Matrilin-4 Antibody - BSA Free
Novus Biologicals, part of Bio-Techne | Catalog # NBP1-77012
Conjugate
Catalog #
Key Product Details
Species Reactivity
Validated:
Human, Mouse, Rat
Cited:
Human
Applications
Validated:
Immunohistochemistry, Immunohistochemistry-Paraffin, Western Blot, ELISA, Immunocytochemistry/ Immunofluorescence
Cited:
IF/IHC
Label
Unconjugated
Antibody Source
Polyclonal Rabbit IgG
Format
BSA Free
Concentration
1 mg/ml
Product Specifications
Immunogen
Antibody was raised against a 13 amino acid synthetic peptide near the amino terminus of human MATN4. The immunogen is located within amino acids 110 - 160 of MATN4. Amino Acid Squence: EGARPPEERVPRV
Clonality
Polyclonal
Host
Rabbit
Isotype
IgG
Description
Novus Biologicals Rabbit Matrilin-4 Antibody - BSA Free (NBP1-77012) is a polyclonal antibody validated for use in IHC, WB, ELISA and ICC/IF. Anti-Matrilin-4 Antibody: Cited in 1 publication. All Novus Biologicals antibodies are covered by our 100% guarantee.
Scientific Data Images for Matrilin-4 Antibody - BSA Free
Western Blot: Matrilin-4 AntibodyBSA Free [NBP1-77012]
Western Blot: Matrilin-4 Antibody [NBP1-77012] - Rat brain tissue lysate with MATN4 antibody at 1 ug/mL in (A) the absence and (B) the presence of blocking peptide.Immunocytochemistry/ Immunofluorescence: Matrilin-4 Antibody - BSA Free [NBP1-77012]
Immunocytochemistry/Immunofluorescence: Matrilin-4 Antibody [NBP1-77012] - Immunofluorescence of MATN4 in mouse brain tissue with MATN4 antibody at 20 ug/mL.Immunohistochemistry: Matrilin-4 Antibody - BSA Free [NBP1-77012] -
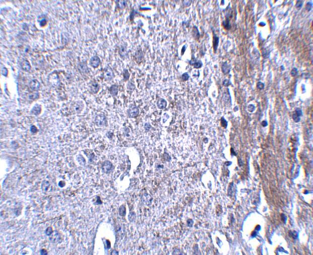
Immunohistochemistry: Matrilin-4 Antibody - BSA Free [NBP1-77012] - Immunohistochemistry of Matrilin-4 in mouse brain tissue with Matrilin-4 antibody at 2.5 u/mL.Applications for Matrilin-4 Antibody - BSA Free
Application
Recommended Usage
ELISA
1:100-1:2000
Immunocytochemistry/ Immunofluorescence
20 ug/ml
Immunohistochemistry
2.5 ug/ml
Immunohistochemistry-Paraffin
2.5 ug/ml
Western Blot
1 ug/ml
Formulation, Preparation, and Storage
Purification
Peptide affinity purified
Formulation
PBS
Format
BSA Free
Preservative
0.02% Sodium Azide
Concentration
1 mg/ml
Shipping
The product is shipped with polar packs. Upon receipt, store it immediately at the temperature recommended below.
Stability & Storage
Store at 4C short term. Aliquot and store at -20C long term. Avoid freeze-thaw cycles.
Background: Matrilin-4
Additional Matrilin-4 Products
Product Documents for Matrilin-4 Antibody - BSA Free
Product Specific Notices for Matrilin-4 Antibody - BSA Free
This product is for research use only and is not approved for use in humans or in clinical diagnosis. Primary Antibodies are guaranteed for 1 year from date of receipt.
Loading...
Loading...
Loading...
Loading...