MCM3 Antibody (9Z5W4)
Novus Biologicals, part of Bio-Techne | Catalog # NBP3-15386
Recombinant Monoclonal Antibody
Key Product Details
Species Reactivity
Human, Mouse, Rat
Applications
Immunohistochemistry, Immunohistochemistry-Paraffin, Western Blot, Immunocytochemistry/ Immunofluorescence, Immunoprecipitation
Label
Unconjugated
Antibody Source
Recombinant Monoclonal Rabbit IgG Clone # 9Z5W4 expressed in HEK293
Concentration
Please see the vial label for concentration. If unlisted please contact technical services.
Product Specifications
Immunogen
A synthetic peptide corresponding to a sequence within amino acids 1-100 of human MCM3 (P25205). MAGTVVLDDVELREAQRDYLDFLDDEEDQGIYQSKVRELISDNQYRLIVNVNDLRRKNEKRANRLLNNAFEELVAFQRALKDFVASIDATYAKQYEEFYV
Clonality
Monoclonal
Host
Rabbit
Isotype
IgG
Theoretical MW
91 kDa.
Disclaimer note: The observed molecular weight of the protein may vary from the listed predicted molecular weight due to post translational modifications, post translation cleavages, relative charges, and other experimental factors.
Disclaimer note: The observed molecular weight of the protein may vary from the listed predicted molecular weight due to post translational modifications, post translation cleavages, relative charges, and other experimental factors.
Description
Novus Biologicals Rabbit MCM3 Antibody (9Z5W4) (NBP3-15386) is a recombinant monoclonal antibody validated for use in IHC, WB, ICC/IF and IP. All Novus Biologicals antibodies are covered by our 100% guarantee.
Scientific Data Images for MCM3 Antibody (9Z5W4)
Western Blot: MCM3 Antibody (9Z5W4) [NBP3-15386]
Western Blot: MCM3 Antibody (9Z5W4) [NBP3-15386] - Western blot analysis of extracts of Mouse spleen, using MCM3 Rabbit mAb (NBP3-15386) at 1:1000 dilution. Secondary antibody: HRP Goat Anti-Rabbit IgG (H+L) at 1:10000 dilution. Lysates/proteins: 25ug per lane. Blocking buffer: 3% nonfat dry milk in TBST. Detection: ECL Enhanced Kit. Exposure time: 3min.Immunocytochemistry/ Immunofluorescence: MCM3 Antibody (9Z5W4) [NBP3-15386]
Immunocytochemistry/Immunofluorescence: MCM3 Antibody (9Z5W4) [NBP3-15386] - Immunofluorescence analysis of NIH-3T3 cells using MCM3 Rabbit mAb (NBP3-15386) at dilution of 1:100 (40x lens). Blue: DAPI for nuclear staining.Immunohistochemistry-Paraffin: MCM3 Antibody (9Z5W4) [NBP3-15386]
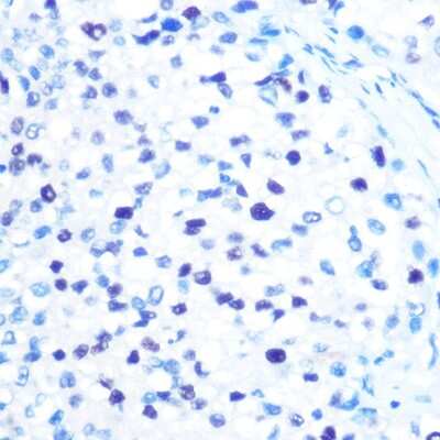
Immunohistochemistry-Paraffin: MCM3 Antibody (9Z5W4) [NBP3-15386] - Immunohistochemistry of paraffin-embedded human liver cancer using MCM3 Rabbit mAb (NBP3-15386) at dilution of 1:100 (40x lens).Perform microwave antigen retrieval with 10 mM PBS buffer pH 7.2 before commencing with IHC staining protocol.Applications for MCM3 Antibody (9Z5W4)
Application
Recommended Usage
Immunocytochemistry/ Immunofluorescence
1:50 - 1:200
Immunohistochemistry
1:50 - 1:200
Immunoprecipitation
.5ug-4ug antibody for 200ug-400ug extracts of whole cells
Western Blot
1:500 - 1:1000
Formulation, Preparation, and Storage
Purification
Affinity purified
Formulation
PBS (pH 7.3), 50% glycerol, 0.05% BSA
Preservative
0.02% Sodium Azide
Concentration
Please see the vial label for concentration. If unlisted please contact technical services.
Shipping
The product is shipped with polar packs. Upon receipt, store it immediately at the temperature recommended below.
Stability & Storage
Store at -20C. Avoid freeze-thaw cycles.
Background: MCM3
Alternate Names
cervical cancer proto-oncogene 5, DNA polymerase alpha holoenzyme-associated protein P1, DNA replication factor MCM3, DNA replication licensing factor MCM3, EC 3.6.4.12, HCC5, hRlf beta subunit, MCM3 minichromosome maintenance deficient 3, MCM3 minichromosome maintenance deficient 3 (S. cerevisiae), MGC1157, minichromosome maintenance complex component 3, minichromosome maintenance deficient (S. cerevisiae) 3, minichromosome maintenance deficient 3, P1.h, p102, P1-MCM3, replication licensing factor, beta subunit, RLF subunit beta, RLFB
Gene Symbol
MCM3
Additional MCM3 Products
Product Documents for MCM3 Antibody (9Z5W4)
Product Specific Notices for MCM3 Antibody (9Z5W4)
This product is for research use only and is not approved for use in humans or in clinical diagnosis. Primary Antibodies are guaranteed for 1 year from date of receipt.
Loading...
Loading...
Loading...
Loading...