Skip to main content

MAVS Antibody (PSH0-30)

Novus Biologicals, part of Bio-Techne | Catalog # NBP3-32569

Recombinant Monoclonal Antibody
Novus Biologicals, part of Bio-Techne
Catalog #
Availability
Size / Price
Qty
Loading...
NBP3-32569

Key Product Details

Species Reactivity

Human, Mouse, Rat

Applications

Immunocytochemistry/ Immunofluorescence, Immunohistochemistry, Immunohistochemistry-Paraffin, Western Blot

Label

Unconjugated

Antibody Source

Recombinant Monoclonal Rabbit IgG Clone # PSH0-30 expressed in HEK293

Concentration

1 mg/ml

Product Specifications

Immunogen

Synthetic peptide within human MAVS aa 2-50. (Uniprot: Q7Z434)

Localization

Membrane, Mitochondrion, Mitochondrion outer membrane, Peroxisome

Clonality

Monoclonal

Host

Rabbit

Isotype

IgG

Theoretical MW

56 kDa.
Disclaimer note: The observed molecular weight of the protein may vary from the listed predicted molecular weight due to post translational modifications, post translation cleavages, relative charges, and other experimental factors.

Description

Novus Biologicals Rabbit MAVS Antibody (PSH0-30) (NBP3-32569) is a recombinant monoclonal antibody validated for use in IHC, WB and ICC/IF. All Novus Biologicals antibodies are covered by our 100% guarantee.

Scientific Data Images for MAVS Antibody (PSH0-30)

MAVS Antibody (PSH0-30)

Western Blot: MAVS Antibody (PSH0-30) [NBP3-32569]

Western Blot: MAVS Antibody (PSH0-30) [NBP3-32569] - Western blot analysis of MAVS on different lysates with Rabbit anti-MAVS antibody (NBP3-32569) at 1/1,000 dilution.

Lane 1: MCF7 cell lysate
Lane 2: C2C12 cell lysate
Lane 3: A431 cell lysate
Lane 4: HeLa cell lysate
Lane 5: A549 cell lysate
Lane 6: Jurkat cell lysate
Lane 7: THP-1 cell lysate
Lane 8: NIH/3T3 cell lysate

Lysates/proteins at 10 ug/Lane.

Predicted band size: 56 kDa
Observed band size: 75 kDa
The molecular weight observed is consistent with that described in the literature (PMID: 16125763 and 30460894)

Exposure time: 10S;

10% SDS-PAGE gel.

Proteins were transferred to a PVDF membrane and blocked with 5% NFDM/TBST for 1 hour at room temperature. The primary antibody (NBP3-32569) at 1/1,000 dilution was used in 5% NFDM/TBST at room temperature for 2 hours. Goat Anti-Rabbit IgG - HRP Secondary Antibody at 1:200,000 dilution was used for 1 hour at room temperature.
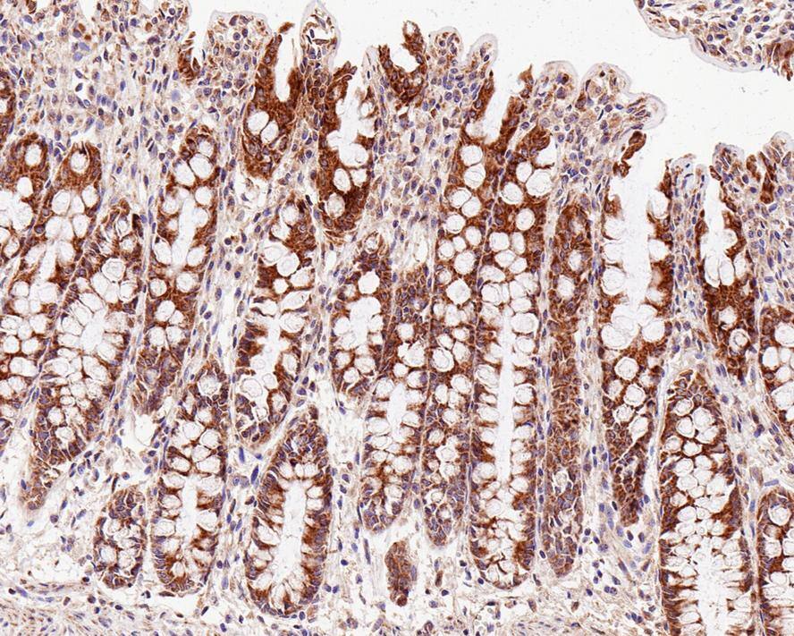
MAVS Antibody (PSH0-30)

Immunohistochemistry: MAVS Antibody (PSH0-30) [NBP3-32569]

Immunohistochemistry: MAVS Antibody (PSH0-30) [NBP3-32569] - Immunohistochemical analysis of paraffin-embedded human colon tissue with Rabbit anti-MAVS antibody (NBP3-32569) at 1/200 dilution.

