Skip to main content

Mesothelin Antibody (CL13965) - BSA Free

Novus Biologicals, part of Bio-Techne | Catalog # NBP3-24591

Novus Biologicals, part of Bio-Techne
Catalog #
Availability
Size / Price
Qty
Loading...
NBP3-24591-25ul
NBP3-24591-100ul

Key Product Details

Validated by

Orthogonal Validation

Species Reactivity

Human

Applications

Immunohistochemistry, Immunohistochemistry-Paraffin, Western Blot

Label

Unconjugated

Antibody Source

Monoclonal Mouse IgG2B Clone # CL13965

Format

BSA Free

Concentration

Concentrations vary lot to lot. See vial label for concentration. If unlisted please contact technical services.

Product Specifications

Immunogen

This antibody was developed using a recombinant protein derived from Q13421, with the exact immunogen sequence remaining proprietary.

Clonality

Monoclonal

Host

Mouse

Isotype

IgG2B

Description

Novus Biologicals Mouse Mesothelin Antibody (CL13965) - BSA Free (NBP3-24591) is a monoclonal antibody validated for use in IHC and WB. All Novus Biologicals antibodies are covered by our 100% guarantee.

Scientific Data Images for Mesothelin Antibody (CL13965) - BSA Free

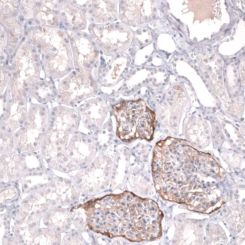
Immunohistochemistry-Paraffin: Mesothelin Antibody (CL13965) [NBP3-24591]

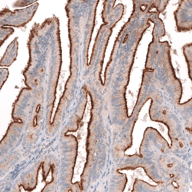
Analysis in human fallopian tube and liver tissues using NBP3-24591 antibody. Corresponding MSLN RNA-seq data are presented for the same tissues.

Immunohistochemistry-Paraffin: Mesothelin Antibody (CL13965) [NBP3-24591]

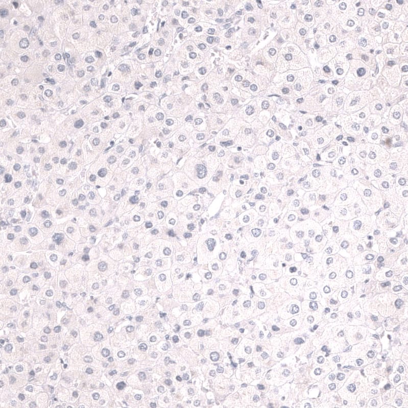
Staining of human liver shows no positivity in hepatocytes as expected.

Immunohistochemistry-Paraffin: Mesothelin Antibody (CL13965) [NBP3-24591]

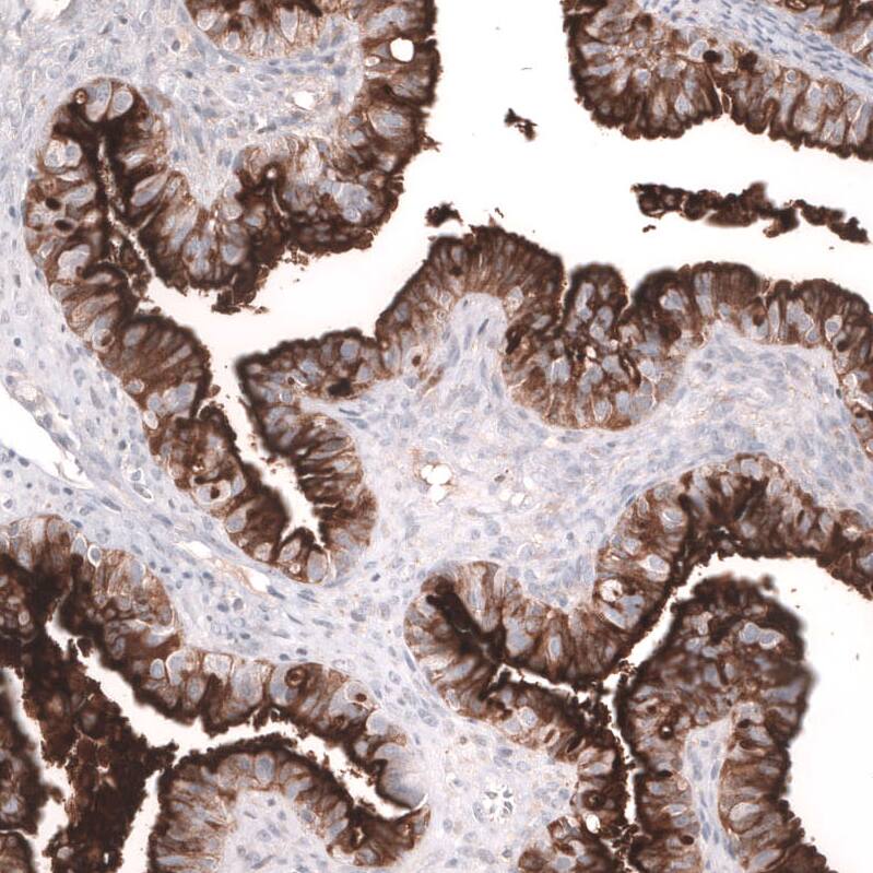
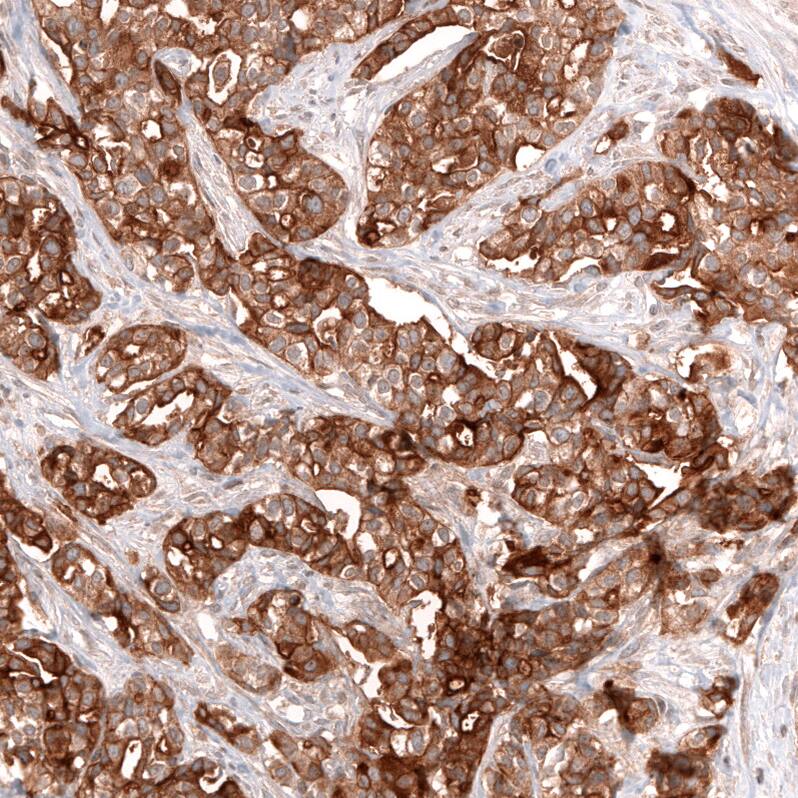
Staining of human ovarian cancer (high grade serous ovarian carcinoma) shows strong membranous and cytoplasmic positivity in tumor cells.

