Skip to main content

MCM2 Antibody - BSA Free

Novus Biologicals, part of Bio-Techne | Catalog # NB100-288

Novus Biologicals, part of Bio-Techne

Key Product Details

Validated by

Independent Antibodies

Species Reactivity

Validated:

Human, Mouse

Cited:

Human

Applications

Validated:

Immunohistochemistry, Immunohistochemistry-Paraffin, Western Blot, Immunoprecipitation

Cited:

Western Blot, IF/IHC

Label

Unconjugated

Antibody Source

Polyclonal Rabbit IgG

Format

BSA Free

Concentration

1.0 mg/ml

Product Specifications

Immunogen

A 37-amino acid synthetic peptide, which represented a portion of human Minichromosome Maintenance Deficient 2 encoded within exon 2 (LocusLink ID 4171).

Clonality

Polyclonal

Host

Rabbit

Isotype

IgG

Description

Novus Biologicals Rabbit MCM2 Antibody - BSA Free (NB100-288) is a polyclonal antibody validated for use in IHC, WB and IP. Anti-MCM2 Antibody: Cited in 9 publications. All Novus Biologicals antibodies are covered by our 100% guarantee.

Scientific Data Images for MCM2 Antibody - BSA Free

Western Blot: MCM2 Antibody [NB100-288]

Western Blot: MCM2 Antibody [NB100-288]

Western Blot: MCM2 Antibody [NB100-288] - Detection of human and mouse MCM2 by western blot. Samples: Whole cell lysate (50 ug) from HeLa, HEK293T, Jurkat, mouse TCMK-1, and mouse NIH 3T3 cells prepared using NETN lysis buffer. Antibody: Affinity purified rabbit anti-MCM2 antibody NB100-288 used for WB at 0.1 ug/ml. Detection: Chemiluminescence with an exposure time of 10 seconds.
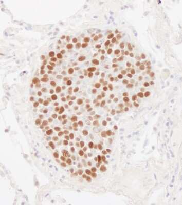
Immunohistochemistry-Paraffin: MCM2 Antibody [NB100-288]

Immunohistochemistry-Paraffin: MCM2 Antibody [NB100-288]

Immunohistochemistry-Paraffin: MCM2 Antibody [NB100-288] - Sample: FFPE section of human small cell lung cancer. Antibody: Affinity purified rabbit anti-MCM2 used at a dilution of 1:1,000 (1ug/ml). Detection: DAB
Immunoprecipitation: MCM2 Antibody [NB100-288]

Immunoprecipitation: MCM2 Antibody [NB100-288]

Immunoprecipitation: MCM2 Antibody [NB100-288] - Detection of human MCM2 by western blot of immunoprecipitates. Samples: Whole cell lysate (1.0 mg per IP reaction; 20% of IP loaded) from HEK293T cells prepared using NETN lysis buffer. Antibodies: Affinity purified rabbit anti-MCM2 antibody NB100-288 used for IP at 3 ug per reaction. MCM2 was also immunoprecipitated by rabbit anti-Phospho MCM2 (S108) antibody NB100-639. For blotting immunoprecipitated MCM2, NB100-288 was used at 1 ug/ml. Detection: Chemiluminescence with an exposure time of 10 seconds.

Applications for MCM2 Antibody - BSA Free

Application
Recommended Usage

Immunohistochemistry

1:2000-1:10000

Immunohistochemistry-Paraffin

1:2000-1:10000

Immunoprecipitation

2-5 ug//mg lysate

Western Blot

1:1000-1:10000
Application Notes
Epitope retrieval with citrate buffer pH 6.0 is recommended for FFPE tissue sections.

Reviewed Applications

Read 2 reviews rated 4 using NB100-288 in the following applications:

Formulation, Preparation, and Storage

Purification

Immunogen affinity purified

Formulation

Tris-Citrate/Phosphate (pH 7.0 - 8.0)

Format

BSA Free

Preservative

0.09% Sodium Azide

Concentration

1.0 mg/ml

Shipping

The product is shipped with polar packs. Upon receipt, store it immediately at the temperature recommended below.

Stability & Storage

Store at 4C. Do not freeze.

Background: MCM2

MCM2 is encoded by this gene is one of the highly conserved mini-chromosome maintenance proteins (MCM) that are involved in the initiation of eukaryotic genome replication. The hexameric protein complex formed by MCM proteins is a key component of the pre-replication complex (pre_RC) and may be involved in the formation of replication forks and in the recruitment of other DNA replication related proteins. This protein forms a complex with MCM4, 6, and 7, and has been shown to regulate the helicase activity of the complex. This protein is phosphorylated, and thus regulated by, protein kinases CDC2 and CDC7.

Long Name

Minichromosome Maintenance Protein 2

Alternate Names

BM28, CCNL1, cdc19, CDCL1, D3S3194, Mitotin

Entrez Gene IDs

4171 (Human)

Gene Symbol

MCM2

UniProt

Additional MCM2 Products

Product Documents for MCM2 Antibody - BSA Free

Certificate of Analysis

To download a Certificate of Analysis, please enter a lot number in the search box below.

Product Specific Notices for MCM2 Antibody - BSA Free

This product is for research use only and is not approved for use in humans or in clinical diagnosis. Primary Antibodies are guaranteed for 1 year from date of receipt.

Loading...
Loading...
Loading...
Loading...