MDC1 Antibody - BSA Free
Novus Biologicals, part of Bio-Techne | Catalog # NB100-397
Conjugate
Catalog #
Key Product Details
Validated by
Independent Antibodies
Species Reactivity
Validated:
Human
Cited:
Human
Predicted:
Primate (100%). Backed by our 100% Guarantee.
Applications
Validated:
Immunohistochemistry, Immunohistochemistry-Paraffin, Western Blot, Immunocytochemistry/ Immunofluorescence, Immunoprecipitation
Cited:
Immunocytochemistry/ Immunofluorescence
Label
Unconjugated
Antibody Source
Polyclonal Rabbit IgG
Format
BSA Free
Concentration
1.0 mg/ml
Product Specifications
Immunogen
The immunogen this antibody was made to, maps to a region between residues 1375 and 1425 of human Mediator of DNA Damage Checkpoint 1 using the numbering given in entry NP_055456.1 (GeneID 9656).
Reactivity Notes
Based on 100% sequence identity, this antibody is predicted to react with Chimpanzee.
Clonality
Polyclonal
Host
Rabbit
Isotype
IgG
Description
Novus Biologicals Rabbit MDC1 Antibody - BSA Free (NB100-397) is a polyclonal antibody validated for use in IHC, WB, ICC/IF and IP. Anti-MDC1 Antibody: Cited in 3 publications. All Novus Biologicals antibodies are covered by our 100% guarantee.
Scientific Data Images for MDC1 Antibody - BSA Free
Western Blot: MDC1 Antibody [NB100-397]
Western Blot: MDC1 Antibody [NB100-397] - Detection of Human MDC1 by Western Blot and Immunoprecipitation. Samples: Whole cell lysate (5, 15 and 50 ug for WB; 1 mg for IP, 20% of IP loaded) from HeLa cells. Antibodies: Affinity purified rabbit anti-MDC1 antibody NB100-397 (Lot 2) used for WB at 0.1 ug/ml (A) and 1 ug/ml (B) and used for IP at 3 ug/mg lysate. MDC1 was also immunoprecipitated by Lot 1 of rabbit anti-MDC1 antibody NB100-397. Detection: Chemiluminescence with exposure times of 10 seconds (A) and 3 seconds (B).Immunohistochemistry-Paraffin: MDC1 Antibody [NB100-397]
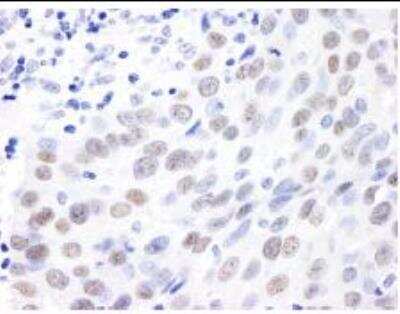
Immunohistochemistry-Paraffin: MDC1 Antibody [NB100-397] - FFPE section of human breast carcinoma. Antibody: Affinity purified rabbit anti-MDC1Applications for MDC1 Antibody - BSA Free
Application
Recommended Usage
Immunohistochemistry
1:500-1:2000
Immunohistochemistry-Paraffin
1:500 - 1:2000
Immunoprecipitation
2-5 ug/mg lysate
Western Blot
1:5000-1:25000
Application Notes
Epitope retrieval with citrate buffer pH 6.0 is recommended for FFPE tissue sections. ICC/IF reactivity reported in (PMID: 22373579).
Formulation, Preparation, and Storage
Purification
Immunogen affinity purified
Formulation
Tris-Citrate/Phosphate (pH 7.0 - 8.0)
Format
BSA Free
Preservative
0.09% Sodium Azide
Concentration
1.0 mg/ml
Shipping
The product is shipped with polar packs. Upon receipt, store it immediately at the temperature recommended below.
Stability & Storage
Store at 4C. Do not freeze.
Background: MDC1
Long Name
Mediator of DNA-damage checkpoint 1
Alternate Names
NFBD1
Entrez Gene IDs
9656 (Human)
Gene Symbol
MDC1
UniProt
Additional MDC1 Products
Product Documents for MDC1 Antibody - BSA Free
Product Specific Notices for MDC1 Antibody - BSA Free
This product is for research use only and is not approved for use in humans or in clinical diagnosis. Primary Antibodies are guaranteed for 1 year from date of receipt.
Loading...
Loading...
Loading...
Loading...