Skip to main content

MCTS1 Antibody (OTI2F9) - Azide and BSA Free

Novus Biologicals, part of Bio-Techne | Catalog # NBP2-72603

Novus Biologicals, part of Bio-Techne

Key Product Details

Species Reactivity

Human, Mouse, Rat

Applications

Immunohistochemistry, Immunohistochemistry-Paraffin, Western Blot

Label

Unconjugated

Antibody Source

Monoclonal Mouse IgG2A Clone # OTI2F9

Format

Azide and BSA Free

Concentration

LYOPH mg/ml

Product Specifications

Immunogen

Human recombinant protein fragment corresponding to amino acids 1-181 of human MCTS1 (NP_054779) produced in E.coli.

Reactivity Notes

Please note that this antibody is reactive to Mouse and derived from the same host, Mouse. Mouse-On-Mouse blocking reagent may be needed for IHC and ICC experiments to reduce high background signal. You can find these reagents under catalog numbers PK-2200-NB and MP-2400-NB. Please contact Technical Support if you have any questions.

Clonality

Monoclonal

Host

Mouse

Isotype

IgG2A

Theoretical MW

20.4 kDa.
Disclaimer note: The observed molecular weight of the protein may vary from the listed predicted molecular weight due to post translational modifications, post translation cleavages, relative charges, and other experimental factors.

Description

Novus Biologicals Mouse MCTS1 Antibody (OTI2F9) - Azide and BSA Free (NBP2-03626) is a monoclonal antibody validated for use in IHC and WB. All Novus Biologicals antibodies are covered by our 100% guarantee.

Scientific Data Images for MCTS1 Antibody (OTI2F9) - Azide and BSA Free

Western Blot: MCTS1 Antibody (OTI2F9)Azide and BSA Free [NBP2-72603]

Western Blot: MCTS1 Antibody (OTI2F9)Azide and BSA Free [NBP2-72603]

Western Blot: MCTS1 Antibody (OTI2F9) - Azide and BSA Free [NBP2-72603] - HEK293T cells were transfected with the pCMV6-ENTRY control (Left lane) or pCMV6-ENTRY MCT1 (Right lane) cDNA for 48 hrs and lysed. Equivalent amounts of cell lysates (5 ug per lane) were separated by SDS-PAGE and immunoblotted with anti-MCT1.
Immunohistochemistry: MCTS1 Antibody (OTI2F9) - Azide and BSA Free [NBP2-72603]

Immunohistochemistry: MCTS1 Antibody (OTI2F9) - Azide and BSA Free [NBP2-72603]

Immunohistochemistry: MCTS1 Antibody (OTI2F9) - Azide and BSA Free [NBP2-72603] - Staining of paraffin-embedded Human pancreas tissue using anti-MCT1 mouse monoclonal antibody.
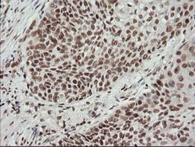
Immunohistochemistry: MCTS1 Antibody (OTI2F9) - Azide and BSA Free [NBP2-72603]

Immunohistochemistry: MCTS1 Antibody (OTI2F9) - Azide and BSA Free [NBP2-72603]

Immunohistochemistry: MCTS1 Antibody (OTI2F9) - Azide and BSA Free [NBP2-72603] - Staining of paraffin-embedded Adenocarcinoma of Human endometrium tissue using anti-MCT1 mouse monoclonal antibody.

Applications for MCTS1 Antibody (OTI2F9) - Azide and BSA Free

Application
Recommended Usage

Immunohistochemistry

1:150

Western Blot

1:2000

Formulation, Preparation, and Storage

Purification

Immunogen affinity purified

Reconstitution

we recommend adding 100uL distilled water to a final antibody concentration of about 1 mg/mL. To use this carrier-free antibody for conjugation experiment, we strongly recommend performing another round of desalting process.

Formulation

Lyophilized from PBS (pH 7.3) with 8% Trehalose

Format

Azide and BSA Free

Preservative

No Preservative

Concentration

LYOPH mg/ml

Shipping

The product is shipped with polar packs. Upon receipt, store it immediately at the temperature recommended below.

Stability & Storage

Store at -20C. Avoid freeze-thaw cycles.

Background: MCTS1

MCT1 is a novel gene that was identified from T-cell leukemia/lymphoma cell lines with limited homology to a region of Cyclin H. MCT1 is novel candidate oncogene that results in a shortened G1 phase and increased rate of proliferation.

Alternate Names

malignant T cell amplified sequence 1, Malignant T-Cell-Amplified Sequence 1, MCT-1, Multiple Copies T-Cell Malignancies

Gene Symbol

MCTS1

Additional MCTS1 Products

Product Documents for MCTS1 Antibody (OTI2F9) - Azide and BSA Free

Certificate of Analysis

To download a Certificate of Analysis, please enter a lot number in the search box below.

Product Specific Notices for MCTS1 Antibody (OTI2F9) - Azide and BSA Free

This product is for research use only and is not approved for use in humans or in clinical diagnosis. Primary Antibodies are guaranteed for 1 year from date of receipt.

Loading...
Loading...
Loading...
Loading...
Loading...
Loading...