Skip to main content

MCAT Antibody - BSA Free

Novus Biologicals, part of Bio-Techne | Catalog # NBP1-83936

Novus Biologicals, part of Bio-Techne
Catalog #
Availability
Size / Price
Qty
Loading...
NBP1-83936

Key Product Details

Species Reactivity

Human

Applications

Immunohistochemistry, Immunohistochemistry-Paraffin, Western Blot

Label

Unconjugated

Antibody Source

Polyclonal Rabbit IgG

Format

BSA Free

Concentration

Concentrations vary lot to lot. See vial label for concentration. If unlisted please contact technical services.

Product Specifications

Immunogen

This antibody was developed against Recombinant Protein corresponding to amino acids: HKLLAQQLVSPVKWEQTMHAIYERKKGRGFPQTFEVGPGRQLGAILKSCNMQAWKSYSAVDVLQTLEHVDLDPQEP

Clonality

Polyclonal

Host

Rabbit

Isotype

IgG

Description

Novus Biologicals Rabbit MCAT Antibody - BSA Free (NBP1-83936) is a polyclonal antibody validated for use in IHC and WB. All Novus Biologicals antibodies are covered by our 100% guarantee.

Scientific Data Images for MCAT Antibody - BSA Free

MCAT Antibody - BSA Free Immunohistochemistry-Paraffin: MCAT Antibody - BSA Free [NBP1-83936]

Immunohistochemistry-Paraffin: MCAT Antibody - BSA Free [NBP1-83936]

Staining of human colon shows moderate granular cytoplasmic positivity in glandular cells.
MCAT Antibody - BSA Free Immunohistochemistry-Paraffin: MCAT Antibody - BSA Free [NBP1-83936]

Immunohistochemistry-Paraffin: MCAT Antibody - BSA Free [NBP1-83936]

Staining of human cerebral cortex shows strong cytoplasmic positivity in neuronal cells.
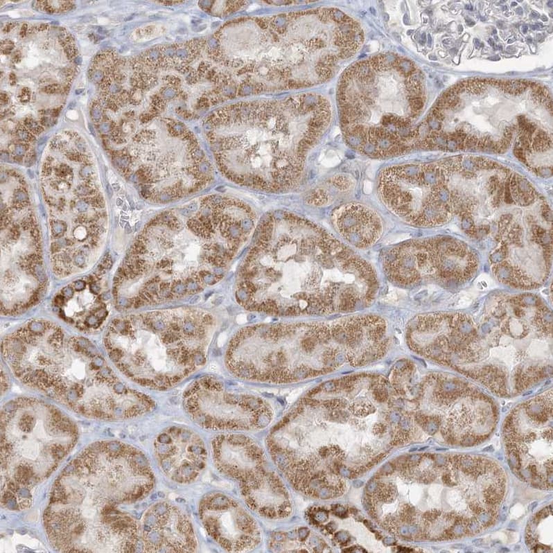
MCAT Antibody - BSA Free Immunohistochemistry-Paraffin: MCAT Antibody - BSA Free [NBP1-83936]

Immunohistochemistry-Paraffin: MCAT Antibody - BSA Free [NBP1-83936]

Staining of human kidney shows moderate granular cytoplasmic positivity in cells in tubules.

Applications for MCAT Antibody - BSA Free

Application
Recommended Usage

Immunohistochemistry

1:50 - 1:200

Immunohistochemistry-Paraffin

1:50 - 1:200

Western Blot

0.04-0.4 ug/ml
Application Notes
For IHC-Paraffin, HIER pH 6 retrieval is recommended.

Formulation, Preparation, and Storage

Purification

Immunogen affinity purified

Formulation

PBS (pH 7.2) and 40% Glycerol

Format

BSA Free

Preservative

0.02% Sodium Azide

Concentration

Concentrations vary lot to lot. See vial label for concentration. If unlisted please contact technical services.

Shipping

The product is shipped with polar packs. Upon receipt, store it immediately at the temperature recommended below.

Stability & Storage

Store at 4C short term. Aliquot and store at -20C long term. Avoid freeze-thaw cycles.

Background: MCAT

MCAT is encoded by this gene is found exclusively in the mitochondrion, where it catalyzes the transfer of a malonyl group from malonyl-CoA to the mitochondrial acyl carrier protein. The encoded protein may be part of a fatty acid synthase complex that is more like the type II prokaryotic and plastid complexes rather than the type I human cytosolic complex. Two transcript variants encoding different isoforms have been found for this gene.

Alternate Names

EC 2.3.1.39, fabD, FASN2C, malonyl CoA:ACP acyltransferase (mitochondrial), malonyl-CoA:acyl carrier protein transacylase, mitochondrial, malonyl-CoA-acyl carrier protein transacylase, mitochondrial, MCT[Acyl-carrier-protein] malonyltransferase, Mitochondrial malonyltransferase, MTMGC47838, NET62

Gene Symbol

MCAT

Additional MCAT Products

Product Documents for MCAT Antibody - BSA Free

Certificate of Analysis

To download a Certificate of Analysis, please enter a lot number in the search box below.

Product Specific Notices for MCAT Antibody - BSA Free

This product is for research use only and is not approved for use in humans or in clinical diagnosis. Primary Antibodies are guaranteed for 1 year from date of receipt.

Loading...
Loading...
Loading...
Loading...