Skip to main content

MCM6 Antibody - BSA Free

Novus Biologicals, part of Bio-Techne | Catalog # NB100-251

Novus Biologicals, part of Bio-Techne

Key Product Details

Validated by

Biological Validation

Species Reactivity

Human

Applications

Immunohistochemistry, Western Blot

Label

Unconjugated

Antibody Source

Polyclonal Goat IgG

Format

BSA Free

Concentration

1.0 mg/ml

Product Specifications

Immunogen

The immunogen recognized by this antibody maps to a region between residue 775 and the C-terminus (residue 821) of human Minichromosome Maintenance 6 using the numbering given in entry NP_005906.2 (GeneID 4175).

Clonality

Polyclonal

Host

Goat

Isotype

IgG

Description

Novus Biologicals Goat MCM6 Antibody - BSA Free (NB100-251) is a polyclonal antibody validated for use in IHC and WB. All Novus Biologicals antibodies are covered by our 100% guarantee.

Scientific Data Images for MCM6 Antibody - BSA Free

Western Blot: MCM6 Antibody [NB100-251]

Western Blot: MCM6 Antibody [NB100-251]

Western Blot: MCM6 Antibody [NB100-251] - Samples: Whole cell lysate (50 ug) from HeLa and 293T cells prepared using NETN lysis buffer. Antibody: Affinity purified goat anti-MCM6 antibody used for WB at 0.1 ug/ml. Detection: Chemiluminescence with an exposure time of 3 minutes.
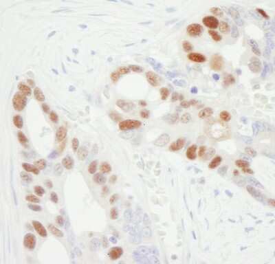
Immunohistochemistry: MCM6 Antibody [NB100-251]

Immunohistochemistry: MCM6 Antibody [NB100-251]

Immunohistochemistry: MCM6 Antibody [NB100-251] - Sample: FFPE section of human ovarian carcinoma. Antibody: Affinity purified goat anti-MCM6 used at a dilution of 1:1,000 (1ug/ml). Detection: DAB
Western Blot: MCM6 Antibody [NB100-251]

Western Blot: MCM6 Antibody [NB100-251]

Western Blot: MCM6 Antibody [NB100-251] - Whole cell lysate (60 ug) from HeLa cells. Antibody used at 0.25 ug/ml.

Applications for MCM6 Antibody - BSA Free

Application
Recommended Usage

Western Blot

1:2000-1:10000
Application Notes
By Western blot, this antibody recognizes bands around 115 kDa representing MCM6.

Formulation, Preparation, and Storage

Purification

Immunogen affinity purified

Formulation

Tris-Citrate/Phosphate (pH 7.0 - 8.0)

Format

BSA Free

Preservative

0.09% Sodium Azide

Concentration

1.0 mg/ml

Shipping

The product is shipped with polar packs. Upon receipt, store it immediately at the temperature recommended below.

Stability & Storage

Store at 4C. Do not freeze.

Background: MCM6

MCM6 may be involved in the control of a single round of DNA replication during S phase. It binds to chromatin during G1 and detaches from it during S phase as if it licenses the chromatin to replicate.

Alternate Names

DNA replication licensing factor MCM6, EC 3.6.4.12, MCG40308, MCM6 minichromosome maintenance deficient 6 (MIS5 homolog, S. pombe), MCM6 minichromosome maintenance deficient 6 (MIS5 homolog, S. pombe) (S.cerevisiae), minichromosome maintenance complex component 6, minichromosome maintenance deficient (mis5, S. pombe) 6, minichromosome maintenance deficient 6 homolog, minichromosome maintenance deficient 6 homolog (S. cerevisiae), Mis5, MIS5 homolog, p105MCM

Entrez Gene IDs

4175 (Human)

Gene Symbol

MCM6

Additional MCM6 Products

Product Documents for MCM6 Antibody - BSA Free

Certificate of Analysis

To download a Certificate of Analysis, please enter a lot number in the search box below.

Product Specific Notices for MCM6 Antibody - BSA Free

This product is for research use only and is not approved for use in humans or in clinical diagnosis. Primary Antibodies are guaranteed for 1 year from date of receipt.

Loading...
Loading...
Loading...
Loading...