Skip to main content

Metadherin Antibody (OTI1B6) - Azide and BSA Free

Novus Biologicals, part of Bio-Techne | Catalog # NBP2-72552

Novus Biologicals, part of Bio-Techne

Key Product Details

Species Reactivity

Human, Mouse, Rat

Applications

Immunohistochemistry, Immunohistochemistry-Paraffin, Western Blot

Label

Unconjugated

Antibody Source

Monoclonal Mouse IgG1 Clone # OTI1B6

Format

Azide and BSA Free

Concentration

LYOPH mg/ml

Product Specifications

Immunogen

Human recombinant protein fragment corresponding to amino acids 70-582 of human Metadherin (NP_848927)produced in SF9 cell.

Reactivity Notes

Please note that this antibody is reactive to Mouse and derived from the same host, Mouse. Mouse-On-Mouse blocking reagent may be needed for IHC and ICC experiments to reduce high background signal. You can find these reagents under catalog numbers PK-2200-NB and MP-2400-NB. Please contact Technical Support if you have any questions.

Clonality

Monoclonal

Host

Mouse

Isotype

IgG1

Theoretical MW

63.7 kDa.
Disclaimer note: The observed molecular weight of the protein may vary from the listed predicted molecular weight due to post translational modifications, post translation cleavages, relative charges, and other experimental factors.

Description

Novus Biologicals Mouse Metadherin Antibody (OTI1B6) - Azide and BSA Free (NBP2-46026) is a monoclonal antibody validated for use in IHC and WB. All Novus Biologicals antibodies are covered by our 100% guarantee.

Scientific Data Images for Metadherin Antibody (OTI1B6) - Azide and BSA Free

Western Blot: Metadherin Antibody (OTI1B6)Azide and BSA Free [NBP2-72552]

Western Blot: Metadherin Antibody (OTI1B6)Azide and BSA Free [NBP2-72552]

Western Blot: LYRIC Antibody (OTI1B6) - Azide and BSA Free [NBP2-72552] - Analysis of HEK293T cells were transfected with the pCMV6-ENTRY control (Left lane) or pCMV6-ENTRY LYRIC.
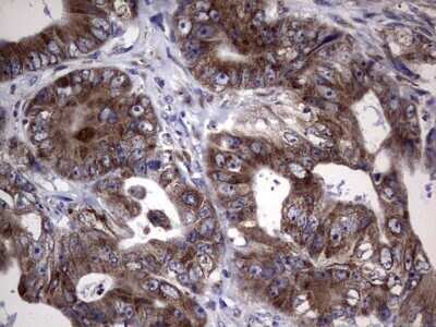
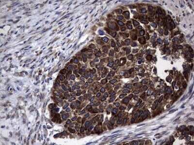
Immunohistochemistry: Metadherin Antibody (OTI1B6) - Azide and BSA Free [NBP2-72552]

Immunohistochemistry: Metadherin Antibody (OTI1B6) - Azide and BSA Free [NBP2-72552]

Immunohistochemistry: LYRIC Antibody (OTI1B6) - Azide and BSA Free [NBP2-72552] - Analysis of Carcinoma of Human kidney tissue. (Heat-induced epitope retrieval by 1 mM EDTA in 10mM Tris, pH8.5, 120C for 3min)
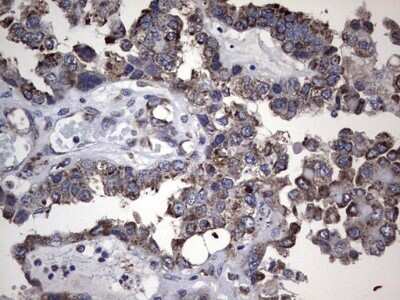
Immunohistochemistry: Metadherin Antibody (OTI1B6) - Azide and BSA Free [NBP2-72552]

Immunohistochemistry: Metadherin Antibody (OTI1B6) - Azide and BSA Free [NBP2-72552]

Immunohistochemistry: LYRIC Antibody (OTI1B6) - Azide and BSA Free [NBP2-72552] - Analysis of Adenocarcinoma of Human colon tissue. (Heat-induced epitope retrieval by 1 mM EDTA in 10mM Tris, pH8.5, 120C for 3min)

Applications for Metadherin Antibody (OTI1B6) - Azide and BSA Free

Application
Recommended Usage

Immunohistochemistry

1:150

Western Blot

1:2000

Formulation, Preparation, and Storage

Purification

Immunogen affinity purified

Reconstitution

we recommend adding 100uL distilled water to a final antibody concentration of about 1 mg/mL. To use this carrier-free antibody for conjugation experiment, we strongly recommend performing another round of desalting process.

Formulation

Lyophilized from PBS (pH 7.3) with 8% Trehalose

Format

Azide and BSA Free

Preservative

No Preservative

Concentration

LYOPH mg/ml

Shipping

The product is shipped with polar packs. Upon receipt, store it immediately at the temperature recommended below.

Stability & Storage

Store at -20C. Avoid freeze-thaw cycles.

Background: Metadherin

LYRIC is a type II membrane protein, the precise role of which has yet to be defined. It is expressed in breast and prostate carcinoma and is a potential mediator of lung metastasis. It has also been found in mouse Purkinje neurons and cerebellum. In epithelial cells it is recruited to tight junctions (TJ) during the maturation of the TJ complexes. LYRIC co-localizes with beta-catenin in normal and tumour tissues.

Alternate Names

3D3, AEG1, LYRIC, MTDH

Gene Symbol

MTDH

Additional Metadherin Products

Product Documents for Metadherin Antibody (OTI1B6) - Azide and BSA Free

Certificate of Analysis

To download a Certificate of Analysis, please enter a lot number in the search box below.

Product Specific Notices for Metadherin Antibody (OTI1B6) - Azide and BSA Free

This product is for research use only and is not approved for use in humans or in clinical diagnosis. Primary Antibodies are guaranteed for 1 year from date of receipt.

Loading...
Loading...
Loading...
Loading...
Loading...