Skip to main content

Mic1 Antibody - Azide and BSA Free

Novus Biologicals, part of Bio-Techne | Catalog # NBP3-03433

Novus Biologicals, part of Bio-Techne
Catalog #
Availability
Size / Price
Qty
Loading...
NBP3-03433-100ul
NBP3-03433-20ul

Key Product Details

Species Reactivity

Human, Mouse, Rat

Applications

Immunocytochemistry/ Immunofluorescence, Immunohistochemistry, Immunohistochemistry-Paraffin, Western Blot

Label

Unconjugated

Antibody Source

Polyclonal Rabbit IgG

Format

Azide and BSA Free

Concentration

Please see the vial label for concentration. If unlisted please contact technical services.

Product Specifications

Immunogen

Recombinant fusion protein containing a sequence corresponding to amino acids 1-300 of human Mic1 (NP_037458.3). MGEEDYYLELCERPVQFEKANPVNCVFFDEANKQVFAVRSGGATGVVVKGPDDRNPISFRMDDKGEVKCIKFSLENKILAVQRTSKTVDFCNFIPDNSQLEYTQECKTKNANILGFCWTSSTEIVFITDQGIEFYQVLPEKRSLKLLKSHNLNVNWYMYCPESAVILLSTTVLENVLQPFHFRAGTMSKLPKFEIELPAAPKSTKPSLSERDIAMATIYGQLYVLFLRHHSRTSNSTGAEVVLYHLPREGACKKMHILKLNRTGKFALNVVDNLVVVHHQDTETSVIFDIKLRGEFDGSV

Clonality

Polyclonal

Host

Rabbit

Isotype

IgG

Theoretical MW

74 kDa.
Disclaimer note: The observed molecular weight of the protein may vary from the listed predicted molecular weight due to post translational modifications, post translation cleavages, relative charges, and other experimental factors.

Description

Novus Biologicals Rabbit Mic1 Antibody - Azide and BSA Free (NBP3-03433) is a polyclonal antibody validated for use in IHC, WB and ICC/IF. All Novus Biologicals antibodies are covered by our 100% guarantee.

Scientific Data Images for Mic1 Antibody - Azide and BSA Free

Western Blot: Mic1 AntibodyAzide and BSA Free [NBP3-03433]

Western Blot: Mic1 AntibodyAzide and BSA Free [NBP3-03433]

Western Blot: Mic1 Antibody [NBP3-03433] - Analysis of extracts of various cell lines, using Mic1 antibody at 1:1000 dilution. Secondary antibody: HRP Goat Anti-Rabbit IgG (H+L) at 1:10000 dilution. Lysates/proteins: 25ug per lane. Blocking buffer: 3% nonfat dry milk in TBST. Detection: ECL Basic Kit.
Immunocytochemistry/ Immunofluorescence: Mic1 Antibody - Azide and BSA Free [NBP3-03433]

Immunocytochemistry/ Immunofluorescence: Mic1 Antibody - Azide and BSA Free [NBP3-03433]

Immunocytochemistry/Immunofluorescence: Mic1 Antibody [NBP3-03433] - Analysis of L929 cells using Mic1 antibody at dilution of 1:100. Blue: DAPI for nuclear staining.
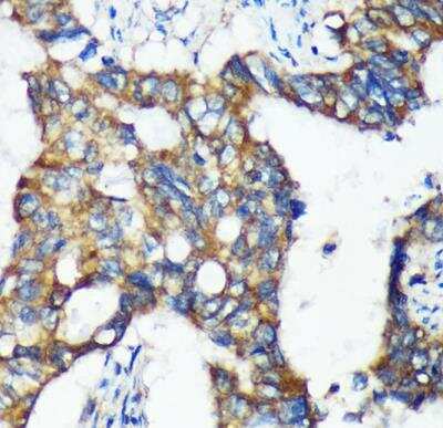
Immunohistochemistry-Paraffin: Mic1 Antibody - Azide and BSA Free [NBP3-03433]

Immunohistochemistry-Paraffin: Mic1 Antibody - Azide and BSA Free [NBP3-03433]

Immunohistochemistry-Paraffin: Mic1 Antibody [NBP3-03433] - Human colon carcinoma using Mic1 Rabbit pAb at dilution of 1:100 (40x lens).

Applications for Mic1 Antibody - Azide and BSA Free

Application
Recommended Usage

Immunocytochemistry/ Immunofluorescence

1:50-1:200

Immunohistochemistry

1:50-1:200

Western Blot

1:500-1:2000

Formulation, Preparation, and Storage

Purification

Affinity purified

Formulation

PBS (pH 7.3), 50% glycerol

Format

Azide and BSA Free

Preservative

0.01% Thimerosal

Concentration

Please see the vial label for concentration. If unlisted please contact technical services.

Shipping

The product is shipped with polar packs. Upon receipt, store it immediately at the temperature recommended below.

Stability & Storage

Store at -20C. Avoid freeze-thaw cycles.

Background: Mic1

Alternate Names

chromosome 18 open reading frame 8, Colon cancer-associated protein Mic1, FLJ23453, HsT2591, Mic-1, MIC1colon cancer associated protein Mic1

Gene Symbol

RMC1

Additional Mic1 Products

Product Documents for Mic1 Antibody - Azide and BSA Free

Certificate of Analysis

To download a Certificate of Analysis, please enter a lot number in the search box below.

Product Specific Notices for Mic1 Antibody - Azide and BSA Free

This product is for research use only and is not approved for use in humans or in clinical diagnosis. Primary Antibodies are guaranteed for 1 year from date of receipt.

Loading...
Loading...
Loading...
Loading...

⚠ WARNING: This product can expose you to chemicals including Methotrexate, which is known to the State of California to cause reproductive toxicity with developmental effects. For more information, go to www.P65Warnings.ca.gov