Skip to main content

METTL18 Antibody - BSA Free

Novus Biologicals, part of Bio-Techne | Catalog # NBP3-47790

Novus Biologicals, part of Bio-Techne
Catalog #
Availability
Size / Price
Qty
Loading...
NBP3-47790

Key Product Details

Species Reactivity

Human, Mouse, Rat

Applications

ELISA, Immunocytochemistry/ Immunofluorescence, Immunohistochemistry, Western Blot

Label

Unconjugated

Antibody Source

Polyclonal Rabbit IgG

Format

BSA Free

Concentration

Please see the vial label for concentration. If unlisted please contact technical services.

Product Specifications

Immunogen

chromosome 1 open reading frame 156. (Uniprot# O95568)

Clonality

Polyclonal

Host

Rabbit

Isotype

IgG

Description

Novus Biologicals Rabbit METTL18 Antibody - BSA Free (NBP3-47790) is a polyclonal antibody validated for use in IHC, WB, ELISA and ICC/IF. All Novus Biologicals antibodies are covered by our 100% guarantee.

Scientific Data Images for METTL18 Antibody - BSA Free

METTL18 Antibody - BSA Free

Immunocytochemistry/ Immunofluorescence: METTL18 Antibody - BSA Free [NBP3-47790] -

Immunocytochemistry/ Immunofluorescence: METTL18 Antibody - BSA Free [NBP3-47790] - Immunofluorescent analysis of PC3 cells using (METTL18 antibody) at dilution of 1:50 and Alexa Fluor 488-conjugated Goat Anti-Rabbit IgG(H+L)
METTL18 Antibody - BSA Free

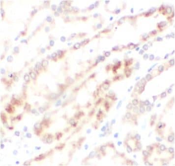
Immunohistochemistry: METTL18 Antibody - BSA Free [NBP3-47790] -

Immunohistochemistry: METTL18 Antibody - BSA Free [NBP3-47790] - Immunohistochemistry of paraffin-embedded human kidney using (METTL18 antibody) at dilution of 1:100
METTL18 Antibody - BSA Free

Western Blot: METTL18 Antibody - BSA Free [NBP3-47790] -

Western Blot: METTL18 Antibody - BSA Free [NBP3-47790] - Various lysates were subjected to SDS PAGE followed by western blot with ( METTL18 Antibody) at dilution of 1:500

Applications for METTL18 Antibody - BSA Free

Application
Recommended Usage

Immunocytochemistry/ Immunofluorescence

1:20-1:200

Immunohistochemistry

1:20-1:200

Western Blot

1:200-1:2000
Application Notes
Theoretical Molecular Weight is 40-50 kDa

Formulation, Preparation, and Storage

Purification

Immunogen affinity purified

Formulation

PBS, 50% Glycerol, pH (7.3)

Format

BSA Free

Preservative

0.02% Sodium Azide

Concentration

Please see the vial label for concentration. If unlisted please contact technical services.

Shipping

The product is shipped with polar packs. Upon receipt, store it immediately at the temperature recommended below.

Stability & Storage

Store at -20C. Avoid freeze-thaw cycles.

Background: METTL18

Alternate Names

Arsenic-transactivated protein 2, AsTP2ASTP2, C1orf156, chromosome 1 open reading frame 156, EC 2.1.1.-, methyltransferase like 18, Methyltransferase-like protein 18, MGC9084

Gene Symbol

METTL18

Additional METTL18 Products

Product Documents for METTL18 Antibody - BSA Free

Certificate of Analysis

To download a Certificate of Analysis, please enter a lot number in the search box below.

Product Specific Notices for METTL18 Antibody - BSA Free

This product is for research use only and is not approved for use in humans or in clinical diagnosis. Primary Antibodies are guaranteed for 1 year from date of receipt.

Loading...
Loading...
Loading...
Loading...