Skip to main content

MIG2/Kindlin-2 Antibody (3A3)

Novus Biologicals, part of Bio-Techne | Catalog # NBP3-13846

Novus Biologicals, part of Bio-Techne
Catalog #
Availability
Size / Price
Qty
Loading...
NBP3-13846-100ug
NBP3-13846-20ug

Key Product Details

Species Reactivity

Human, Mouse, Rat, Bovine, Hamster

Applications

Immunohistochemistry-Paraffin, Western Blot, Immunocytochemistry/ Immunofluorescence, Immunoprecipitation

Label

Unconjugated

Antibody Source

Monoclonal Mouse IgG1 kappa Clone # 3A3

Concentration

0.2 mg/ml

Product Specifications

Immunogen

Recombinant protein containing MIG2/Kindlin-2 (residues 218-486) (Uniprot: Q96AC1)

Localization

Cytoplasm

Specificity

Kindlin-2 (also known as Mig-2, KIND2) is an important component of cell-extracellular matrix adhesion. Kindlin-2 binds integrins and is involved in ECM adhesion, actin assembly and cell shape modulation. This monoclonal antibody recognizes kindlin-2 in multiple assays including Western blotting, immunoprecipitation, immunohistochemical and immunofluorescent staining.

Clonality

Monoclonal

Host

Mouse

Isotype

IgG1 kappa

Theoretical MW

78 kDa.
Disclaimer note: The observed molecular weight of the protein may vary from the listed predicted molecular weight due to post translational modifications, post translation cleavages, relative charges, and other experimental factors.

Description

200ug/ml of antibody purified from Bioreactor Concentrate by Protein A or G. Prepared in 10 mM PBS with 0.05% BSA & 0.05% azide. Also available WITHOUT BSA & azide at 1.0 mg/ml. (NBP3-14275)

Antibody with azide - store at 2 to 8C. Antibody without azide - store at -20 to -80 C.

Scientific Data Images for MIG2/Kindlin-2 Antibody (3A3)

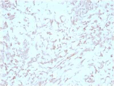
Immunohistochemistry-Paraffin: MIG2/Kindlin-2 Antibody (3A3) [NBP3-13846]

Immunohistochemistry-Paraffin: MIG2/Kindlin-2 Antibody (3A3) [NBP3-13846]

Immunohistochemistry-Paraffin: MIG2/Kindlin-2 Antibody (3A3) [NBP3-13846] - Formalin-fixed, paraffin-embedded human liver stained with MIG2/Kindlin-2 antibody (3A3).
Immunohistochemistry-Paraffin: MIG2/Kindlin-2 Antibody (3A3) [NBP3-13846]

Immunohistochemistry-Paraffin: MIG2/Kindlin-2 Antibody (3A3) [NBP3-13846]

Immunohistochemistry-Paraffin: MIG2/Kindlin-2 Antibody (3A3) [NBP3-13846] - Formalin-fixed, paraffin-embedded human liver stained with MIG2/Kindlin-2 antibody (3A3).

Applications for MIG2/Kindlin-2 Antibody (3A3)

Application
Recommended Usage

Immunocytochemistry/ Immunofluorescence

1-2 ug/ml

Immunohistochemistry-Paraffin

1-2 ug/ml

Immunoprecipitation

1-2 ug/100-500 ug protein

Western Blot

1-2 ug/ml
Application Notes
Immunohistochemistry (Formalin-fixed): 1-2ug/ml for 30 minutes at RT. Staining of formalin-fixed tissues requires heating tissue sections in 10mM Tris with 1mM EDTA, pH 9.0, for 45 min at 95C followed by cooling at RT for 20 minutes

Formulation, Preparation, and Storage

Purification

Protein A or G purified

Formulation

10 mM PBS with 0.05% BSA

Preservative

0.05% Sodium Azide

Concentration

0.2 mg/ml

Shipping

The product is shipped with polar packs. Upon receipt, store it immediately at the temperature recommended below.

Stability & Storage

Store at 4C.

Background: MIG2

Participates in the connection between ECM adhesion sites and the actin cytoskeleton and also in the orchestration of actin assembly and cell shape modulation. Recruits migfilin (FBLP1) protein to cell-ECM focal adhesion sites

Long Name

Mitogen Inducible Gene 2

Alternate Names

FERMT2, KIND2, Kindlin-2, PLEKHC1

Gene Symbol

FERMT2

UniProt

Additional MIG2 Products

Product Documents for MIG2/Kindlin-2 Antibody (3A3)

Certificate of Analysis

To download a Certificate of Analysis, please enter a lot number in the search box below.

Product Specific Notices for MIG2/Kindlin-2 Antibody (3A3)

This product is for research use only and is not approved for use in humans or in clinical diagnosis. Primary Antibodies are guaranteed for 1 year from date of receipt.

Loading...
Loading...
Loading...
Loading...