Skip to main content

MCM6 Antibody (JE65-68)

Novus Biologicals, part of Bio-Techne | Catalog # NBP3-32579

Recombinant Monoclonal Antibody
Novus Biologicals, part of Bio-Techne
Catalog #
Availability
Size / Price
Qty
Loading...
NBP3-32579

Key Product Details

Species Reactivity

Human, Mouse, Rat

Applications

Immunocytochemistry/ Immunofluorescence, Immunohistochemistry, Immunohistochemistry-Paraffin, Western Blot

Label

Unconjugated

Antibody Source

Recombinant Monoclonal Rabbit IgG Clone # JE65-68 expressed in HEK293

Concentration

1 mg/ml

Product Specifications

Immunogen

Recombinant protein within human MCM6 aa 572-821/821. (Uniprot: Q14566)

Localization

Nucleus, Chromosome.

Clonality

Monoclonal

Host

Rabbit

Isotype

IgG

Theoretical MW

93 kDa.
Disclaimer note: The observed molecular weight of the protein may vary from the listed predicted molecular weight due to post translational modifications, post translation cleavages, relative charges, and other experimental factors.

Description

Novus Biologicals Rabbit MCM6 Antibody (JE65-68) (NBP3-32579) is a recombinant monoclonal antibody validated for use in IHC, WB and ICC/IF. All Novus Biologicals antibodies are covered by our 100% guarantee.

Scientific Data Images for MCM6 Antibody (JE65-68)

MCM6 Antibody (JE65-68)

Western Blot: MCM6 Antibody (JE65-68) [NBP3-32579]

Western Blot: MCM6 Antibody (JE65-68) [NBP3-32579] - Western blot analysis of MCM6 on different lysates with Rabbit anti-MCM6 antibody (NBP3-32579) at 1/500 dilution.

Lane 1: Hela cell lysate
Lane 2: Jurkat cell lysate
Lane 3: MCF-7 cell lysate
Lane 4: RAW264.7 cell lysate

Lysates/proteins at 10 ug/Lane.

Predicted band size: 93 kDa
Observed band size: 93 kDa

Exposure time: 2 minutes;

8% SDS-PAGE gel.

Proteins were transferred to a PVDF membrane and blocked with 5% NFDM/TBST for 1 hour at room temperature. The primary antibody (NBP3-32579) at 1/500 dilution was used in 5% NFDM/TBST at room temperature for 2 hours. Goat Anti-Rabbit IgG - HRP Secondary Antibody at 1:300,000 dilution was used for 1 hour at room temperature.
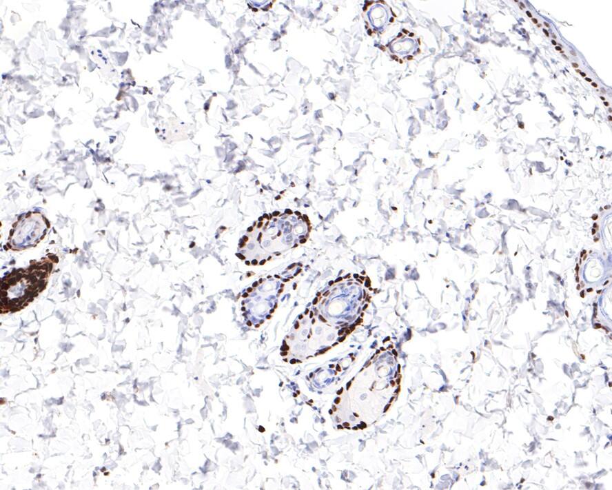
MCM6 Antibody (JE65-68)

Immunohistochemistry: MCM6 Antibody (JE65-68) [NBP3-32579]

Immunohistochemistry: MCM6 Antibody (JE65-68) [NBP3-32579] - Immunohistochemical analysis of paraffin-embedded rat skin tissue with Rabbit anti-MCM6 antibody (NBP3-32579) at 1/400 dilution.

