Skip to main content

MKK6/MEK6 Antibody - BSA Free

Novus Biologicals, part of Bio-Techne | Catalog # NBP1-87791

Novus Biologicals, part of Bio-Techne
Catalog #
Availability
Size / Price
Qty
Loading...
NBP1-87791
NBP1-87791-25ul

Key Product Details

Validated by

Orthogonal Validation

Species Reactivity

Human, Mouse, Rat

Applications

Immunocytochemistry/ Immunofluorescence, Immunohistochemistry, Immunohistochemistry-Paraffin, Western Blot

Label

Unconjugated

Antibody Source

Polyclonal Rabbit IgG

Format

BSA Free

Concentration

Concentrations vary lot to lot. See vial label for concentration. If unlisted please contact technical services.

Product Specifications

Immunogen

This antibody was developed against Recombinant Protein corresponding to amino acids: SQSKGKKRNPGLKIPKEAFEQPQTSSTPPRDLDSKACISIGNQNFEVKADDLEPIMELGR

Clonality

Polyclonal

Host

Rabbit

Isotype

IgG

Description

Novus Biologicals Rabbit MKK6/MEK6 Antibody - BSA Free (NBP1-87791) is a polyclonal antibody validated for use in IHC, WB and ICC/IF. All Novus Biologicals antibodies are covered by our 100% guarantee.

Scientific Data Images for MKK6/MEK6 Antibody - BSA Free

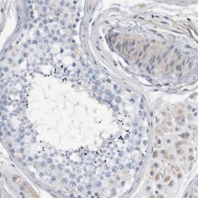
Immunohistochemistry-Paraffin: MKK6/MEK6 Antibody [NBP1-87791]

Immunohistochemistry-Paraffin: MKK6/MEK6 Antibody [NBP1-87791]

Immunohistochemistry-Paraffin: MKK6/MEK6 Antibody [NBP1-87791] - Staining in human colon and testis tissues using anti-MAP2K6 antibody. Corresponding MAP2K6 RNA-seq data are presented for the same tissues.
Western Blot: MKK6/MEK6 Antibody [NBP1-87791]

Western Blot: MKK6/MEK6 Antibody [NBP1-87791]

Western Blot: MKK6/MEK6 Antibody [NBP1-87791] - Lane 1: NIH-3T3 cell lysate (Mouse embryonic fibroblast cells) Lane 2: NBT-II cell lysate (Rat Wistar bladder tumour cells)
Immunocytochemistry/ Immunofluorescence: MKK6/MEK6 Antibody [NBP1-87791]

Immunocytochemistry/ Immunofluorescence: MKK6/MEK6 Antibody [NBP1-87791]

Immunocytochemistry/Immunofluorescence: MKK6/MEK6 Antibody [NBP1-87791] - Staining of human cell line A549 shows localization to nucleus & cytosol.

Applications for MKK6/MEK6 Antibody - BSA Free

Application
Recommended Usage

Immunocytochemistry/ Immunofluorescence

0.25-2 ug/ml

Immunohistochemistry

1:200 - 1:500

Immunohistochemistry-Paraffin

1:200-1:500

Western Blot

0.04-0.4 ug/ml
Application Notes
For IHC-Paraffin, HIER pH 6 retrieval is recommended. ICC/IF, Fixation Permeabilization: Use PFA/Triton X-100.

Formulation, Preparation, and Storage

Purification

Immunogen affinity purified

Formulation

PBS (pH 7.2) and 40% Glycerol

Format

BSA Free

Preservative

0.02% Sodium Azide

Concentration

Concentrations vary lot to lot. See vial label for concentration. If unlisted please contact technical services.

Shipping

The product is shipped with polar packs. Upon receipt, store it immediately at the temperature recommended below.

Stability & Storage

Store at 4C short term. Aliquot and store at -20C long term. Avoid freeze-thaw cycles.

Background: MKK6

Mitogen-acitvated protein kinase kinase 6 (MKK6) belongs to the serine/threonine protein kinase family and the MAPK kinase subfamily (MAP2K, MKK or MEKs). MAPKs require dual phosphorylation on threonine and tyrosine residues, an activation step carried out by MAPK kinase (1-2). MKK6, closely related to MKK3, efficiently phosphorylates and activates p38 MAP kinase in response to inflammatory cytokines and environmental stress but not JNK or ERK (3). MTK1 phosphorylates MKK6 on serine 207 and threonine 211 (4).

Long Name

Mitogen-activated Protein Kinase Kinase 6

Alternate Names

MAP2K6, MEK6, PRKMK6, SAPKK3

Gene Symbol

MAP2K6

Additional MKK6 Products

Product Documents for MKK6/MEK6 Antibody - BSA Free

Certificate of Analysis

To download a Certificate of Analysis, please enter a lot number in the search box below.

Product Specific Notices for MKK6/MEK6 Antibody - BSA Free

This product is for research use only and is not approved for use in humans or in clinical diagnosis. Primary Antibodies are guaranteed for 1 year from date of receipt.

Loading...
Loading...
Loading...
Loading...