MGP Antibody (OTI11G6)
Novus Biologicals, part of Bio-Techne | Catalog # NBP2-45844
Conjugate
Catalog #
Forumulation
Catalog #
Key Product Details
Species Reactivity
Validated:
Human
Cited:
Human
Applications
Validated:
Immunohistochemistry, Immunohistochemistry-Paraffin, Western Blot
Cited:
Immunohistochemistry-Paraffin
Label
Unconjugated
Antibody Source
Monoclonal Mouse IgG2A Clone # OTI11G6
Concentration
1 mg/ml
Product Specifications
Immunogen
Full length human recombinant protein of human MGP (NP_000891) produced in E.coli.
Clonality
Monoclonal
Host
Mouse
Isotype
IgG2A
Description
Novus Biologicals Mouse MGP Antibody (OTI11G6) (NBP2-45844) is a monoclonal antibody validated for use in IHC and WB. Anti-MGP Antibody: Cited in 2 publications. All Novus Biologicals antibodies are covered by our 100% guarantee.
Scientific Data Images for MGP Antibody (OTI11G6)
Western Blot: MGP Antibody (OTI11G6) [NBP2-45844]
Western Blot: MGP Antibody (11G6) [NBP2-45844] - Analysis of HEK293T cells were transfected with the pCMV6-ENTRY control (Left lane) or pCMV6-ENTRY MGP.Immunohistochemistry: MGP Antibody (OTI11G6) [NBP2-45844]
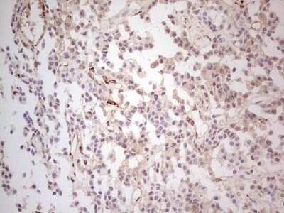
Immunohistochemistry: MGP Antibody (11G6) [NBP2-45844] - Analysis of Human lung tissue. (Heat-induced epitope retrieval by Tris-EDTA, pH8.0)Immunohistochemistry: MGP Antibody (OTI11G6) [NBP2-45844]
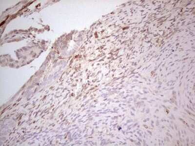
Immunohistochemistry: MGP Antibody (11G6) [NBP2-45844] - Analysis of Carcinoma of Human lung tissue.(Heat-induced epitope retrieval by Tris-EDTA, pH8.0)Applications for MGP Antibody (OTI11G6)
Application
Recommended Usage
Immunohistochemistry
1:150
Western Blot
1:2000
Formulation, Preparation, and Storage
Purification
Immunogen affinity purified
Formulation
PBS (pH 7.3), 1.0% BSA and 50% Glycerol
Preservative
0.02% Sodium Azide
Concentration
1 mg/ml
Shipping
The product is shipped with polar packs. Upon receipt, store it immediately at the temperature recommended below.
Stability & Storage
Store at -20C. Avoid freeze-thaw cycles.
Background: MGP
Alternate Names
Cell growth-inhibiting gene 36 protein, matrix Gla protein, MGLAP, NTI
Gene Symbol
MGP
Additional MGP Products
Product Documents for MGP Antibody (OTI11G6)
Product Specific Notices for MGP Antibody (OTI11G6)
This product is for research use only and is not approved for use in humans or in clinical diagnosis. Primary Antibodies are guaranteed for 1 year from date of receipt.
Loading...
Loading...
Loading...
Loading...