The section was pre-treated using heat mediated antigen retrieval with Tris-EDTA buffer (pH 9.0) for 20 minutes. The tissues were blocked in 1% BSA for 20 minutes at room temperature, washed with ddH2O and PBS, and then probed with the primary antibody (NBP3-32569) at 1/200 dilution for 1 hour at room temperature. The detection was performed using an HRP conjugated compact polymer system. DAB was used as the chromogen. Tissues were counterstained with hematoxylin and mounted with DPX
MAVS Antibody (PSH0-30)

Immunocytochemistry/ Immunofluorescence: MAVS Antibody (PSH0-30) [NBP3-32569]

Immunocytochemistry/ Immunofluorescence: MAVS Antibody (PSH0-30) [NBP3-32569] - Immunocytochemistry analysis of A431 cells labeling MAVSwith Rabbit anti-MAVS antibody (NBP3-32569) at 1/100 dilution.

Cells were fixed in 4% paraformaldehyde for 10 minutes at 37 ℃, permeabilized with 0.05% Triton X-100 in PBS for 20 minutes, and then blocked with 2% negative goat serum for 30 minutes at room temperature. Cells were then incubated with Rabbit anti-MAVS antibody (NBP3-32569) at 1/100 dilution in 2% negative goat serum overnight at 4 ℃. Goat Anti-Rabbit IgG H&L (Alexa Fluor® 488) was used as the secondary antibody at 1/1,000 dilution. Nuclear DNA was labelled in blue with DAPI.

Beta tubulin (red) was stained at 1/100 dilution overnight at +4℃. Goat Anti-Mouse IgG H&L (Alexa Fluor® 647) were used as the secondary antibody at 1/1,000 dilution.

Applications for MAVS Antibody (PSH0-30)

Application
Recommended Usage

Immunocytochemistry/ Immunofluorescence

1:100

Immunohistochemistry-Paraffin

1:200-1:1000

Western Blot

1:1000

Formulation, Preparation, and Storage

Purification

Protein A purified

Formulation

PBS (pH7.4), 0.1% BSA and 40% Glycerol

Preservative

0.05% Sodium Azide

Concentration

1 mg/ml

Shipping

The product is shipped with polar packs. Upon receipt, store it immediately at the temperature recommended below.

Stability & Storage

Store at 4C short term. Aliquot and store at -20C long term. Avoid freeze-thaw cycles.

Background: MAVS

Double-stranded RNA viruses are recognized in a cell type-dependent manner by the transmembrane receptor TLR3 (MIM 603029) or by the cytoplasmic RNA helicases MDA5 (MIM 606951) and RIGI (ROBO3; MIM 608630). These interactions initiate signaling pathways that differ in their initial steps but converge in the activation of the protein kinases IKKA (CHUK; MIM 600664) and IKKB (IKBKB; MIM 603258), which activate NFKB (see MIM 164011), or TBK1 (MIM 604834) and IKKE (IKBKE; MIM 605048), which activate IRF3 (MIM 603734). Activated IRF3 and NFKB induce transcription of IFNB (IFNB1; MIM 147640). For the TLR3 pathway, the intermediary molecule before the pathways converge is the cytoplasmic protein TRIF (TICAM1; MIM 607601). For RIGI, the intermediary protein is mitochondria-bound IPS1 (Sen and Sarkar, 2005).[supplied by OMIM]

Long Name

Mitochondrial Antiviral Signaling Protein

Alternate Names

Cardif, IPS-1, VISA

Gene Symbol

MAVS

Additional MAVS Products

Product Documents for MAVS Antibody (PSH0-30)

Certificate of Analysis

To download a Certificate of Analysis, please enter a lot number in the search box below.

Product Specific Notices for MAVS Antibody (PSH0-30)

This product is for research use only and is not approved for use in humans or in clinical diagnosis. Primary Antibodies are guaranteed for 1 year from date of receipt.

Loading...
Loading...
Loading...
Loading...
Loading...