Methionine Aminopeptidase 2/METAP2 Antibody (001) - Azide and BSA Free
Novus Biologicals, part of Bio-Techne | Catalog # NBP2-90622
Recombinant Monoclonal Antibody
Conjugate
Catalog #
Key Product Details
Species Reactivity
Mouse
Applications
Immunohistochemistry-Paraffin
Label
Unconjugated
Antibody Source
Recombinant Monoclonal Rabbit IgG Clone # 001
Format
Azide and BSA Free
Concentration
Please see the vial label for concentration. If unlisted please contact technical services.
Product Specifications
Immunogen
This antibody was obtained from a rabbit immunized with purified, recombinant Mouse Methionine Aminopeptidase 2/METAP2 (Uniprot#: O08663; Ala2-Tyr478).
Clonality
Monoclonal
Host
Rabbit
Isotype
IgG
Description
This antibody can be stored at 2C-8C for one month without detectable loss of activity. Antibody products are stable for twelve months from date of receipt when stored at -20C to -80C. Avoid repeated freeze-thaw cycles.
Scientific Data Images
Immunohistochemistry-Paraffin: Methionine Aminopeptidase 2/METAP2 Antibody (001) [NBP2-90622]
Immunohistochemistry-Paraffin: Methionine Aminopeptidase 2/METAP2 Antibody (001) [NBP2-90622] - Immunochemical staining of mouse Aminopeptidase 2/METAP2 in mouse intestine with rabbit monoclonal antibody (1:1000, formalin-fixed paraffin embedded sections).Immunohistochemistry-Paraffin: Methionine Aminopeptidase 2/METAP2 Antibody (001) [NBP2-90622]
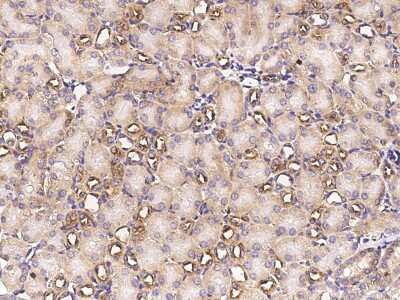
Immunohistochemistry-Paraffin: Methionine Aminopeptidase 2/METAP2 Antibody (001) [NBP2-90622] - Immunochemical staining of mouse Methionine Aminopeptidase 2/METAP2 in mouse kidney with rabbit monoclonal antibody (1:1000, formalin-fixed paraffin embedded sections).Immunohistochemistry-Paraffin: Methionine Aminopeptidase 2/METAP2 Antibody (001) [NBP2-90622]
Immunohistochemistry-Paraffin: Methionine Aminopeptidase 2/METAP2 Antibody (001) [NBP2-90622] - Immunochemical staining of mouse Methionine Aminopeptidase 2/METAP2 in mouse spleen with rabbit monoclonal antibody (1:1000, formalin-fixed paraffin embedded sections).Applications
Application
Recommended Usage
Immunohistochemistry-Paraffin
1:500-1:2000
Formulation, Preparation, and Storage
Purification
Protein A purified
Formulation
0.2 um filtered solution in PBS
Format
Azide and BSA Free
Preservative
No Preservative
Concentration
Please see the vial label for concentration. If unlisted please contact technical services.
Shipping
The product is shipped with polar packs. Upon receipt, store it immediately at the temperature recommended below.
Stability & Storage
Store at 4C short term. Aliquot and store at -20C long term. Avoid freeze-thaw cycles.
Background: Methionine Aminopeptidase 2/METAP2
Alternate Names
Amp2, METAP2, MNPEP, p67eIF2
Gene Symbol
METAP2
Additional Methionine Aminopeptidase 2/METAP2 Products
Product Specific Notices
This product is for research use only and is not approved for use in humans or in clinical diagnosis. Primary Antibodies are guaranteed for 1 year from date of receipt.
Loading...
Loading...
Loading...
Loading...