Skip to main content

MICA Antibody - BSA Free

Novus Biologicals, part of Bio-Techne | Catalog # NBP1-76805

Novus Biologicals, part of Bio-Techne

Key Product Details

Species Reactivity

Human, Mouse

Applications

Immunohistochemistry, Immunohistochemistry-Paraffin, Western Blot, ELISA, Immunocytochemistry/ Immunofluorescence

Label

Unconjugated

Antibody Source

Polyclonal Rabbit IgG

Format

BSA Free

Concentration

1 mg/ml

Product Specifications

Immunogen

Antibody was raised against a 16 amino acid synthetic peptide from near the carboxy terminus of human MICA. The immunogen is located within the last 50 amino acids of MICA. Amino Acid Squence: QHPVGTSDHRDATQLG

Clonality

Polyclonal

Host

Rabbit

Isotype

IgG

Theoretical MW

46 kDa.
Disclaimer note: The observed molecular weight of the protein may vary from the listed predicted molecular weight due to post translational modifications, post translation cleavages, relative charges, and other experimental factors.

Description

Novus Biologicals Rabbit MICA Antibody - BSA Free (NBP1-76805) is a polyclonal antibody validated for use in IHC, WB, ELISA and ICC/IF. All Novus Biologicals antibodies are covered by our 100% guarantee.

Scientific Data Images for MICA Antibody - BSA Free

Western Blot: MICA AntibodyBSA Free [NBP1-76805]

Western Blot: MICA AntibodyBSA Free [NBP1-76805]

Western Blot: MICA Antibody [NBP1-76805] - A-20 cell lysate with MICA antibody at (A) 0.5, (B) 1 and (C) 2 ug/mL.
Immunocytochemistry/ Immunofluorescence: MICA Antibody - BSA Free [NBP1-76805]

Immunocytochemistry/ Immunofluorescence: MICA Antibody - BSA Free [NBP1-76805]

Immunocytochemistry/Immunofluorescence: MICA Antibody [NBP1-76805] - analysis of MICA in Jukat cells using anti-MICA antibody. Image from verified customer review.
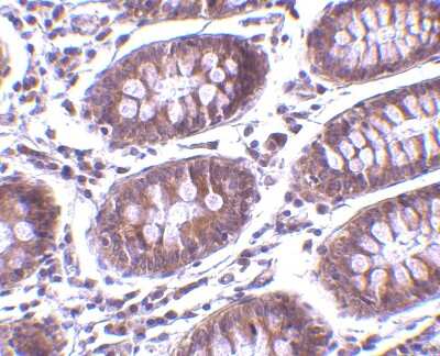
Immunohistochemistry-Paraffin: MICA Antibody - BSA Free [NBP1-76805]

Immunohistochemistry-Paraffin: MICA Antibody - BSA Free [NBP1-76805]

Immunohistochemistry-Paraffin: MICA Antibody [NBP1-76805] - Human colon tissue with MICA antibody at 10 ug/ml.

Applications for MICA Antibody - BSA Free

Application
Recommended Usage

ELISA

1:100-1:2000

Immunocytochemistry/ Immunofluorescence

20 ug/mL

Immunohistochemistry

10 ug/ml

Immunohistochemistry-Paraffin

10 ug/ml

Western Blot

0.5-2 ug/ml
Application Notes
MICA antibody validated for ICC/IF from a verified customer review.

Reviewed Applications

Read 1 review rated 4 using NBP1-76805 in the following applications:

Formulation, Preparation, and Storage

Purification

Peptide affinity purified

Formulation

PBS

Format

BSA Free

Preservative

0.02% Sodium Azide

Concentration

1 mg/ml

Shipping

The product is shipped with polar packs. Upon receipt, store it immediately at the temperature recommended below.

Stability & Storage

Store at 4C.

Background: MICA

Major histocompatibility complex (MHC) class I proteins are ubiquitously expressed and mediate the recognition of intracellular antigens by cytotoxic T cells. A related family, termed the MHC class I chain-related (MIC) proteins are recognized by NKG2D, a receptor on NK and T cells, and promote anti-tumor activity. MICA, a member of the MIC family, is widely expressed on many tumors, and it is the MICA/NKG2D interaction that is thought to stimulate the anti-tumor reactivity by T lymphocytes. Both MICA and MICB mRNA are widely expressed in normal tissues, with MICA being present in virtually every tissue except the nervous system, suggesting that MIC protein expression may only be one component of the anti-tumor activity of the immune system.

Long Name

MHC Class I-related Protein A

Alternate Names

FLJ60820, MGC111087, PERB11.1

Gene Symbol

MICA

UniProt

Additional MICA Products

Product Documents for MICA Antibody - BSA Free

Certificate of Analysis

To download a Certificate of Analysis, please enter a lot number in the search box below.

Product Specific Notices for MICA Antibody - BSA Free

This product is for research use only and is not approved for use in humans or in clinical diagnosis. Primary Antibodies are guaranteed for 1 year from date of receipt.

Loading...
Loading...
Loading...
Loading...