Skip to main content

MCM2 [p Ser41] Antibody

Novus Biologicals, part of Bio-Techne | Catalog # NB100-2569

Novus Biologicals, part of Bio-Techne
Catalog #
Availability
Size / Price
Qty
Loading...
NB100-2569

Key Product Details

Validated by

Biological Validation

Species Reactivity

Validated:

Human

Cited:

Human

Applications

Validated:

Immunohistochemistry, Immunohistochemistry-Paraffin, Western Blot, Flow Cytometry

Cited:

Western Blot

Label

Unconjugated

Antibody Source

Polyclonal Rabbit IgG

Concentration

0.2 mg/ml

Product Specifications

Immunogen

Immunogen was a synthetic di-phosphorylated peptide, which represented a portion of human minichromosomal maintenance deficient 2 surrounding Serines 40 and 41 according to the numbering given in entry NP_004517.2 (GeneID 4171).

Modification

p Ser41

Clonality

Polyclonal

Host

Rabbit

Isotype

IgG

Description

Novus Biologicals Rabbit MCM2 [p Ser41] Antibody (NB100-2569) is a polyclonal antibody validated for use in IHC, WB and Flow. Anti-MCM2 Antibody: Cited in 3 publications. All Novus Biologicals antibodies are covered by our 100% guarantee.

Scientific Data Images for MCM2 [p Ser41] Antibody

Western Blot: MCM2 [p Ser41] Antibody [NB100-2569]

Western Blot: MCM2 [p Ser41] Antibody [NB100-2569]

Western Blot: MCM2 [p Ser41] Antibody [NB100-2569] - Whole cell lysate (50 ug) from asynchronous 293T cells that was mock treated (-) or treated (+) with phosphatases (PPase). Antibody used at 0.1 ug/ml. To examine total MCM2, the blot was stripped and then blotted with rabbit anti-MCM2 antibody at 0.1 ug/
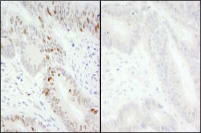
Immunohistochemistry: MCM2 [p Ser41] Antibody [NB100-2569]

Immunohistochemistry: MCM2 [p Ser41] Antibody [NB100-2569]

Immunohistochemistry: MCM2 [p Ser41] Antibody [NB100-2569] - Samples: FFPE serial sections of human colon carcinoma. Mock phosphatase treated section (left) and calf intestinal phosphatase-treated section (right). Antibody: Affinity purified rabbit anti-Phospho MCM2 (S40/S41) used at a dilution of 1:200 (1 ug/ml).
Flow Cytometry: MCM2 [p Ser41] Antibody [NB100-2569]

Flow Cytometry: MCM2 [p Ser41] Antibody [NB100-2569]

Flow Cytometry: MCM2 [p Ser41] Antibody [NB100-2569] - Flow cytometric analysis of phospho-MCM2 (pS40/41). Jurkat cells were fixed in 1.5% PFA, and permeabilized in 90% MeOH. 1 X 10e6 cells were stained with 0.1 mcg/ml anti-phospho- MCM2 (pS40/41) in a 150 mcl volume. DNA content was simultaneously analyzed via PI stain

Applications for MCM2 [p Ser41] Antibody

Application
Recommended Usage

Flow Cytometry

0.1 ug per 1 - 10^6 cells

Immunohistochemistry

1:200

Immunohistochemistry-Paraffin

1:200

Western Blot

1:1000-1:5000
Application Notes
Epitope retrieval with citrate buffer pH6.0 is recommended for FFPE tissue sections.

Formulation, Preparation, and Storage

Purification

Immunogen affinity purified

Formulation

TBS and 0.1% BSA

Preservative

0.09% Sodium Azide

Concentration

0.2 mg/ml

Shipping

The product is shipped with polar packs. Upon receipt, store it immediately at the temperature recommended below.

Stability & Storage

Store at 4C. Do not freeze.

Background: MCM2

The protein encoded by this gene is one of the highly conserved mini-chromosome maintenance proteins (MCM) that are involved in the initiation of eukaryotic genome replication. The hexameric protein complex formed by MCM proteins is a key component of the pre-replication complex (pre_RC) and may be involved in the formation of replication forks and in the recruitment of other DNA replication related proteins. This protein forms a complex with MCM4, 6, and 7, and has been shown to regulate the helicase activity of the complex. This protein is phosphorylated, and thus regulated by, protein kinases CDC2 and CDC7.

Long Name

Minichromosome Maintenance Protein 2

Alternate Names

BM28, CCNL1, cdc19, CDCL1, D3S3194, Mitotin

Entrez Gene IDs

4171 (Human)

Gene Symbol

MCM2

UniProt

Additional MCM2 Products

Product Documents for MCM2 [p Ser41] Antibody

Certificate of Analysis

To download a Certificate of Analysis, please enter a lot number in the search box below.

Product Specific Notices for MCM2 [p Ser41] Antibody

This product is for research use only and is not approved for use in humans or in clinical diagnosis. Primary Antibodies are guaranteed for 1 year from date of receipt.

Loading...
Loading...
Loading...
Loading...
Loading...