Skip to main content

MLH1 Antibody (MLH1/6284R)

Novus Biologicals, part of Bio-Techne | Catalog # NBP3-13971

Recombinant Monoclonal Antibody
Novus Biologicals, part of Bio-Techne
Catalog #
Availability
Size / Price
Qty
Loading...
NBP3-13971-100ug
NBP3-13971-20ug

Key Product Details

Species Reactivity

Human

Applications

Immunohistochemistry-Paraffin, Western Blot

Label

Unconjugated

Antibody Source

Recombinant Monoclonal Rabbit IgG Kappa Clone # MLH1/6284R

Concentration

0.2 mg/ml

Product Specifications

Immunogen

Recombinant full-length human MLH1 protein (Uniprot: P40692)

Localization

Nuclear

Specificity

This monoclonal antibody recognizes a protein of 83kDa, identified as MLH1. Defects in MLH1 are the cause of hereditary non-polyposis colorectal cancer type 2 (HNPCC2).Heterodimerizes with PMS2 to form MutL alpha, a component of the post-replicative DNA mismatch repair system (MMR). DNA repair is initiated by MutS alpha (MSH2-MSH6) or MutS beta (MSH2-MSH6) binding to a dsDNA mismatch, then MutL alpha is recruited to the heteroduplex. Assembly of the MutL-MutS-heteroduplex ternary complex in presence of RFC and PCNA is sufficient to activate endonuclease activity of PMS2. It introduces single-strand breaks near the mismatch and thus generates new entry points for the exonuclease EXO1 to degrade the strand containing the mismatch. DNA methylation would prevent cleavage and therefore assure that only the newly mutated DNA strand is going to be corrected. MutL alpha (MLH1-PMS2) interacts physically with the clamp loader subunits of DNA polymerase III, suggesting that it may play a role to recruit the DNA polymerase III to the site of the MMR. Also implicated in DNA damage signaling, a process, which induces cell cycle arrest and can lead to apoptosis in case of major DNA damages. Heterodimerizes with MLH3 to form MutL gamma, which plays a role in meiosis.

Clonality

Monoclonal

Host

Rabbit

Isotype

IgG Kappa

Theoretical MW

85 kDa.
Disclaimer note: The observed molecular weight of the protein may vary from the listed predicted molecular weight due to post translational modifications, post translation cleavages, relative charges, and other experimental factors.

Description

200ug/ml of antibody purified from Bioreactor Concentrate by Protein A or G. Prepared in 10 mM PBS with 0.05% BSA & 0.05% azide. Also available WITHOUT BSA & azide at 1.0 mg/ml. (NBP3-14124)

Antibody with azide - store at 2 to 8C. Antibody without azide - store at -20 to -80 C.

Scientific Data Images for MLH1 Antibody (MLH1/6284R)

Western Blot: MLH1 Antibody (MLH1/6284R) [NBP3-13971]

Western Blot: MLH1 Antibody (MLH1/6284R) [NBP3-13971]

Western Blot: MLH1 Antibody (MLH1/6284R) [NBP3-13971] - Western blot analysis of Jurkat cell lysate using MLH1 antibody (MLH1/6284R).
Immunohistochemistry-Paraffin: MLH1 Antibody (MLH1/6284R) [NBP3-13971]

Immunohistochemistry-Paraffin: MLH1 Antibody (MLH1/6284R) [NBP3-13971]

Immunohistochemistry-Paraffin: MLH1 Antibody (MLH1/6284R) [NBP3-13971] - Formalin-fixed, paraffin-embedded human colon carcinoma stained with MLH1 antibody (MLH1/6284R).
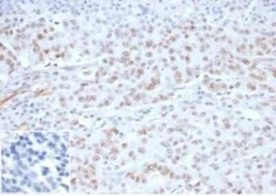
Immunohistochemistry-Paraffin: MLH1 Antibody (MLH1/6284R) [NBP3-13971]

Immunohistochemistry-Paraffin: MLH1 Antibody (MLH1/6284R) [NBP3-13971]

Immunohistochemistry-Paraffin: MLH1 Antibody (MLH1/6284R) [NBP3-13971] - MLH1 antibody (MLH1/6284R). MLH1 Recombinant Rabbit Monoclonal (MLH1/6284R). Inset: PBS instead of primary antibody; secondary only negative control.

Applications for MLH1 Antibody (MLH1/6284R)

Application
Recommended Usage

Immunohistochemistry-Paraffin

1-2 ug/ml

Western Blot

1-2 ug/ml
Application Notes
Immunohistochemistry (Formalin-fixed): 1-2ug/ml for 30 minutes at RT. Staining of formalin-fixed tissues requires heating tissue sections in 10mM Tris with 1mM EDTA, pH 9.0, for 45 min at 95C followed by cooling at RT for 20 minutes

Formulation, Preparation, and Storage

Purification

Protein A or G purified

Formulation

10 mM PBS with 0.05% BSA

Preservative

0.05% Sodium Azide

Concentration

0.2 mg/ml

Shipping

The product is shipped with polar packs. Upon receipt, store it immediately at the temperature recommended below.

Stability & Storage

Store at 4C.

Background: MLH-1

MLH1 is a DNA mismatch repair protein. The repair of mismatch DNA is essential to maintaining the integrity of genetic information over time. An alteration of microsatellite repeats is the result of slippage owing to strand misalignment during DNA replication and is referred to as microsatellite instability (MSI). These defects in DNA repair pathways have been related to human carcinogenesis. The importance of mismatch repair genes became apparent with the identification of the genetic basis for hereditary nonpolyposis colon cancer (HNPCC). MSHS2 is involved in the initial cognition of mismatch nucleotides during the replication mismatch repair process. It is thought that after MSH2 binds to a mismatched DNA duplex it is joined by a heterodimer of MLH1 and PMSH, which together help facilitate the later steps in mismatch repair.

Long Name

mutL Homolog 1

Alternate Names

MLH1

Gene Symbol

MLH1

UniProt

Additional MLH-1 Products

Product Documents for MLH1 Antibody (MLH1/6284R)

Certificate of Analysis

To download a Certificate of Analysis, please enter a lot number in the search box below.

Product Specific Notices for MLH1 Antibody (MLH1/6284R)

This product is for research use only and is not approved for use in humans or in clinical diagnosis. Primary Antibodies are guaranteed for 1 year from date of receipt.

Loading...
Loading...
Loading...
Loading...