Skip to main content

METTL1 Antibody (HL2041) - Azide and BSA Free

Novus Biologicals, part of Bio-Techne | Catalog # NBP3-25561

Recombinant Monoclonal Antibody
Novus Biologicals, part of Bio-Techne
Catalog #
Availability
Size / Price
Qty
Loading...
NBP3-25561

Key Product Details

Validated by

Orthogonal Validation

Species Reactivity

Human

Applications

Immunocytochemistry/ Immunofluorescence, Western Blot

Label

Unconjugated

Antibody Source

Recombinant Monoclonal Rabbit IgG Clone # HL2041 expressed in HEK293

Format

Azide and BSA Free

Concentration

Concentrations vary lot to lot. See vial label for concentration. If unlisted please contact technical services.

Product Specifications

Immunogen

Recombinant fragment of human METTL1

Clonality

Monoclonal

Host

Rabbit

Isotype

IgG

Description

Novus Biologicals Rabbit METTL1 Antibody (HL2041) - Azide and BSA Free (NBP3-25561) is a recombinant monoclonal antibody validated for use in WB and ICC/IF. All Novus Biologicals antibodies are covered by our 100% guarantee.

Scientific Data Images for METTL1 Antibody (HL2041) - Azide and BSA Free

METTL1 Antibody (HL2041) - Azide and BSA Free

Immunocytochemistry/Immunofluorescence: METTL1 Antibody (HL2041) - Azide and BSA Free [NBP3-25561] -

Immunocytochemistry/Immunofluorescence: METTL1 Antibody (HL2041) - Azide and BSA Free [NBP3-25561] - METTL1 antibody [HL2041] detects METTL1 protein at cytoplasm and nucleus by immunofluorescent analysis. Sample: RMS-13 cells were fixed in ice-cold MeOH for 5 min. Green: METTL1 stained by METTL1 antibody [HL2041] (NBP3-25561) diluted at 1:500. Blue: Fluoroshield with DAPI .
METTL1 Antibody (HL2041) - Azide and BSA Free

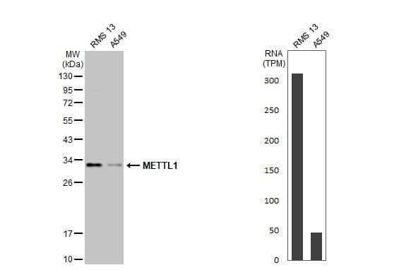
Western Blot: METTL1 Antibody (HL2041) - Azide and BSA Free [NBP3-25561] -

Western Blot: METTL1 Antibody (HL2041) - Azide and BSA Free [NBP3-25561] - Various whole cell extracts (30 ug) were separated by 12% SDS-PAGE, and the membrane was blotted with METTL1 antibody [HL2041] (NBP3-25561) diluted at 1:1000. The HRP-conjugated anti-rabbit IgG antibody was used to detect the primary antibody, and the signal was developed with Trident ECL plus-Enhanced. Corresponding RNA expression data for the same cell lines are based on Human Protein Atlas program.

Applications for METTL1 Antibody (HL2041) - Azide and BSA Free

Application
Recommended Usage

Western Blot

1:500-1:3000

Formulation, Preparation, and Storage

Purification

Protein A purified

Formulation

PBS

Format

Azide and BSA Free

Preservative

No Preservative

Concentration

Concentrations vary lot to lot. See vial label for concentration. If unlisted please contact technical services.

Shipping

The product is shipped with polar packs. Upon receipt, store it immediately at the temperature recommended below.

Stability & Storage

Store at 4C short term. Aliquot and store at -20C long term. Avoid freeze-thaw cycles.

Background: METTL1

METTL1 is similar in sequence to the S. cerevisiae YDL201w gene. The gene product contains a conserved S-adenosylmethionine-binding motif and is inactivated by phosphorylation. Alternative splice variants encoding different protein isoforms have been described for this gene. A pseudogene has been identified on chromosome X. [provided by RefSeq]

Alternate Names

C12orf1, D1075-like gene product, EC 2.1.1.33, FLJ95748, methyltransferase like 1, methyltransferase-like 1, Methyltransferase-like protein 1, TRM8, tRNA (guanine-N(7)-)-methyltransferase, tRNA(m7G46)-methyltransferase, YDL201w

Gene Symbol

METTL1

Additional METTL1 Products

Product Documents for METTL1 Antibody (HL2041) - Azide and BSA Free

Certificate of Analysis

To download a Certificate of Analysis, please enter a lot number in the search box below.

Product Specific Notices for METTL1 Antibody (HL2041) - Azide and BSA Free

This product is for research use only and is not approved for use in humans or in clinical diagnosis. Primary Antibodies are guaranteed for 1 year from date of receipt.

Loading...
Loading...
Loading...
Loading...