Skip to main content

Max Antibody

Novus Biologicals, part of Bio-Techne | Catalog # NB100-793

Novus Biologicals, part of Bio-Techne
Catalog #
Availability
Size / Price
Qty
Loading...
NB100-793

Key Product Details

Species Reactivity

Validated:

Human, Rat

Cited:

Rat

Predicted:

Bovine (100%), Canine (100%), Mouse (100%). Backed by our 100% Guarantee.

Applications

Validated:

Immunohistochemistry, Immunohistochemistry-Paraffin, Western Blot, Peptide ELISA, Immunocytochemistry/ Immunofluorescence

Cited:

Western Blot

Label

Unconjugated

Antibody Source

Polyclonal Goat IgG

Concentration

0.5 mg/ml

Product Specifications

Immunogen

Peptide with sequence C-EEPQSRKKLRMEAS corresponding to C-Terminus according to NP_002373.3, NP_660087.1.

Reactivity Notes

Rat reactivity reported in scientific literature (PMID: 24676840).

Specificity

This antibody is expected to recognize both reported isoforms (NP_002373.3; NP_660087.1).

Clonality

Polyclonal

Host

Goat

Isotype

IgG

Description

Novus Biologicals Goat Max Antibody (NB100-793) is a polyclonal antibody validated for use in IHC, WB, ELISA and ICC/IF. Anti-Max Antibody: Cited in 3 publications. All Novus Biologicals antibodies are covered by our 100% guarantee.

Scientific Data Images for Max Antibody

Western Blot: Max Antibody [NB100-793]

Western Blot: Max Antibody [NB100-793]

Western Blot: Max Antibody [NB100-793] - Staining of Jurkat lysate (35 ug protein in RIPA buffer). Antibody at 0.01 ug/mL. Detected by chemiluminescence.
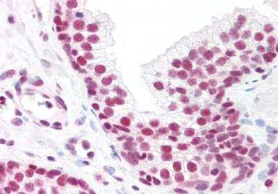
Immunohistochemistry-Paraffin: Max Antibody [NB100-793]

Immunohistochemistry-Paraffin: Max Antibody [NB100-793]

Immunohistochemistry-Paraffin: Max Antibody [NB100-793] - Staining of Prostate. Antibody at 10 ug/mL. Steamed antigen retrieval with citrate buffer pH 6, AP-staining.
Immunofluorescence: Max Antibody [NB100-793]

Immunofluorescence: Max Antibody [NB100-793]

Immunofluorescence: Max Antibody [NB100-793] - Immunofluorescence analysis of paraformaldehyde fixed A431 cells, permeabilized with 0.15% Triton. Primary incubation 1hr (10 ug/mL) followed by Alexa Fluor 488 secondary antibody (2 ug/mL), showing cytoplasmic and nuclear staining. The nuclear stain is DAPI (blue). Negative control: Unimmunized goat IgG (10 ug/mL) followed by Alexa Fluor 488 secondary antibody (2 ug/mL).

Applications for Max Antibody

Application
Recommended Usage

Immunohistochemistry-Paraffin

10 ug/mL

Peptide ELISA

Detection limit 1:32000

Western Blot

0.01 - 0.03 ug/mL
Application Notes
WB: Approx 22 kDa band observed in lysates of cell line Jurkat (calculated MW of 18.3 kDa according to NP_002373.3).

Formulation, Preparation, and Storage

Purification

Immunogen affinity purified

Formulation

Tris saline (20 mM Tris pH 7.3, 150 mM NaCl), 0.5% BSA

Preservative

0.02% Sodium Azide

Concentration

0.5 mg/ml

Shipping

The product is shipped with polar packs. Upon receipt, store it immediately at the temperature recommended below.

Stability & Storage

Store at -20C. Avoid freeze-thaw cycles.

Background: Max

A basic helix-loop-helix, leucine zipper protein that forms heterodimers with MYC and MAD - regulating gene expression.

Long Name

Myc associated factor X

Alternate Names

BHLHD4, bHLHd4MGC11225, bHLHd5, bHLHd6, bHLHd7, bHLHd8, Class D basic helix-loop-helix protein 4, helix-loop-helix zipper protein, MAX protein, MGC10775, MGC18164, MGC34679, MGC36767, MYC associated factor X, Myc-associated factor X, orf1, protein max

Entrez Gene IDs

4149 (Human); 17187 (Mouse)

Gene Symbol

MAX

UniProt

Additional Max Products

Product Documents for Max Antibody

Certificate of Analysis

To download a Certificate of Analysis, please enter a lot number in the search box below.

Product Specific Notices for Max Antibody

This product is for research use only and is not approved for use in humans or in clinical diagnosis. Primary Antibodies are guaranteed for 1 year from date of receipt.

Loading...
Loading...
Loading...
Loading...