The section was pre-treated using heat mediated antigen retrieval with sodium citrate buffer (pH 6.0) for 2 minutes. The tissues were blocked in 1% BSA for 20 minutes at room temperature, washed with ddH2O and PBS, and then probed with the primary antibody (NBP3-32579) at 1/400 dilution for 1 hour at room temperature. The detection was performed using an HRP conjugated compact polymer system. DAB was used as the chromogen. Tissues were counterstained with hematoxylin and mounted with DPX.
MCM6 Antibody (JE65-68)

Immunocytochemistry/ Immunofluorescence: MCM6 Antibody (JE65-68) [NBP3-32579]

Immunocytochemistry/ Immunofluorescence: MCM6 Antibody (JE65-68) [NBP3-32579] - Immunocytochemistry analysis of SiHa cells labeling MCM6 with Rabbit anti-MCM6 antibody (NBP3-32579) at 1/200 dilution.

Cells were fixed in 4% paraformaldehyde for 10 minutes at 37 ℃, permeabilized with 0.05% Triton X-100 in PBS for 20 minutes, and then blocked with 2% negative goat serum for 30 minutes at room temperature. Cells were then incubated with Rabbit anti-MCM6 antibody (NBP3-32579) at 1/200 dilution in 2% negative goat serum overnight at 4 ℃. Goat Anti-Rabbit IgG H&L (Alexa Fluor® 488) was used as the secondary antibody at 1/1,000 dilution. Nuclear DNA was labelled in blue with DAPI.

Beta tubulin (red) was stained at 1/200 dilution overnight at +4℃. Goat Anti-Mouse IgG H&L (Alexa Fluor® 647) were used as the secondary antibody at 1/1,000 dilution.

Applications for MCM6 Antibody (JE65-68)

Application
Recommended Usage

Immunocytochemistry/ Immunofluorescence

1:200

Immunohistochemistry-Paraffin

1:400

Western Blot

1:500

Formulation, Preparation, and Storage

Purification

Protein A purified

Formulation

1*TBS (pH7.4), 0.05% BSA and 40% Glycerol

Preservative

0.05% Sodium Azide

Concentration

1 mg/ml

Shipping

The product is shipped with polar packs. Upon receipt, store it immediately at the temperature recommended below.

Stability & Storage

Store at 4C short term. Aliquot and store at -20C long term. Avoid freeze-thaw cycles.

Background: MCM6

MCM6 is encoded by this gene is one of the highly conserved mini-chromosome maintenance proteins (MCM) that are essential for the initiation of eukaryotic genome replication. The hexameric protein complex formed by the MCM proteins is a key component of the pre-replication complex (pre_RC) and may be involved in the formation of replication forks and in the recruitment of other DNA replication related proteins. The MCM complex consisting of this protein and MCM2, 4 and 7 proteins possesses DNA helicase activity, and may act as a DNA unwinding enzyme. The phosphorylation of the complex by CDC2 kinase reduces the helicase activity, suggesting a role in the regulation of DNA replication.

Alternate Names

DNA replication licensing factor MCM6, EC 3.6.4.12, MCG40308, MCM6 minichromosome maintenance deficient 6 (MIS5 homolog, S. pombe), MCM6 minichromosome maintenance deficient 6 (MIS5 homolog, S. pombe) (S.cerevisiae), minichromosome maintenance complex component 6, minichromosome maintenance deficient (mis5, S. pombe) 6, minichromosome maintenance deficient 6 homolog, minichromosome maintenance deficient 6 homolog (S. cerevisiae), Mis5, MIS5 homolog, p105MCM

Gene Symbol

MCM6

Additional MCM6 Products

Product Documents for MCM6 Antibody (JE65-68)

Certificate of Analysis

To download a Certificate of Analysis, please enter a lot number in the search box below.

Product Specific Notices for MCM6 Antibody (JE65-68)

This product is for research use only and is not approved for use in humans or in clinical diagnosis. Primary Antibodies are guaranteed for 1 year from date of receipt.

Loading...
Loading...
Loading...
Loading...