Skip to main content

Metadherin Antibody - BSA Free

Novus Biologicals, part of Bio-Techne | Catalog # NBP1-90328

Novus Biologicals, part of Bio-Techne
Catalog #
Availability
Size / Price
Qty
Loading...
NBP1-90328
NBP1-90328-25ul

Key Product Details

Validated by

Independent Antibodies

Species Reactivity

Human, Mouse, Rat

Applications

Immunohistochemistry, Immunohistochemistry-Paraffin, Western Blot, Immunocytochemistry/ Immunofluorescence

Label

Unconjugated

Antibody Source

Polyclonal Rabbit IgG

Format

BSA Free

Concentration

Concentrations vary lot to lot. See vial label for concentration. If unlisted please contact technical services.

Product Specifications

Immunogen

This antibody was developed against Recombinant Protein corresponding to amino acids: RKTEPSAWSQDTGDANTNGKDWGRSWSDRSIFSGIGSTAEPVSQSTTSDYQWDVSRNQPYIDDEWSGLNGLSSADPNSDWNAPAEEWGNWVDEERASLLKSQEPIPDDQKVSDDDKEKGEGALPTGKSKKKKKKKKKQGEDNSTAQD

Clonality

Polyclonal

Host

Rabbit

Isotype

IgG

Description

Novus Biologicals Rabbit Metadherin Antibody - BSA Free (NBP1-90328) is a polyclonal antibody validated for use in IHC, WB and ICC/IF. Anti-Metadherin Antibody: Cited in 1 publication. All Novus Biologicals antibodies are covered by our 100% guarantee.

Scientific Data Images for Metadherin Antibody - BSA Free

Immunocytochemistry/ Immunofluorescence: Metadherin Antibody [NBP1-90328]

Immunocytochemistry/ Immunofluorescence: Metadherin Antibody [NBP1-90328]

Immunocytochemistry/Immunofluorescence: LYRIC Antibody [NBP1-90328] - Immunofluorescent staining of human cell line A-431 shows localization to endoplasmic reticulum.
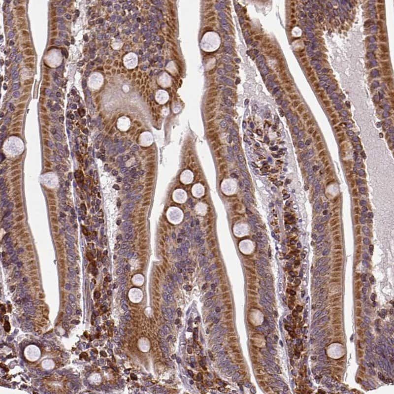
Metadherin Antibody - BSA Free Immunohistochemistry: Metadherin Antibody - BSA Free [NBP1-90328]

Immunohistochemistry: Metadherin Antibody - BSA Free [NBP1-90328]

Staining of human small intestine shows cytoplasmic positivity in glandular cells.
Western Blot: Metadherin Antibody [NBP1-90328]

Western Blot: Metadherin Antibody [NBP1-90328]

Western Blot: LYRIC Antibody [NBP1-90328] - Analysis using Anti-MTDH antibody NBP1-90328 (A) shows similar pattern to independent antibody NBP1-90327 (B).

Applications for Metadherin Antibody - BSA Free

Application
Recommended Usage

Immunocytochemistry/ Immunofluorescence

0.25-2 ug/ml

Immunohistochemistry

1:500 - 1:1000

Immunohistochemistry-Paraffin

1:500-1:1000

Western Blot

0.04-0.4 ug/ml
Application Notes
For IHC-Paraffin, HIER pH 6 retrieval is recommended. ICC/IF, Fixation Permeabilization: Use PFA/Triton X-100.

Formulation, Preparation, and Storage

Purification

Affinity purified

Formulation

PBS (pH 7.2) and 40% Glycerol

Format

BSA Free

Preservative

0.02% Sodium Azide

Concentration

Concentrations vary lot to lot. See vial label for concentration. If unlisted please contact technical services.

Shipping

The product is shipped with polar packs. Upon receipt, store it immediately at the temperature recommended below.

Stability & Storage

Store at 4C short term. Aliquot and store at -20C long term. Avoid freeze-thaw cycles.

Background: Metadherin

LYRIC is a type II membrane protein, the precise role of which has yet to be defined. It is expressed in breast and prostate carcinoma and is a potential mediator of lung metastasis. It has also been found in mouse Purkinje neurons and cerebellum. In epithelial cells it is recruited to tight junctions (TJ) during the maturation of the TJ complexes. LYRIC co-localizes with beta-catenin in normal and tumour tissues.

Alternate Names

3D3, AEG1, LYRIC, MTDH

Gene Symbol

MTDH

Additional Metadherin Products

Product Documents for Metadherin Antibody - BSA Free

Certificate of Analysis

To download a Certificate of Analysis, please enter a lot number in the search box below.

Product Specific Notices for Metadherin Antibody - BSA Free

This product is for research use only and is not approved for use in humans or in clinical diagnosis. Primary Antibodies are guaranteed for 1 year from date of receipt.

Loading...
Loading...
Loading...
Loading...