Skip to main content

MLH3 Antibody (CL14096) - BSA Free

Novus Biologicals, part of Bio-Techne | Catalog # NBP3-24597

Novus Biologicals, part of Bio-Techne
Catalog #
Availability
Size / Price
Qty
Loading...
NBP3-24597-100ul
NBP3-24597-25ul

Key Product Details

Validated by

Orthogonal Validation

Species Reactivity

Human

Applications

Immunocytochemistry/ Immunofluorescence, Immunohistochemistry, Immunohistochemistry-Paraffin, Western Blot

Label

Unconjugated

Antibody Source

Monoclonal Mouse IgG2A Clone # CL14096

Format

BSA Free

Concentration

Concentrations vary lot to lot. See vial label for concentration. If unlisted please contact technical services.

Product Specifications

Immunogen

This antibody was developed using a synthetic peptide derived from Q9UHC1, with the exact immunogen sequence remaining proprietary.

Clonality

Monoclonal

Host

Mouse

Isotype

IgG2A

Description

Novus Biologicals Mouse MLH3 Antibody (CL14096) - BSA Free (NBP3-24597) is a monoclonal antibody validated for use in IHC, WB and ICC/IF. All Novus Biologicals antibodies are covered by our 100% guarantee.

Scientific Data Images for MLH3 Antibody (CL14096) - BSA Free

Immunohistochemistry-Paraffin: MLH3 Antibody (CL14096) [NBP3-24597]

Staining of human endometrium shows moderate nuclear positivity in glandular cells.

Immunohistochemistry-Paraffin: MLH3 Antibody (CL14096) [NBP3-24597]

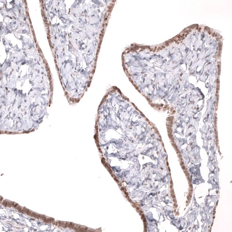
Staining of human fallopian tube shows moderate nuclear positivity in glandular cells.

Immunohistochemistry-Paraffin: MLH3 Antibody (CL14096) [NBP3-24597]

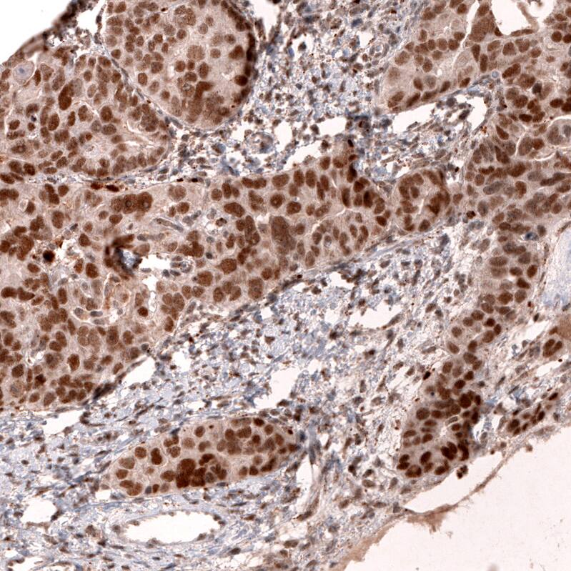
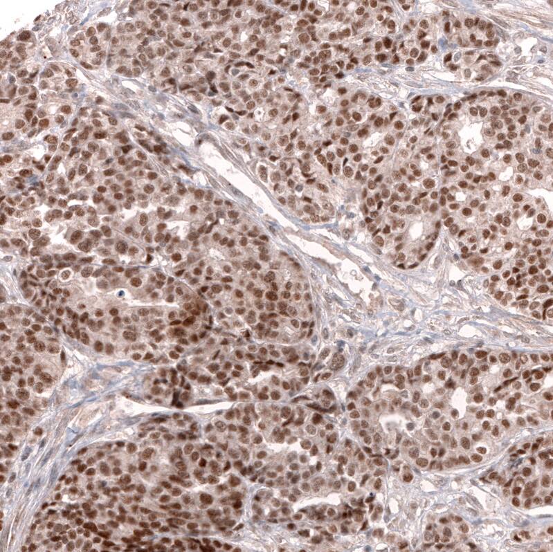
Staining of human ovarian cancer (high grade serous ovarian carcinoma) shows strong nuclear positivity in tumor cells.

Applications for MLH3 Antibody (CL14096) - BSA Free

Application
Recommended Usage

Immunocytochemistry/ Immunofluorescence

2-10 ug/ml

Immunohistochemistry

1:20-1:50

Immunohistochemistry-Paraffin

1:20-1:50

Western Blot

1ug/ml
Application Notes
For IHC-Paraffin, we recommend using Heat-Induced Epitope Retrieval (HIER) with a pH level of 6. This optimized retrieval method ensures the best results for your experiments, For ICC/IF, we recommend using a combination of PFA and Triton X-100. This will give you the optimal results for your experiments.

Formulation, Preparation, and Storage

Purification

Protein A purified

Formulation

PBS, pH 7.2, 40% glycerol

Format

BSA Free

Preservative

0.02% Sodium Azide

Concentration

Concentrations vary lot to lot. See vial label for concentration. If unlisted please contact technical services.

Shipping

The product is shipped with polar packs. Upon receipt, store it immediately at the temperature recommended below.

Stability & Storage

Store at 4C short term. Aliquot and store at -20C long term. Avoid freeze-thaw cycles.

Background: MLH3

MLH3 is a member of the MutL-homolog (MLH) family of DNA mismatch repair (MMR) genes. MLH genes are implicated in maintaining genomic integrity during DNA replication and after meiotic recombination. The protein encoded by this gene functions as a heterodimer with other family members. Somatic mutations in this gene frequently occur in tumors exhibiting microsatellite instability, and germline mutations have been linked to hereditary nonpolyposis colorectal cancer type 7 (HNPCC7). Several alternatively spliced transcript variants have been identified, but the full-length nature of only two transcript variants has been determined. [provided by RefSeq]

Alternate Names

DNA mismatch repair protein Mlh3, HNPCC7, MGC138372, mutL (E. coli) homolog 3, mutL homolog 3 (E. coli), MutL protein homolog 3

Gene Symbol

MLH3

Additional MLH3 Products

Product Documents for MLH3 Antibody (CL14096) - BSA Free

Certificate of Analysis

To download a Certificate of Analysis, please enter a lot number in the search box below.

Product Specific Notices for MLH3 Antibody (CL14096) - BSA Free

This product is for research use only and is not approved for use in humans or in clinical diagnosis. Primary Antibodies are guaranteed for 1 year from date of receipt.

Loading...
Loading...
Loading...
Loading...