Skip to main content

Melanocortin-4 R Antibody - BSA Free

Novus Biologicals, part of Bio-Techne | Catalog # NBP2-41103

Novus Biologicals, part of Bio-Techne

Key Product Details

Species Reactivity

Human, Mouse, Rat

Applications

Immunohistochemistry, Immunohistochemistry-Paraffin, Western Blot, ELISA, Immunocytochemistry/ Immunofluorescence

Label

Unconjugated

Antibody Source

Polyclonal Rabbit IgG

Format

BSA Free

Concentration

1 mg/ml

Product Specifications

Immunogen

Antibody was raised against a 19 amino acid synthetic peptide near the amino terminus of human MC4R. The immunogen is located within the first 50 amino acids of MC4R. Amino Acid Squence: SYRLHSNASESLGKGYSDG

Clonality

Polyclonal

Host

Rabbit

Isotype

IgG

Description

Novus Biologicals Rabbit Melanocortin-4 R Antibody - BSA Free (NBP2-41103) is a polyclonal antibody validated for use in IHC, WB, ELISA and ICC/IF. All Novus Biologicals antibodies are covered by our 100% guarantee.

Scientific Data Images for Melanocortin-4 R Antibody - BSA Free

Western Blot: Melanocortin-4 R AntibodyBSA Free [NBP2-41103]

Western Blot: Melanocortin-4 R AntibodyBSA Free [NBP2-41103]

Western Blot: Melanocortin-4 R Antibody [NBP2-41103] - Western blot analysis of MC4R in rat brain tissue lysate with MC4R antibody at 1 ug/mL in (A) the absence and (B) the presence of blocking peptide.
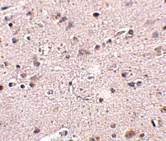
Immunohistochemistry-Paraffin: Melanocortin-4 R Antibody - BSA Free [NBP2-41103]

Immunohistochemistry-Paraffin: Melanocortin-4 R Antibody - BSA Free [NBP2-41103]

Immunohistochemistry-Paraffin: Melanocortin-4 R Antibody [NBP2-41103] - human brain tissue with MC4R antibody at 2.5 ug/mL.

Immunocytochemistry/Immunofluorescence: Melanocortin-4 R Antibody [NBP2-41103] -

Immunocytochemistry/Immunofluorescence: Melanocortin-4 R Antibody [NBP2-41103] - Human Brain cells with MC4R antibody at 20 ug/mL.

Applications for Melanocortin-4 R Antibody - BSA Free

Application
Recommended Usage

Immunocytochemistry/ Immunofluorescence

20 ug/mL

Immunohistochemistry

2.5 ug/ml

Immunohistochemistry-Paraffin

2.5 ug/ml

Western Blot

1 ug/ml

Formulation, Preparation, and Storage

Purification

Peptide affinity purified

Formulation

PBS

Format

BSA Free

Preservative

0.02% Sodium Azide

Concentration

1 mg/ml

Shipping

The product is shipped with polar packs. Upon receipt, store it immediately at the temperature recommended below.

Stability & Storage

Store at 4C short term. Aliquot and store at -20C long term. Avoid freeze-thaw cycles.

Background: Melanocortin-4 R

Melanocortin 4 receptor (MC4R), a Melanocortin Receptor, has been shown to affect food intake and energy balance. Recently MC4R has been shown to modulate erectile function and sexual behavior (Van Der Ploeg et al. 2002).

Long Name

Melanocortin 4 Receptor

Alternate Names

Fatboy, Glu3, MC4R, Melanocortin-4R, Melanocortin4R

Gene Symbol

MC4R

Additional Melanocortin-4 R Products

Product Documents for Melanocortin-4 R Antibody - BSA Free

Certificate of Analysis

To download a Certificate of Analysis, please enter a lot number in the search box below.

Product Specific Notices for Melanocortin-4 R Antibody - BSA Free

This product is for research use only and is not approved for use in humans or in clinical diagnosis. Primary Antibodies are guaranteed for 1 year from date of receipt.

Loading...
Loading...
Loading...
Loading...