Skip to main content

MDR1/ABCB1 Antibody (OTI1A7)

Novus Biologicals, part of Bio-Techne | Catalog # NBP2-46466

Novus Biologicals, part of Bio-Techne
Catalog #
Availability
Size / Price
Qty
Loading...
NBP2-46466

Key Product Details

Species Reactivity

Validated:

Human, Mouse, Rat, Goat

Cited:

Human

Applications

Validated:

Immunohistochemistry, Immunohistochemistry-Paraffin, Immunocytochemistry/ Immunofluorescence

Cited:

Immunocytochemistry

Label

Unconjugated

Antibody Source

Monoclonal Mouse IgG2A Clone # OTI1A7

Concentration

1 mg/ml

Product Specifications

Immunogen

Human recombinant protein fragment corresponding to amino acids 995-1280 of human ABCB1 (NP_000918) produced in SF9 cell.

Reactivity Notes

Goat reactivity reported in scientific literature (Agarwal T et al). Please note that this antibody is reactive to Mouse and derived from the same host, Mouse. Mouse-On-Mouse blocking reagent may be needed for IHC and ICC experiments to reduce high background signal. You can find these reagents under catalog numbers PK-2200-NB and MP-2400-NB. Please contact Technical Support if you have any questions.

Clonality

Monoclonal

Host

Mouse

Isotype

IgG2A

Description

Novus Biologicals Mouse MDR1/ABCB1 Antibody (OTI1A7) (NBP2-46466) is a monoclonal antibody validated for use in IHC and ICC/IF. Anti-MDR1/ABCB1 Antibody: Cited in 2 publications. All Novus Biologicals antibodies are covered by our 100% guarantee.

Scientific Data Images for MDR1/ABCB1 Antibody (OTI1A7)

Immunohistochemistry: MDR1/ABCB1 Antibody (OTI1A7) [NBP2-46466]

Immunohistochemistry: MDR1/ABCB1 Antibody (OTI1A7) [NBP2-46466]

Immunohistochemistry: MDR1/ABCB1 Antibody (1A7) [NBP2-46466] - Analysis of Adenocarcinoma of Human endometrium tissue. (Heat-induced epitope retrieval by 1 mM EDTA in 10mM Tris, pH8.5, 120C for 3min)
Immunohistochemistry: MDR1/ABCB1 Antibody (OTI1A7) [NBP2-46466]

Immunohistochemistry: MDR1/ABCB1 Antibody (OTI1A7) [NBP2-46466]

Immunohistochemistry: MDR1/ABCB1 Antibody (1A7) [NBP2-46466] - Analysis of Adenocarcinoma of Human breast tissue. (Heat-induced epitope retrieval by 1 mM EDTA in 10mM Tris, pH8.5, 120C for 3min)
Immunohistochemistry: MDR1/ABCB1 Antibody (OTI1A7) [NBP2-46466]

Immunohistochemistry: MDR1/ABCB1 Antibody (OTI1A7) [NBP2-46466]

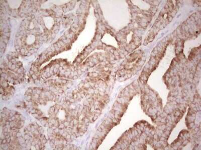
Immunohistochemistry: MDR1/ABCB1 Antibody (1A7) [NBP2-46466] - Analysis of Human colon tissue. (Heat-induced epitope retrieval by 1 mM EDTA in 10mM Tris, pH8.5, 120C for 3min)

Applications for MDR1/ABCB1 Antibody (OTI1A7)

Application
Recommended Usage

Immunocytochemistry/ Immunofluorescence

Reported in scientific literature (PMID: 30179804)

Immunohistochemistry

1:150

Immunohistochemistry-Paraffin

1:150

Formulation, Preparation, and Storage

Purification

Immunogen affinity purified

Formulation

PBS (pH 7.3), 1.0% BSA and 50% Glycerol

Preservative

0.02% Sodium Azide

Concentration

1 mg/ml

Shipping

The product is shipped with polar packs. Upon receipt, store it immediately at the temperature recommended below.

Stability & Storage

Store at -20C. Avoid freeze-thaw cycles.

Background: MDR1/ABCB1

MDR1 is a member of the superfamily of ATP-binding cassette (ABC) transporters. ABC proteins transport various molecules across extra- and intra-cellular membranes. ABC genes are divided into seven distinct subfamilies (ABC1, MDR/TAP, MRP, ALD, OABP, GCN20, White). MDR1 is a member of the MDR/TAP subfamily. Members of the MDR/TAP subfamily are involved in multidrug resistance. The protein encoded by this gene is an ATP-dependent drug efflux pump for xenobiotic compounds with broad substrate specificity. It is responsible for decreased drug accumulation in multidrug-resistant cells and often mediates the development of resistance to anticancer drugs. This protein also functions as a transporter in the blood-brain barrier. (provided by RefSeq)

Long Name

ATP-binding Cassette, Sub-family B (MDR/TAP), Member 1B

Alternate Names

ABC20, ABCB1, ABCB1B, CD243, CLCS, GP170, IBD13, PGY1

Gene Symbol

ABCB1

Additional MDR1/ABCB1 Products

Product Documents for MDR1/ABCB1 Antibody (OTI1A7)

Certificate of Analysis

To download a Certificate of Analysis, please enter a lot number in the search box below.

Product Specific Notices for MDR1/ABCB1 Antibody (OTI1A7)

This product is for research use only and is not approved for use in humans or in clinical diagnosis. Primary Antibodies are guaranteed for 1 year from date of receipt.

Loading...
Loading...
Loading...
Loading...