Skip to main content

Key Product Details

Validated by

Knockout/Knockdown, Biological Validation

Species Reactivity

Validated:

Human, Mouse, Rat, Chicken

Cited:

Mouse, Rat, Avian - Chicken

Applications

Validated:

Immunohistochemistry, Immunohistochemistry-Paraffin, Immunohistochemistry-Frozen, Western Blot, Knockdown Validated

Cited:

Immunohistochemistry-Paraffin, Immunohistochemistry-Frozen, Western Blot

Label

Unconjugated

Antibody Source

Polyclonal Rabbit IgG

Format

BSA Free

Concentration

1 mg/ml

Product Specifications

Immunogen

A synthetic peptide made to an internal region of the human Melatonin Receptor 1B protein (within residues 200-300) [Swiss-Prot P49286].

Reactivity Notes

Chicken reactivity reported in scientific literature (PMID:32758663).

Localization

Cell membrane; Multi-pass membrane protein.

Clonality

Polyclonal

Host

Rabbit

Isotype

IgG

Scientific Data Images for Melatonin Receptor 1B Antibody - BSA Free

Knockdown Validated: Melatonin Receptor 1B Antibody - BSA Free [NLS932]

Western Blot: Melatonin Receptor 1B Antibody - BSA Free [NLS932]

Melatonin-Receptor-1B-Antibody-Western-Blot-NLS932-img0012.jpg
Immunohistochemistry-Paraffin: Melatonin Receptor 1B Antibody - BSA Free [NLS932]

Immunohistochemistry-Paraffin: Melatonin Receptor 1B Antibody - BSA Free [NLS932]

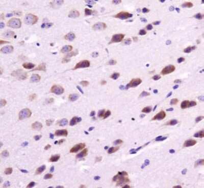
Immunohistochemistry-Paraffin: Melatonin Receptor 1B Antibody [NLS932] - Melatonin receptor type 1 B (MTR1B) in rat tissues fixed in paraformaldehyde and embedded in paraffin. A,B-brain, C-prostate. Image from verified customer review.
Immunohistochemistry-Paraffin: Melatonin Receptor 1B Antibody - BSA Free [NLS932]

Immunohistochemistry-Paraffin: Melatonin Receptor 1B Antibody - BSA Free [NLS932]

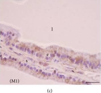
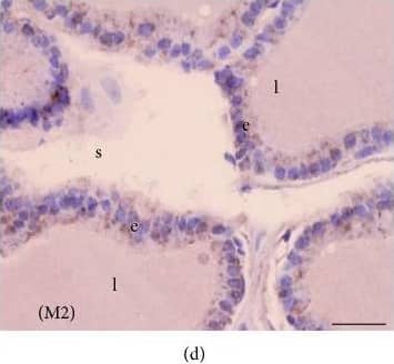
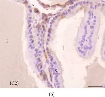
Immunohistochemistry-Paraffin: Melatonin Receptor 1B Antibody [NLS932] - Tissue localization of melatonin receptor type 1B (MTR1B) in the ventral prostate of rats. Short-term diabetic treated with MLT (MD1) Influence of Melatonin on the Proliferative and Apoptotic Responses of the Prostate under Normal and Hyperglycemic Conditions. J Diabetes Res (2015)

Applications for Melatonin Receptor 1B Antibody - BSA Free

Application
Recommended Usage

Immunohistochemistry

1:100

Immunohistochemistry-Frozen

reported in scientific literature (PMID 24365461)

Immunohistochemistry-Paraffin

1:100

Western Blot

1:1000
Application Notes
Prior to immunostaining paraffin tissues, antigen retrieval with sodium citrate buffer (pH 6.0) is recommended.

Reviewed Applications

Read 1 review rated 4 using NLS932 in the following applications:

Formulation, Preparation, and Storage

Purification

Immunogen affinity purified

Formulation

PBS and 30% Glycerol

Format

BSA Free

Preservative

0.05% Sodium Azide

Concentration

1 mg/ml

Shipping

The product is shipped with polar packs. Upon receipt, store it immediately at the temperature recommended below.

Stability & Storage

Store at 4C short term. Aliquot and store at -20C long term. Avoid freeze-thaw cycles.

Background: Melatonin Receptor 1B

Melatonin receptor type 1B (MTNR1B) is a member of the G-protein coupled receptor 1 family. This family is responsible for translating external chemical signals across the cell membrane. MTNR1B is one of two high affinity receptors for melatonin, a hormone secreted by the pineal gland. Pertussis toxin sensitive G proteins, that inhibit adenylate cyclase activity, control the MTNR1B receptor. MTNR1B is expressed in the retina, and to a lesser extent the brain and hippocampus. MTNR1B is thought to regulate reproduction, the circadian cycle, and neurological melatonin levels; as well as participate in light dependent function in the retina. Post translational modifications that may affect MTNR1B are disulfide bonds and glycosylation.

Alternate Names

FGQTL2, Mel 1b melatonin receptor, Mel1b receptor, MEL-1B-R, melatonin receptor 1B, melatonin receptor MEL1B, melatonin receptor type 1B, MT2

Entrez Gene IDs

4544 (Human); 244701 (Mouse)

Gene Symbol

MTNR1B

Additional Melatonin Receptor 1B Products

Product Documents for Melatonin Receptor 1B Antibody - BSA Free

Certificate of Analysis

To download a Certificate of Analysis, please enter a lot number in the search box below.

Product Specific Notices for Melatonin Receptor 1B Antibody - BSA Free

This product is for research use only and is not approved for use in humans or in clinical diagnosis. Primary Antibodies are guaranteed for 1 year from date of receipt.

Loading...
Loading...
Loading...
Loading...
Loading...