Skip to main content

Metadherin Antibody - BSA Free

Novus Biologicals, part of Bio-Techne | Catalog # NBP1-90327

Novus Biologicals, part of Bio-Techne
Catalog #
Availability
Size / Price
Qty
Loading...
NBP1-90327
NBP1-90327-25ul

Key Product Details

Validated by

Independent Antibodies

Species Reactivity

Validated:

Human

Cited:

Human

Predicted:

Mouse (95%), Rat (97%). Backed by our 100% Guarantee.

Applications

Validated:

Immunohistochemistry, Immunohistochemistry-Paraffin, Western Blot, Immunocytochemistry/ Immunofluorescence

Cited:

IF/IHC

Label

Unconjugated

Antibody Source

Polyclonal Rabbit IgG

Format

BSA Free

Concentration

Concentrations vary lot to lot. See vial label for concentration. If unlisted please contact technical services.

Product Specifications

Immunogen

This antibody was developed against Recombinant Protein corresponding to amino acids: NSSRHDGKEVDEGAWETKISHREKRQQRKRDKVLTDSGSLDSTIPGIENTITVTTEQLTTASFPVGSKKNKGDSHLNVQVSNFKSGKGDSTLQVSSGLNENLTVNGGGWNEKSVKLSSQISAGEEKWNSVSPA

Reactivity Notes

Human reactivity reported in scientific literature (PMID: 24963474).

Clonality

Polyclonal

Host

Rabbit

Isotype

IgG

Description

Novus Biologicals Rabbit Metadherin Antibody - BSA Free (NBP1-90327) is a polyclonal antibody validated for use in IHC, WB and ICC/IF. Anti-Metadherin Antibody: Cited in 2 publications. All Novus Biologicals antibodies are covered by our 100% guarantee.

Scientific Data Images for Metadherin Antibody - BSA Free

Immunocytochemistry/ Immunofluorescence: Metadherin Antibody [NBP1-90327]

Immunocytochemistry/ Immunofluorescence: Metadherin Antibody [NBP1-90327]

Immunocytochemistry/Immunofluorescence: LYRIC Antibody [NBP1-90327] - Immunofluorescent staining of human cell line A-431 shows localization to endoplasmic reticulum.
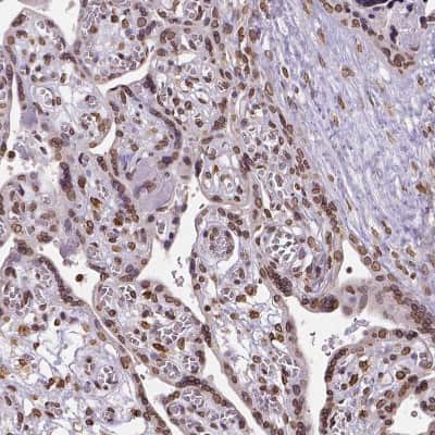
Immunohistochemistry-Paraffin: Metadherin Antibody [NBP1-90327]

Immunohistochemistry-Paraffin: Metadherin Antibody [NBP1-90327]

Immunohistochemistry-Paraffin: LYRIC Antibody [NBP1-90327] - Staining of human placenta shows moderate to strong cytoplasmic positivity in decidual cells.
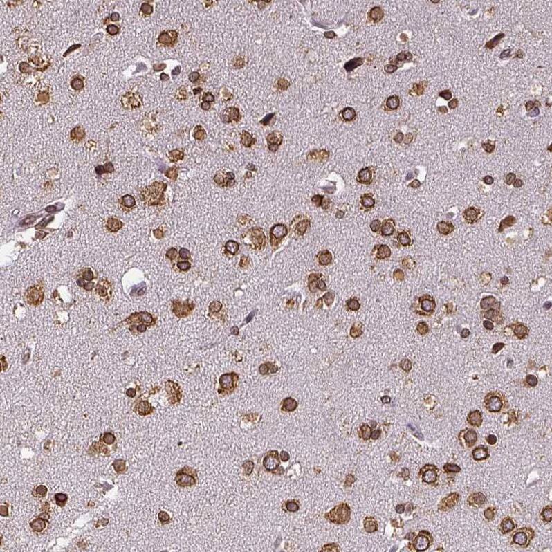
Immunohistochemistry-Paraffin: Metadherin Antibody [NBP1-90327]

Immunohistochemistry-Paraffin: Metadherin Antibody [NBP1-90327]

Immunohistochemistry-Paraffin: LYRIC Antibody [NBP1-90327] - Staining of human cerebellum shows moderate to strong cytoplasmic positivity in purkinje cells.

Applications for Metadherin Antibody - BSA Free

Application
Recommended Usage

Immunocytochemistry/ Immunofluorescence

0.25-2 ug/ml

Immunohistochemistry

1:200 - 1:500

Immunohistochemistry-Paraffin

1:200-1:500

Western Blot

0.04-0.4 ug/ml
Application Notes
For IHC-Paraffin, HIER pH 6 retrieval is recommended. ICC/IF, Fixation Permeabilization: Use PFA/Triton X-100.

Formulation, Preparation, and Storage

Purification

Affinity purified

Formulation

PBS (pH 7.2) and 40% Glycerol

Format

BSA Free

Preservative

0.02% Sodium Azide

Concentration

Concentrations vary lot to lot. See vial label for concentration. If unlisted please contact technical services.

Shipping

The product is shipped with polar packs. Upon receipt, store it immediately at the temperature recommended below.

Stability & Storage

Store at 4C short term. Aliquot and store at -20C long term. Avoid freeze-thaw cycles.

Background: Metadherin

LYRIC is a type II membrane protein, the precise role of which has yet to be defined. It is expressed in breast and prostate carcinoma and is a potential mediator of lung metastasis. It has also been found in mouse Purkinje neurons and cerebellum. In epithelial cells it is recruited to tight junctions (TJ) during the maturation of the TJ complexes. LYRIC co-localizes with beta-catenin in normal and tumour tissues.

Alternate Names

3D3, AEG1, LYRIC, MTDH

Gene Symbol

MTDH

Additional Metadherin Products

Product Documents for Metadherin Antibody - BSA Free

Certificate of Analysis

To download a Certificate of Analysis, please enter a lot number in the search box below.

Product Specific Notices for Metadherin Antibody - BSA Free

This product is for research use only and is not approved for use in humans or in clinical diagnosis. Primary Antibodies are guaranteed for 1 year from date of receipt.

Loading...
Loading...
Loading...
Loading...