Skip to main content

MIDN Antibody - BSA Free

Novus Biologicals, part of Bio-Techne | Catalog # NBP2-30387

Novus Biologicals, part of Bio-Techne
Catalog #
Availability
Size / Price
Qty
Loading...
NBP2-30387
NBP2-30387-25ul

Key Product Details

Species Reactivity

Validated:

Human

Predicted:

Mouse (100%). Backed by our 100% Guarantee.

Applications

Immunohistochemistry, Immunohistochemistry-Paraffin

Label

Unconjugated

Antibody Source

Polyclonal Rabbit IgG

Format

BSA Free

Concentration

Concentrations vary lot to lot. See vial label for concentration. If unlisted please contact technical services.

Product Specifications

Immunogen

This antibody was developed against a recombinant protein corresponding to amino acids: VPKERLALLHKDTRLSSGKLQEFGVGDGSKLTLVPTVEAGLMSQASRPEQSVMQALESLTETQVSDFLSGRSPLTLALRVGDHMMFVQLQLAAQHAPLQ

Clonality

Polyclonal

Host

Rabbit

Isotype

IgG

Description

Novus Biologicals Rabbit MIDN Antibody - BSA Free (NBP2-30387) is a polyclonal antibody validated for use in IHC. All Novus Biologicals antibodies are covered by our 100% guarantee.

Scientific Data Images for MIDN Antibody - BSA Free

MIDN Antibody Immunohistochemistry-Paraffin: MIDN Antibody [NBP2-30387]

Immunohistochemistry-Paraffin: MIDN Antibody [NBP2-30387]

Staining of human skin shows strong cytoplasmic positivity in squamous epithelial cells.
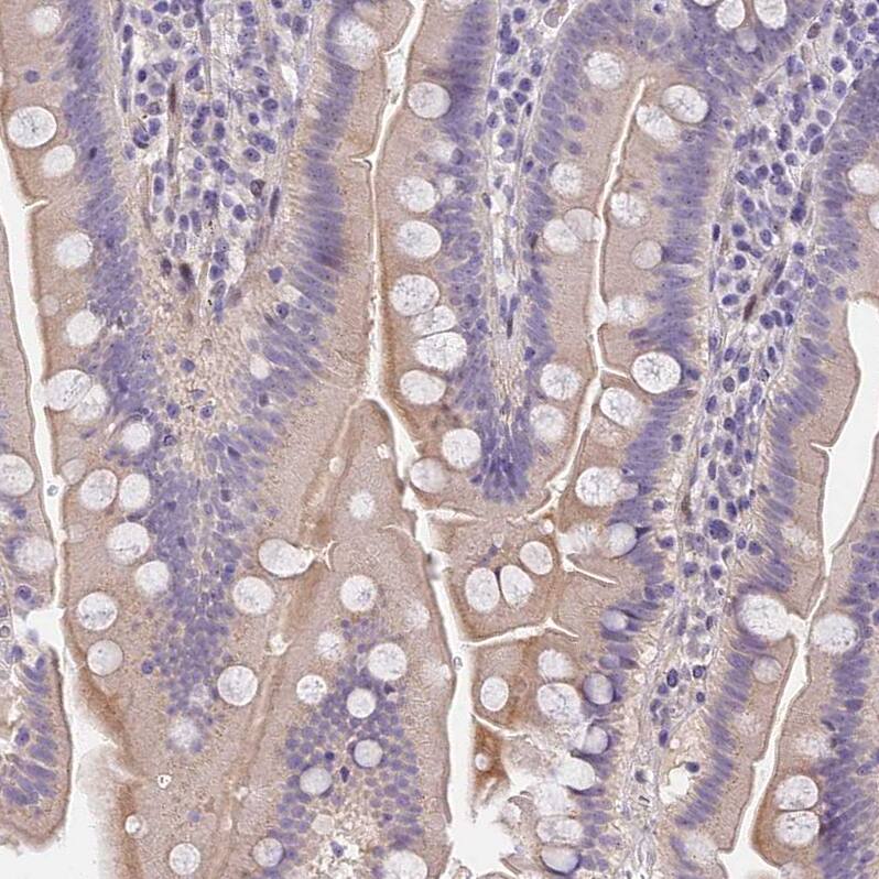
MIDN Antibody Immunohistochemistry-Paraffin: MIDN Antibody [NBP2-30387]

Immunohistochemistry-Paraffin: MIDN Antibody [NBP2-30387]

Staining of the human small intestine shows moderate cytoplasmic positivity in glandular cells.
MIDN Antibody Immunohistochemistry-Paraffin: MIDN Antibody [NBP2-30387]

Immunohistochemistry-Paraffin: MIDN Antibody [NBP2-30387]

Staining of the human cerebral cortex shows strong nuclear positivity in glial cells.

Applications for MIDN Antibody - BSA Free

Application
Recommended Usage

Immunohistochemistry

1:50 - 1:200

Immunohistochemistry-Paraffin

1:50 - 1:200
Application Notes
For IHC-Paraffin, HIER pH 6 retrieval is recommended.

Formulation, Preparation, and Storage

Purification

Immunogen affinity purified

Formulation

PBS (pH 7.2) and 40% Glycerol

Format

BSA Free

Preservative

0.02% Sodium Azide

Concentration

Concentrations vary lot to lot. See vial label for concentration. If unlisted please contact technical services.

Shipping

The product is shipped with polar packs. Upon receipt, store it immediately at the temperature recommended below.

Stability & Storage

Store at 4C short term. Aliquot and store at -20C long term. Avoid freeze-thaw cycles.

Background: MIDN

MIDN may be involved in regulation of genes related to neurogenesis in the nucleolus

Alternate Names

DKFZp547M072, Midbrain nucleolar protein, midnolin

Gene Symbol

MIDN

UniProt

Additional MIDN Products

Product Documents for MIDN Antibody - BSA Free

Certificate of Analysis

To download a Certificate of Analysis, please enter a lot number in the search box below.

Product Specific Notices for MIDN Antibody - BSA Free

This product is for research use only and is not approved for use in humans or in clinical diagnosis. Primary Antibodies are guaranteed for 1 year from date of receipt.

Loading...
Loading...
Loading...
Loading...