Skip to main content

Maxi Potassium channel alpha Antibody - BSA Free

Novus Biologicals, part of Bio-Techne | Catalog # NBP2-33726

Novus Biologicals, part of Bio-Techne
Catalog #
Availability
Size / Price
Qty
Loading...
NBP2-33726
NBP2-33726-25ul

Key Product Details

Species Reactivity

Validated:

Human

Predicted:

Mouse (100%), Rat (100%). Backed by our 100% Guarantee.

Applications

Immunohistochemistry, Immunohistochemistry-Paraffin

Label

Unconjugated

Antibody Source

Polyclonal Rabbit IgG

Format

BSA Free

Concentration

Concentrations vary lot to lot. See vial label for concentration. If unlisted please contact technical services.

Product Specifications

Immunogen

This antibody was developed against a recombinant protein corresponding to amino acids: INLCDMCVILSANQNNIDDTSLQDKECILASLNIKSMQFDDSIGVLQANSQGFTPPGMDRSSPDNSPVHGMLRQPSITTGVNIPIITELVNDTNVQFLDQDDDDDPDTELYLTQP

Clonality

Polyclonal

Host

Rabbit

Isotype

IgG

Description

Novus Biologicals Rabbit Maxi Potassium channel alpha Antibody - BSA Free (NBP2-33726) is a polyclonal antibody validated for use in IHC. All Novus Biologicals antibodies are covered by our 100% guarantee.

Scientific Data Images for Maxi Potassium channel alpha Antibody - BSA Free

Immunohistochemistry-Paraffin: Maxi Potassium channel alpha Antibody [NBP2-33726]

Immunohistochemistry-Paraffin: Maxi Potassium channel alpha Antibody [NBP2-33726]

Immunohistochemistry-Paraffin: Maxi Potassium channel alpha Antibody [NBP2-33726] - Staining of human Fallopian tube shows weak membranous positivity in glandular cells.
Immunohistochemistry-Paraffin: Maxi Potassium channel alpha Antibody [NBP2-33726]

Immunohistochemistry-Paraffin: Maxi Potassium channel alpha Antibody [NBP2-33726]

Immunohistochemistry-Paraffin: Maxi Potassium channel alpha Antibody [NBP2-33726] - Staining of human rectum shows moderate membranous positivyt in glandular cells.
Immunohistochemistry-Paraffin: Maxi Potassium channel alpha Antibody [NBP2-33726]

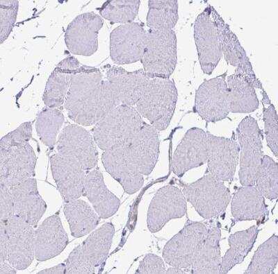
Immunohistochemistry-Paraffin: Maxi Potassium channel alpha Antibody [NBP2-33726]

Immunohistochemistry-Paraffin: Maxi Potassium channel alpha Antibody [NBP2-33726] - Staining of human skeletal muscle shows no positivity in myocytes as expected.

Applications for Maxi Potassium channel alpha Antibody - BSA Free

Application
Recommended Usage

Immunohistochemistry

1:200 - 1:500

Immunohistochemistry-Paraffin

1:200 - 1:500
Application Notes
For IHC-Paraffin, HIER pH 6 retrieval is recommended.

Formulation, Preparation, and Storage

Purification

Immunogen affinity purified

Formulation

PBS (pH 7.2) and 40% Glycerol

Format

BSA Free

Preservative

0.02% Sodium Azide

Concentration

Concentrations vary lot to lot. See vial label for concentration. If unlisted please contact technical services.

Shipping

The product is shipped with polar packs. Upon receipt, store it immediately at the temperature recommended below.

Stability & Storage

Store at 4C short term. Aliquot and store at -20C long term. Avoid freeze-thaw cycles.

Background: Maxi Potassium channel alpha/KCNMA1

Function: Potassium channel activated by both membrane depolarization or increase in cytosolic Ca(2+) that mediates export of K(+). It is also activated by the concentration of cytosolic Mg(2+). Its activation dampens the excitatory events that elevate the cytosolic Ca(2+) concentration and/or depolarize the cell membrane. It therefore contributes to repolarization of the membrane potential. Plays a key role in controlling excitability in a number of systems, such as regulation of the contraction of smooth muscle, the tuning of hair cells in the cochlea, regulation of transmitter release, and innate immunity. In smooth muscles, its activation by high level of Ca(2+), caused by ryanodine receptors in the sarcoplasmic reticulum, regulates the membrane potential. In cochlea cells, its number and kinetic properties partly determine the characteristic frequency of each hair cell and thereby helps to establish a tonotopic map. Kinetics of KCNMA1 channels are determined by alternative splicing, phosphorylation status and its combination with modulating beta subunits. Highly sensitive to both iberiotoxin (IbTx) and charybdotoxin (CTX). The protein was initially thought to contain two functionally distinct parts: The core channel (from the N-terminus to the S9 segment) that mediates the channel activity, and the cytoplasmic tail (from the S9 segment to the C-terminus) that mediates the calcium sensing. The situation is however more complex, since the core channel also contains binding sites for Ca(2+) and Mg(2+).; Defects in KCNMA1 are the cause of generalized epilepsy and paroxysmal dyskinesia (GEPD). Epilepsy is one of the most common and debilitating neurological disorders. Paroxysmal dyskinesias are neurological disorders characterized by sudden, unpredictable, disabling attacks of involuntary movement often requiring life-long treatment. The coexistence of epilepsy and paroxysmal dyskinesia in the same individual or family is an increasingly recognized phenomenon. Patients manifest absence seizures, generalized tonic-clonic seizures, paroxysmal nonkinesigenic dyskinesia, involuntary dystonic or choreiform movements. Onset is usually in childhood and patients may have seizures only, dyskinesia only, or both.; Enzyme regulation: Ethanol and carbon monoxide-bound heme increase channel activation. Heme inhibits channel activation.; Subcellular location: Membrane, Multi-pass membrane protein.; Tissue specificity: Widely expressed. Except in myocytes, it is almost ubiquitously expressed.

Long Name

Calcium-activated potassium channel subunit alpha-1

Alternate Names

BK channel, BKCA alpha, hSlo, K(VCA)alpha, KCa1.1, KCNMA, KCNMA1, Maxi K channel, MaxiK, SLO, Slo homolog, Slo-alpha, Slo1, Slowpoke homolog

Gene Symbol

KCNMA1

UniProt

Additional Maxi Potassium channel alpha/KCNMA1 Products

Product Documents for Maxi Potassium channel alpha Antibody - BSA Free

Certificate of Analysis

To download a Certificate of Analysis, please enter a lot number in the search box below.

Product Specific Notices for Maxi Potassium channel alpha Antibody - BSA Free

This product is for research use only and is not approved for use in humans or in clinical diagnosis. Primary Antibodies are guaranteed for 1 year from date of receipt.

Loading...
Loading...
Loading...
Loading...