Skip to main content

MHC Class I Antibody (JF10-38)

Novus Biologicals, part of Bio-Techne | Catalog # NBP2-66946

Recombinant Monoclonal Antibody.
Novus Biologicals, part of Bio-Techne
Catalog #
Availability
Size / Price
Qty
Loading...
NBP2-66946

Key Product Details

Validated by

Biological Validation

Species Reactivity

Human

Applications

Immunohistochemistry, Immunohistochemistry-Paraffin, Western Blot, Flow Cytometry, Immunocytochemistry/ Immunofluorescence

Label

Unconjugated

Antibody Source

Recombinant Monoclonal Rabbit IgG Clone # JF10-38 expressed in HEK293

Concentration

1 mg/ml

Product Specifications

Immunogen

Synthetic peptide within human hla aa 263-299 / 365.

Localization

Cell membrane.

Clonality

Monoclonal

Host

Rabbit

Isotype

IgG

Theoretical MW

41 kDa.
Disclaimer note: The observed molecular weight of the protein may vary from the listed predicted molecular weight due to post translational modifications, post translation cleavages, relative charges, and other experimental factors.

Description

Novus Biologicals Rabbit MHC Class I Antibody (JF10-38) (NBP2-66946) is a recombinant monoclonal antibody validated for use in IHC, WB, Flow and ICC/IF. Anti-MHC Class I Antibody: Cited in 2 publications. All Novus Biologicals antibodies are covered by our 100% guarantee.

Scientific Data Images for MHC Class I Antibody (JF10-38)

MHC Class I Antibody (JF10-38)

Western Blot: MHC Class I Antibody (JF10-38) [NBP2-66946] -

Western Blot: MHC Class I Antibody (JF10-38) [NBP2-66946] - Analysis of MHC class I on different lysates with Rabbit anti-MHC class I antibody at 1/2,000 dilution.Lane 1: HL-60 cell lysateLane 2: K-562 cell lysate (low expression)Lysates/proteins at 15 µg/Lane.Predicted band size: 41 kDaObserved band size: 41 kDaExposure time: 5 minutes;4-20% SDS-PAGE gel.Proteins were transferred to a PVDF membrane and blocked with 5% NFDM/TBST for 1 hour at room temperature. The primary antibody at 1/2,000 dilution was used in 5% NFDM/TBST at 4c overnight. Goat Anti-Rabbit IgG - HRP Secondary Antibody at 1:50,000 dilution was used for 1 hour at room temperature.
MHC Class I Antibody (JF10-38)

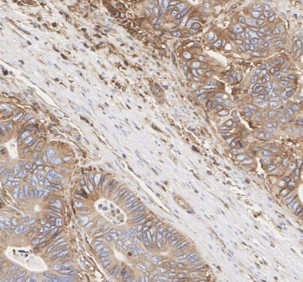
Immunohistochemistry-Paraffin: MHC Class I Antibody (JF10-38) [NBP2-66946] -

Immunohistochemistry-Paraffin: MHC Class I Antibody (JF10-38) [NBP2-66946] - Analysis of paraffin-embedded human colon cancer tissue with Rabbit anti-MHC class I antibody at 1/1,000 dilution.
MHC Class I Antibody (JF10-38)

Immunohistochemistry-Paraffin: MHC Class I Antibody (JF10-38) [NBP2-66946] -

Immunohistochemistry-Paraffin: MHC Class I Antibody (JF10-38) [NBP2-66946] - Analysis of paraffin-embedded human liver cancer tissue with Rabbit anti-MHC class I antibody at 1/200 dilution.

Applications for MHC Class I Antibody (JF10-38)

Application
Recommended Usage

Flow Cytometry

1:1,000

Immunocytochemistry/ Immunofluorescence

IF-Tissue 1:200, IF-Cell 1:100

Immunohistochemistry

1:200-1:1:1,000

Immunohistochemistry-Paraffin

1:200-1:1000

Western Blot

1:2,000

Formulation, Preparation, and Storage

Purification

Protein A purified

Formulation

TBS (pH7.4), 0.05% BSA, 40% Glycerol

Preservative

0.05% Sodium Azide

Concentration

1 mg/ml

Shipping

The product is shipped with polar packs. Upon receipt, store it immediately at the temperature recommended below.

Stability & Storage

Store at 4C short term. Aliquot and store at -20C long term. Avoid freeze-thaw cycles.

Background: MHC Class I

The antigenic agglomerate major histocompatibility complex (MHC) class I molecules present antigenic peptides to CD8-positive T cells. It is now recognized that the products of the MHC genes are antigen-presenting molecules (APM) designed for the presentation of antigen fragments (peptides) to the T-cell receptor, thus participating in the immune response (1). Recently shown is a mechanism of antigen acquisition for cross-presentation that couples the antigen presentation system of two adjacent cells and is lost in most tumours: gap-junction-mediated intercellular peptide coupling for presentation by bystander MHC class I molecules and transfer to professional antigen presenting cells for cross-priming (2). The mammalian vomeronasal organ detects social information about gender, status, and individuality. It has been shown that small peptides that serve as ligands for major histocompatibility complex (MHC) class I molecules function also as sensory stimuli for a subset of vomeronasal sensory neurons located in the basal Gao- and V2R receptor-expressing zone of the vomeronasal epithelium (3).

Alternate Names

DKFZp686P19218, EA1.2, EA2.1, HLA class I histocompatibility antigen, alpha chain E, HLA class I histocompatibility antigen, E alpha chain, HLA-6.2, HLAE, lymphocyte antigen, major histocompatibility complex, class I, E, MHC, MHC class I antigen E, MHC HLA-E alpha-1, MHC HLA-E alpha-2.1, QA1

Gene Symbol

HLA-E

Additional MHC Class I Products

Product Documents for MHC Class I Antibody (JF10-38)

Certificate of Analysis

To download a Certificate of Analysis, please enter a lot number in the search box below.

Product Specific Notices for MHC Class I Antibody (JF10-38)

This product is for research use only and is not approved for use in humans or in clinical diagnosis. Primary Antibodies are guaranteed for 1 year from date of receipt.

Loading...
Loading...
Loading...
Loading...
Loading...