Skip to main content

MiRP1 Antibody - BSA Free

Novus Biologicals, part of Bio-Techne | Catalog # NBP2-38653

Novus Biologicals, part of Bio-Techne
Catalog #
Availability
Size / Price
Qty
Loading...
NBP2-38653
NBP2-38653-25ul

Key Product Details

Validated by

Orthogonal Validation, Independent Antibodies

Species Reactivity

Human

Applications

Immunohistochemistry, Immunohistochemistry-Paraffin

Label

Unconjugated

Antibody Source

Polyclonal Rabbit IgG

Format

BSA Free

Concentration

Concentrations vary lot to lot. See vial label for concentration. If unlisted please contact technical services.

Product Specifications

Immunogen

This antibody was developed against a recombinant protein corresponding to amino acids: STVKSKRREHSNDPYHQYIVEDWQEKYKSQILNLEESKATIHENIGAAGFKMS

Reactivity Notes

Immunogen displays the following percentage of sequence identity for non-tested species: Mouse (87%)

Clonality

Polyclonal

Host

Rabbit

Isotype

IgG

Description

Novus Biologicals Rabbit MiRP1 Antibody - BSA Free (NBP2-38653) is a polyclonal antibody validated for use in IHC. All Novus Biologicals antibodies are covered by our 100% guarantee.

Scientific Data Images for MiRP1 Antibody - BSA Free

Immunohistochemistry-Paraffin: MiRP1 Antibody [NBP2-38653]

Immunohistochemistry-Paraffin: MiRP1 Antibody [NBP2-38653]

Immunohistochemistry-Paraffin: MiRP1 Antibody [NBP2-38653] - Staining of human cerebral cortex.
Immunohistochemistry-Paraffin: MiRP1 Antibody [NBP2-38653]

Immunohistochemistry-Paraffin: MiRP1 Antibody [NBP2-38653]

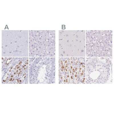
Immunohistochemistry-Paraffin: MiRP1 Antibody [NBP2-38653] - Staining of human liver shows low expression as expected.
Immunohistochemistry-Paraffin: MiRP1 Antibody [NBP2-38653]

Immunohistochemistry-Paraffin: MiRP1 Antibody [NBP2-38653]

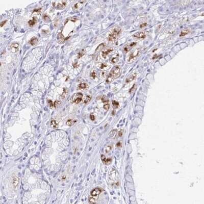
Immunohistochemistry-Paraffin: MiRP1 Antibody [NBP2-38653] - Staining of human stomach shows high expression.

Applications for MiRP1 Antibody - BSA Free

Application
Recommended Usage

Immunohistochemistry

1:200 - 1:500

Immunohistochemistry-Paraffin

1:200 - 1:500
Application Notes
For IHC-Paraffin, HIER pH 6 retrieval is recommended.

Formulation, Preparation, and Storage

Purification

Immunogen affinity purified

Formulation

PBS (pH 7.2) and 40% Glycerol

Format

BSA Free

Preservative

0.02% Sodium Azide

Concentration

Concentrations vary lot to lot. See vial label for concentration. If unlisted please contact technical services.

Shipping

The product is shipped with polar packs. Upon receipt, store it immediately at the temperature recommended below.

Stability & Storage

Store at 4C short term. Aliquot and store at -20C long term. Avoid freeze-thaw cycles.

Background: MiRP1

Voltage-gated potassium (Kv) channels represent the most complex class of voltage-gated ion channels from both functional and structural standpoints. Their diverse functions include regulating neurotransmitter release, heart rate, insulin secretion, neuronal excitability, epithelial electrolyte transport, smooth muscle contraction, and cell volume. This gene encodes a member of the potassium channel, voltage-gated, isk-related subfamily. This member is a small integral membrane subunit that assembles with the KCNH2 gene product, a pore-forming protein, to alter its function. This gene is expressed in heart and muscle and the gene mutations are associated with cardiac arrhythmia.

Alternate Names

ATFB4, cardiac voltage-gated potassium channel accessory subunit 2, human minK-related peptide 1, potassium channel subunit, MiRP110Minimum potassium ion channel-related peptide 1, LQT5, LQT6, MGC138292, MinK-related peptide 1, minK-related peptide-1, MIRP1, Potassium channel subunit beta MiRP1, potassium channel subunit, MiRP1, potassium voltage-gated channel subfamily E member 2, potassium voltage-gated channel, Isk-related family, member 2, voltage-gated K+ channel subunit MIRP1

Gene Symbol

KCNE2

UniProt

Additional MiRP1 Products

Product Documents for MiRP1 Antibody - BSA Free

Certificate of Analysis

To download a Certificate of Analysis, please enter a lot number in the search box below.

Product Specific Notices for MiRP1 Antibody - BSA Free

This product is for research use only and is not approved for use in humans or in clinical diagnosis. Primary Antibodies are guaranteed for 1 year from date of receipt.

Loading...
Loading...
Loading...
Loading...