin

5 ug/ml
Application Notes
This MLKL [p Thr357] Antibody (954724) is validated for Simple Western from a verified customer review.

Reviewed Applications

Read 2 reviews rated 4.5 using MAB91871 in the following applications:

Formulation, Preparation, and Storage

Purification

Protein A or G purified

Formulation

PBS

Format

Azide and BSA Free

Preservative

No Preservative

Concentration

1.0 mg/ml

Shipping

The product is shipped with polar packs. Upon receipt, store it immediately at the temperature recommended below.

Stability & Storage

Store at -20C. Avoid freeze-thaw cycles.

Background: MLKL

Long Name

Mixed Lineage Kinase Domain-like

Alternate Names

FLJ34389, mixed lineage kinase domain-like, mixed lineage kinase domain-like protein

Gene Symbol

MLKL

Additional MLKL Products

Product Documents for MLKL [p Thr357] Antibody (954724) - Azide and BSA Free

Certificate of Analysis

To download a Certificate of Analysis, please enter a lot number in the search box below.

Product Specific Notices for MLKL [p Thr357] Antibody (954724) - Azide and BSA Free

This product is for research use only and is not approved for use in humans or in clinical diagnosis. Primary Antibodies are guaranteed for 1 year from date of receipt.

Loading...
Loading...
Loading...
Loading...
Loading...