Applications for Mesothelin Antibody (CL13965) - BSA Free

Application
Recommended Usage

Immunohistochemistry

1:2500 - 1:5000

Immunohistochemistry-Paraffin

1:2500 - 1:5000

Western Blot

1ug/ml
Application Notes
For IHC-Paraffin, we recommend using Heat-Induced Epitope Retrieval (HIER) with a pH level of 6. This optimized retrieval method ensures the best results for your experiments.

Formulation, Preparation, and Storage

Purification

Protein A purified

Formulation

PBS (pH 7.2) and 40% Glycerol

Format

BSA Free

Preservative

0.02% Sodium Azide

Concentration

Concentrations vary lot to lot. See vial label for concentration. If unlisted please contact technical services.

Shipping

The product is shipped with polar packs. Upon receipt, store it immediately at the temperature recommended below.

Stability & Storage

Store at 4C short term. Aliquot and store at -20C long term. Avoid freeze-thaw cycles.

Background: Mesothelin

MSLN, also known as Mesothelin, has 4 isoforms, a 630 amino acid isoform that is 69 kDa, a 622 amino acid isoform that is 68 kDa, a 656 amino acid isoform that is 71 kDa, and a 621 amino acid isoform that is 68 kDa, expressed in lung, heart, placenta kidney, and overexpressed in mesotheliomas, ovarian cancers, and some squamous cell carcinomas. Membrane-anchored forms may play a role in cellular adhesion and megakaryocyte-potentiating factor (MPF) potentiates megakaryocyte colony formation in vitro. Current research is being performed on several diseases and disorders including squamous cell carcinoma, ovarian cancer, carcinoma, malignant biphasic mesothelioma, bile duct adenoma, malignant mesothelioma, malignant pleural mesothelioma, gastrointestinal stromal tumor, renal clear cell carcinoma, epithelioid sarcoma, benign mesothelioma, pancreatic ductal adenocarcinoma, asbestosis, pancreatic ductal carcinoma, thymic carcinoma, acute myeloid leukemia, epithelial ovarian cancer, myeloid leukemia, thoracic cancer, and pancreatitis. This protein has also shown an interaction with MUC16 and RSG1 in cell adhesion and pancreas development processes and pathways.

Alternate Names

CAK1, MPF, MSLN, SMR

Gene Symbol

MSLN

Additional Mesothelin Products

Product Documents for Mesothelin Antibody (CL13965) - BSA Free

Certificate of Analysis

To download a Certificate of Analysis, please enter a lot number in the search box below.

Product Specific Notices for Mesothelin Antibody (CL13965) - BSA Free

This product is for research use only and is not approved for use in humans or in clinical diagnosis. Primary Antibodies are guaranteed for 1 year from date of receipt.

Loading...
Loading...
Loading...
Loading...