Skip to main content

MCMBP Antibody - BSA Free

Novus Biologicals, part of Bio-Techne | Catalog # NBP1-90746

Novus Biologicals, part of Bio-Techne
Catalog #
Availability
Size / Price
Qty
Loading...
NBP1-90746-25ul
NBP1-90746

Key Product Details

Species Reactivity

Validated:

Human, Mouse, Rat

Cited:

Insect - Drosophila melanogaster

Applications

Validated:

Immunohistochemistry, Immunohistochemistry-Paraffin, Western Blot, Immunocytochemistry/ Immunofluorescence

Cited:

Immunocytochemistry/ Immunofluorescence

Label

Unconjugated

Antibody Source

Polyclonal Rabbit IgG

Format

BSA Free

Concentration

Concentrations vary lot to lot. See vial label for concentration. If unlisted please contact technical services.

Product Specifications

Immunogen

This antibody was developed against Recombinant Protein corresponding to amino acids: SPRNTTLERQTFYCVPVPGESTWVKEAYVNANQARVSPSTSYTPSRHKRSYEDDDDMDLQPNKQKDQHAGARQAGSVGGLQWCGEPKRLETEASTGQ

Clonality

Polyclonal

Host

Rabbit

Isotype

IgG

Description

Novus Biologicals Rabbit MCMBP Antibody - BSA Free (NBP1-90746) is a polyclonal antibody validated for use in IHC, WB and ICC/IF. Anti-MCMBP Antibody: Cited in 1 publication. All Novus Biologicals antibodies are covered by our 100% guarantee.

Scientific Data Images for MCMBP Antibody - BSA Free

Western Blot: MCMBP Antibody [NBP1-90746]

Western Blot: MCMBP Antibody [NBP1-90746]

Western Blot: MCMBP Antibody [NBP1-90746] - Lane 1: NIH-3T3 cell lysate (Mouse embryonic fibroblast cells). Lane 2: NBT-II cell lysate (Rat Wistar bladder tumor cells).
Immunocytochemistry/ Immunofluorescence: MCMBP Antibody [NBP1-90746]

Immunocytochemistry/ Immunofluorescence: MCMBP Antibody [NBP1-90746]

Immunocytochemistry/Immunofluorescence: MCMBP Antibody [NBP1-90746] - Staining of human cell line A-431 shows localization to nucleoplasm, plasma membrane & cytosol. Antibody staining is shown in green.
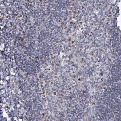
Immunohistochemistry-Paraffin: MCMBP Antibody [NBP1-90746]

Immunohistochemistry-Paraffin: MCMBP Antibody [NBP1-90746]

Immunohistochemistry-Paraffin: MCMBP Antibody [NBP1-90746] - Staining of human tonsil shows moderate nuclear positivity in germinal center cells.

Applications for MCMBP Antibody - BSA Free

Application
Recommended Usage

Immunocytochemistry/ Immunofluorescence

0.25-2 ug/ml

Immunohistochemistry

1:50 - 1:200

Immunohistochemistry-Paraffin

1:50 - 1:200

Western Blot

0.04-0.4 ug/ml
Application Notes
For IHC-Paraffin, HIER pH 6 retrieval is recommended. ICC/IF, Fixation Permeabilization: Use PFA/Triton X-100.

Formulation, Preparation, and Storage

Purification

Affinity purified

Formulation

PBS (pH 7.2) and 40% Glycerol

Format

BSA Free

Preservative

0.02% Sodium Azide

Concentration

Concentrations vary lot to lot. See vial label for concentration. If unlisted please contact technical services.

Shipping

The product is shipped with polar packs. Upon receipt, store it immediately at the temperature recommended below.

Stability & Storage

Store at 4C short term. Aliquot and store at -20C long term. Avoid freeze-thaw cycles.

Background: MCMBP

Alternate Names

C10orf119, FLJ13081, MCM-binding protein, MCM-BP, minichromosome maintenance complex binding protein, mini-chromosome maintenance complex-binding protein, minichromosome maintenance complex-binding protein

Gene Symbol

MCMBP

Additional MCMBP Products

Product Documents for MCMBP Antibody - BSA Free

Certificate of Analysis

To download a Certificate of Analysis, please enter a lot number in the search box below.

Product Specific Notices for MCMBP Antibody - BSA Free

This product is for research use only and is not approved for use in humans or in clinical diagnosis. Primary Antibodies are guaranteed for 1 year from date of receipt.

Loading...
Loading...
Loading...
Loading...