Skip to main content

Mic1 Antibody - BSA Free

Novus Biologicals, part of Bio-Techne | Catalog # NBP3-47801

Novus Biologicals, part of Bio-Techne
Catalog #
Availability
Size / Price
Qty
Loading...
NBP3-47801

Key Product Details

Species Reactivity

Human, Mouse, Rat

Applications

ELISA, Immunohistochemistry, Western Blot

Label

Unconjugated

Antibody Source

Polyclonal Rabbit IgG

Format

BSA Free

Concentration

Please see the vial label for concentration. If unlisted please contact technical services.

Product Specifications

Immunogen

chromosome 18 open reading frame 8. (Uniprot# Q96DM3)

Clonality

Polyclonal

Host

Rabbit

Isotype

IgG

Description

Novus Biologicals Rabbit Mic1 Antibody - BSA Free (NBP3-47801) is a polyclonal antibody validated for use in IHC, WB and ELISA. All Novus Biologicals antibodies are covered by our 100% guarantee.

Scientific Data Images for Mic1 Antibody - BSA Free

Mic1 Antibody - BSA Free

Western Blot: Mic1 Antibody - BSA Free [NBP3-47801] -

Western Blot: Mic1 Antibody - BSA Free [NBP3-47801] - Human brain tissue were subjected to SDS PAGE followed by western blot with (Mic1 antibody) at dilution of 1:1500
Mic1 Antibody - BSA Free

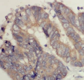
Immunohistochemistry: Mic1 Antibody - BSA Free [NBP3-47801] -

Immunohistochemistry: Mic1 Antibody - BSA Free [NBP3-47801] - Immunohistochemistry of paraffin-embedded human colon cancer using (Mic1 antibody) at dilution of 1:100

Applications for Mic1 Antibody - BSA Free

Application
Recommended Usage

Immunohistochemistry

1:20-1:200

Western Blot

1:500-1:2000
Application Notes
Theoretical Molecular Weight is 75-80 kDa, 66 kDa

Formulation, Preparation, and Storage

Purification

Immunogen affinity purified

Formulation

PBS, 50% Glycerol, pH (7.3)

Format

BSA Free

Preservative

0.02% Sodium Azide

Concentration

Please see the vial label for concentration. If unlisted please contact technical services.

Shipping

The product is shipped with polar packs. Upon receipt, store it immediately at the temperature recommended below.

Stability & Storage

Store at -20C. Avoid freeze-thaw cycles.

Background: Mic1

Alternate Names

chromosome 18 open reading frame 8, Colon cancer-associated protein Mic1, FLJ23453, HsT2591, Mic-1, MIC1colon cancer associated protein Mic1

Gene Symbol

RMC1

Additional Mic1 Products

Product Documents for Mic1 Antibody - BSA Free

Certificate of Analysis

To download a Certificate of Analysis, please enter a lot number in the search box below.

Product Specific Notices for Mic1 Antibody - BSA Free

This product is for research use only and is not approved for use in humans or in clinical diagnosis. Primary Antibodies are guaranteed for 1 year from date of receipt.

Loading...
Loading...
Loading...
Loading...