Skip to main content

MEKK2 Antibody (SR3035) - BSA Free

Novus Biologicals, part of Bio-Techne | Catalog # NBP3-27740

Recombinant Monoclonal Antibody
Novus Biologicals, part of Bio-Techne
Catalog #
Availability
Size / Price
Qty
Loading...
NBP3-27740-100ul
NBP3-27740-50ul

Key Product Details

Species Reactivity

Human, Mouse, Rat

Applications

Immunohistochemistry, Western Blot, Flow Cytometry, Immunocytochemistry/ Immunofluorescence, Immunoprecipitation

Label

Unconjugated

Antibody Source

Recombinant Monoclonal Rabbit IgG Clone # SR3035 expressed in HEK293

Format

BSA Free

Concentration

Please see the vial label for concentration. If unlisted please contact technical services.

Product Specifications

Immunogen

A synthesized peptide derived from human MEKK2 (Uniprot #: Q9Y2U5)

Specificity

Detects endogenous levels of MEKK2

Clonality

Monoclonal

Host

Rabbit

Isotype

IgG

Theoretical MW

70 kDa.
Disclaimer note: The observed molecular weight of the protein may vary from the listed predicted molecular weight due to post translational modifications, post translation cleavages, relative charges, and other experimental factors.

Description

Novus Biologicals Rabbit MEKK2 Antibody (SR3035) - BSA Free (NBP3-27740) is a recombinant monoclonal antibody validated for use in IHC, WB, Flow, ICC/IF and IP. All Novus Biologicals antibodies are covered by our 100% guarantee.

Scientific Data Images for MEKK2 Antibody (SR3035) - BSA Free

Western Blot: MEKK2 Antibody (SR3035) [NBP3-27740] -

Western Blot: MEKK2 Antibody (SR3035) [NBP3-27740] - Western blot analysis of MEKK2 expression in HeLa cell lysate.

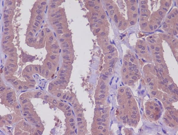
Immunohistochemistry-Paraffin: MEKK2 Antibody (SR3035) [NBP3-27740] -

Immunohistochemistry-Paraffin: MEKK2 Antibody (SR3035) [NBP3-27740] - Immunohistochemical analysis of paraffin-embedded human thyroid cancer

Applications for MEKK2 Antibody (SR3035) - BSA Free

Application
Recommended Usage

Flow Cytometry

1:50

Immunocytochemistry/ Immunofluorescence

1:50-1:200

Immunohistochemistry

1:50-1:200

Immunoprecipitation

1:30

Western Blot

1:5000-1:20000

Formulation, Preparation, and Storage

Purification

Affinity purified

Formulation

PBS (pH 7.4), 150mM NaCl, 50% glycerol

Format

BSA Free

Preservative

0.02% Sodium Azide

Concentration

Please see the vial label for concentration. If unlisted please contact technical services.

Shipping

The product is shipped with polar packs. Upon receipt, store it immediately at the temperature recommended below.

Stability & Storage

Store at 4C short term. Aliquot and store at -20C long term. Avoid freeze-thaw cycles.

Background: MEKK2

MEKK2 is a Ser/Thr protein kinase belonging to the MEKK/STE11 subgroup of the MAP/ERK kinase kinase family (1). Closely related to MEKK3, MEKK2 is expressed in a multitude of tissues. MEKK2 directly phosphorylates and activates Ikappa B kinases and has been found to bind and activate protein kinase C-related kinase 2 (2). MEKK2 has also been known to activate JNK1/2, ERK1/2, p38, and ERK5 MAPK in vitro (3). MEKK2 interacting protein (Mip1) regulates MEKK2 expression (4).

Long Name

Mitogen-activated Protein Kinase Kinase Kinase 2

Alternate Names

MAP3K2, MAPKKK2

Gene Symbol

MAP3K2

Additional MEKK2 Products

Product Documents for MEKK2 Antibody (SR3035) - BSA Free

Certificate of Analysis

To download a Certificate of Analysis, please enter a lot number in the search box below.

Product Specific Notices for MEKK2 Antibody (SR3035) - BSA Free

This product is for research use only and is not approved for use in humans or in clinical diagnosis. Primary Antibodies are guaranteed for 1 year from date of receipt.

Loading...
Loading...
Loading...
Loading...
Loading...