Skip to main content

MEKK2 Antibody (9L5O3)

Novus Biologicals, part of Bio-Techne | Catalog # NBP3-15886

Recombinant Monoclonal Antibody
Novus Biologicals, part of Bio-Techne
Catalog #
Availability
Size / Price
Qty
Loading...
NBP3-15886-100ul
NBP3-15886-20ul

Key Product Details

Species Reactivity

Human, Mouse, Rat

Applications

Immunohistochemistry, Immunohistochemistry-Paraffin, Western Blot

Label

Unconjugated

Antibody Source

Recombinant Monoclonal Rabbit IgG Clone # 9L5O3 expressed in HEK293

Concentration

Please see the vial label for concentration. If unlisted please contact technical services.

Product Specifications

Immunogen

A synthetic peptide corresponding to a sequence within amino acids 1-100 of human MEKK2 (Q9Y2U5). MDDQQALNSIMQDLAVLHKASRPALSLQETRKAKSSSPKKQNDVRVKFEHRGEKRILQFPRPVKLEDLRSKAKIAFGQSMDLHYTNNELVIPLTTQDDLD

Clonality

Monoclonal

Host

Rabbit

Isotype

IgG

Description

Novus Biologicals Rabbit MEKK2 Antibody (9L5O3) (NBP3-15886) is a recombinant monoclonal antibody validated for use in IHC and WB. All Novus Biologicals antibodies are covered by our 100% guarantee.

Scientific Data Images for MEKK2 Antibody (9L5O3)

Western Blot: MEKK2 Antibody (9L5O3) [NBP3-15886]

Western Blot: MEKK2 Antibody (9L5O3) [NBP3-15886]

Western Blot: MEKK2 Antibody (9L5O3) [NBP3-15886] - Western blot analysis of extracts of various cell lines, using MEKK2 Rabbit mAb (NBP3-15886) at 1:1000 dilution. Secondary antibody: HRP Goat Anti-Rabbit IgG (H+L) at 1:10000 dilution. Lysates/proteins: 25ug per lane. Blocking buffer: 3% nonfat dry milk in TBST. Detection: ECL Enhanced Kit. Exposure time: 180s.
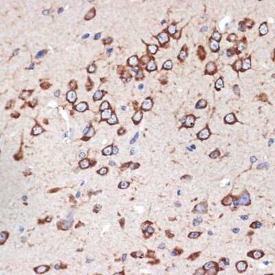
Immunohistochemistry-Paraffin: MEKK2 Antibody (9L5O3) [NBP3-15886]

Immunohistochemistry-Paraffin: MEKK2 Antibody (9L5O3) [NBP3-15886]

Immunohistochemistry-Paraffin: MEKK2 Antibody (9L5O3) [NBP3-15886] - Immunohistochemistry of paraffin-embedded mouse brain using MEKK2 Rabbit mAb (NBP3-15886) at dilution of 1:100 (40x lens).Perform microwave antigen retrieval with 10 mM Tris/EDTA buffer pH 9.0 before commencing with IHC staining protocol.
Immunohistochemistry-Paraffin: MEKK2 Antibody (9L5O3) [NBP3-15886]

Immunohistochemistry-Paraffin: MEKK2 Antibody (9L5O3) [NBP3-15886]

Immunohistochemistry-Paraffin: MEKK2 Antibody (9L5O3) [NBP3-15886] - Immunohistochemistry of paraffin-embedded rat kidney using MEKK2 Rabbit mAb (NBP3-15886) at dilution of 1:100 (40x lens).Perform microwave antigen retrieval with 10 mM Tris/EDTA buffer pH 9.0 before commencing with IHC staining protocol.

Applications for MEKK2 Antibody (9L5O3)

Application
Recommended Usage

Immunohistochemistry

1:50 - 1:200

Western Blot

1:500 - 1:2000

Formulation, Preparation, and Storage

Purification

Affinity purified

Formulation

PBS (pH 7.3), 50% glycerol, 0.05% BSA

Preservative

0.02% Sodium Azide

Concentration

Please see the vial label for concentration. If unlisted please contact technical services.

Shipping

The product is shipped with polar packs. Upon receipt, store it immediately at the temperature recommended below.

Stability & Storage

Store at -20C. Avoid freeze-thaw cycles.

Background: MEKK2

MEKK2 is a Ser/Thr protein kinase belonging to the MEKK/STE11 subgroup of the MAP/ERK kinase kinase family (1). Closely related to MEKK3, MEKK2 is expressed in a multitude of tissues. MEKK2 directly phosphorylates and activates Ikappa B kinases and has been found to bind and activate protein kinase C-related kinase 2 (2). MEKK2 has also been known to activate JNK1/2, ERK1/2, p38, and ERK5 MAPK in vitro (3). MEKK2 interacting protein (Mip1) regulates MEKK2 expression (4).

Long Name

Mitogen-activated Protein Kinase Kinase Kinase 2

Alternate Names

MAP3K2, MAPKKK2

Gene Symbol

MAP3K2

Additional MEKK2 Products

Product Documents for MEKK2 Antibody (9L5O3)

Certificate of Analysis

To download a Certificate of Analysis, please enter a lot number in the search box below.

Product Specific Notices for MEKK2 Antibody (9L5O3)

This product is for research use only and is not approved for use in humans or in clinical diagnosis. Primary Antibodies are guaranteed for 1 year from date of receipt.

Loading...
Loading...
Loading...
Loading...