Skip to main content

Metadherin Antibody (CL0401) - Azide and BSA Free

Novus Biologicals, part of Bio-Techne | Catalog # NBP3-44033

Novus Biologicals, part of Bio-Techne
Catalog #
Availability
Size / Price
Qty
Loading...
NBP3-44033

Key Product Details

Species Reactivity

Human

Applications

Immunohistochemistry-Paraffin, Western Blot, Immunocytochemistry/ Immunofluorescence

Label

Unconjugated

Antibody Source

Monoclonal Mouse IgG1 Clone # CL0401

Format

Azide and BSA Free

Concentration

LYOPH mg/ml

Product Specifications

Immunogen

This antibody was generated using a recombinant protein sequence of Q86UE4, with the exact immunogen sequence remaining proprietary.

Clonality

Monoclonal

Host

Mouse

Isotype

IgG1

Description

Novus Biologicals Mouse Metadherin Antibody (CL0401) - Azide and BSA Free (NBP2-30458) is a monoclonal antibody validated for use in IHC, WB and ICC/IF. All Novus Biologicals antibodies are covered by our 100% guarantee.

Scientific Data Images for Metadherin Antibody (CL0401) - Azide and BSA Free

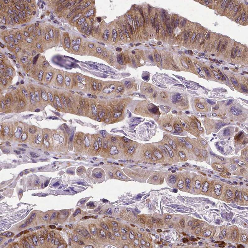
Metadherin Antibody (CL0401) - Azide and BSA Free Immunohistochemistry-Paraffin: Metadherin Antibody [NBP3-44033]

Immunohistochemistry-Paraffin: Metadherin Antibody [NBP3-44033]

Staining of human breast cancer shows moderate cytoplasmic positivity in tumor cells.
Metadherin Antibody (CL0401) - Azide and BSA Free Western Blot: Metadherin Antibody [NBP3-44033]

Western Blot: Metadherin Antibody [NBP3-44033]

Lane 1: Marker [kDa]
Lane 2: Human cell line U-251 MG
Metadherin Antibody (CL0401) - Azide and BSA Free Immunohistochemistry-Paraffin: Metadherin Antibody [NBP3-44033]

Immunohistochemistry-Paraffin: Metadherin Antibody [NBP3-44033]

Staining of human colorectal cancer shows moderate cytoplasmic positivity in tumor cells.

Applications for Metadherin Antibody (CL0401) - Azide and BSA Free

Application
Recommended Usage

Immunocytochemistry/ Immunofluorescence

2-10 ug/ml

Immunohistochemistry-Paraffin

1:500 - 1:1000

Western Blot

1 ug/ml
Application Notes
For IHC-Paraffin, HIER pH 6 retrieval is recommended. Immunocytochemistry/ Immunofluorescence/IF Fixation/Permeabilization: PFA/Triton X-100.

Formulation, Preparation, and Storage

Purification

Protein A purified

Reconstitution

Centrifuge the vial of lyophilized antibody at 12,000 x g for 20 seconds. Reconstitute by adding sterile, distilled water to achieve a final antibody concentration of 1mg/ml.

Formulation

Lyophilized from a 0.2 um filtered solution in PBS with Trehalose

Format

Azide and BSA Free

Preservative

No Preservative

Concentration

LYOPH mg/ml

Shipping

The product is shipped at ambient temperature. Upon receipt, store it immediately at the temperature recommended below.

Stability & Storage

Store at 4C short term. Aliquot and store at -20C long term. Avoid freeze-thaw cycles.

Background: Metadherin

LYRIC is a type II membrane protein, the precise role of which has yet to be defined. It is expressed in breast and prostate carcinoma and is a potential mediator of lung metastasis. It has also been found in mouse Purkinje neurons and cerebellum. In epithelial cells it is recruited to tight junctions (TJ) during the maturation of the TJ complexes. LYRIC co-localizes with beta-catenin in normal and tumour tissues.

Alternate Names

3D3, AEG1, LYRIC, MTDH

Gene Symbol

MTDH

Additional Metadherin Products

Product Documents for Metadherin Antibody (CL0401) - Azide and BSA Free

Certificate of Analysis

To download a Certificate of Analysis, please enter a lot number in the search box below.

Product Specific Notices for Metadherin Antibody (CL0401) - Azide and BSA Free

This product is for research use only and is not approved for use in humans or in clinical diagnosis. Primary Antibodies are guaranteed for 1 year from date of receipt.

Loading...
Loading...
Loading...
Loading...
Loading...