Skip to main content

METTL7B Antibody - BSA Free

Novus Biologicals, part of Bio-Techne | Catalog # NBP1-77337

Novus Biologicals, part of Bio-Techne

Key Product Details

Species Reactivity

Human, Mouse

Applications

Immunohistochemistry, Immunohistochemistry-Paraffin, Western Blot, ELISA

Label

Unconjugated

Antibody Source

Polyclonal Rabbit IgG

Format

BSA Free

Concentration

1 mg/ml

Product Specifications

Immunogen

Antibody was raised against a 13 amino acid synthetic peptide near the amino terminus of human MettL7B. The immunogen is located within amino acids 20 - 70 of MettL7B. Amino Acid Squence: VLTPKSNRKMESK

Specificity

This MettL7B antibody is predicted to not cross-react with MettL7A.

Clonality

Polyclonal

Host

Rabbit

Isotype

IgG

Theoretical MW

27 kDa.
Disclaimer note: The observed molecular weight of the protein may vary from the listed predicted molecular weight due to post translational modifications, post translation cleavages, relative charges, and other experimental factors.

Description

Novus Biologicals Rabbit METTL7B Antibody - BSA Free (NBP1-77337) is a polyclonal antibody validated for use in IHC, WB and ELISA. All Novus Biologicals antibodies are covered by our 100% guarantee.

Scientific Data Images for METTL7B Antibody - BSA Free

Western Blot: METTL7B AntibodyBSA Free [NBP1-77337]

Western Blot: METTL7B AntibodyBSA Free [NBP1-77337]

Western Blot: METTL7B Antibody [NBP1-77337] - Analysis of MettL7B in human colon tissue lysate with MettL7B antibody at (A) 1 and (B) 2 ug/mL.
METTL7B Antibody - BSA Free

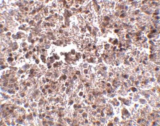
Immunohistochemistry: METTL7B Antibody - BSA Free [NBP1-77337] -

Immunohistochemistry: METTL7B Antibody - BSA Free [NBP1-77337] - Immunohistochemistry of METTL7B in human spleen tissue with METTL7B antibody at 2.5 ug/mL.

Applications for METTL7B Antibody - BSA Free

Application
Recommended Usage

ELISA

1:100-1:2000

Immunohistochemistry

2.5 ug/ml

Immunohistochemistry-Paraffin

2.5 ug/ml

Western Blot

1-2 ug/ml

Formulation, Preparation, and Storage

Purification

Peptide affinity purified

Formulation

PBS

Format

BSA Free

Preservative

0.02% Sodium Azide

Concentration

1 mg/ml

Shipping

The product is shipped with polar packs. Upon receipt, store it immediately at the temperature recommended below.

Stability & Storage

Store at 4C short term. Aliquot and store at -20C long term. Avoid freeze-thaw cycles.

Background: METTL7B

MettL7B belongs to the methyltransferase superfamily. It is a probable methyltransferase. Methyltransferase is a type of transferase enzyme which transfers a methyl group from a donor to an acceptor. Often methylation occurs on nucleic bases in DNA or amino acids in protein structures. DNA methylation is often utilized to silence and regulate genes without changing the original DNA sequence. DNA methylation may be necessary for normal growth from embryonic stages in mammals. When mutant embryonic stem cells lacking the murine DNA methyltransferase gene were introduced to a germline of mice they caused a recessive lethal phenotype. Methylation may also be linked to cancer development as methylation of tumor suppressor genes promotes tumorgenesis and metastasis. This MettL7B antibody is predicted to not cross-react with MettL7A.

Alternate Names

EC 2.1.1, EC 2.1.1.-, methyltransferase like 7B, methyltransferase-like protein 7B, MGC17301

Gene Symbol

TMT1B

Additional METTL7B Products

Product Documents for METTL7B Antibody - BSA Free

Certificate of Analysis

To download a Certificate of Analysis, please enter a lot number in the search box below.

Product Specific Notices for METTL7B Antibody - BSA Free

This product is for research use only and is not approved for use in humans or in clinical diagnosis. Primary Antibodies are guaranteed for 1 year from date of receipt.

Loading...
Loading...
Loading...
Loading...