Skip to main content

MATE1 Antibody - BSA Free

Novus Biologicals, part of Bio-Techne | Catalog # NBP1-87909

Novus Biologicals, part of Bio-Techne
Catalog #
Availability
Size / Price
Qty
Loading...
NBP1-87909
NBP1-87909-25ul

Key Product Details

Validated by

Orthogonal Validation

Species Reactivity

Validated:

Human, Rat

Cited:

Rat

Applications

Validated:

Immunohistochemistry, Immunohistochemistry-Paraffin

Cited:

IF/IHC

Label

Unconjugated

Antibody Source

Polyclonal Rabbit IgG

Format

BSA Free

Concentration

Concentrations vary lot to lot. See vial label for concentration. If unlisted please contact technical services.

Product Specifications

Immunogen

This antibody was developed against Recombinant Protein corresponding to amino acids: HANLKVNNVPRSGNSALPQDPLHPGCPENLEGILTNDVGKTGEPQSDQQMRQEEPLPEHPQDGAKLSRKQ

Reactivity Notes

Rat reactivity reported in scientific literature (PMID: 24887156).

Clonality

Polyclonal

Host

Rabbit

Isotype

IgG

Description

Novus Biologicals Rabbit MATE1 Antibody - BSA Free (NBP1-87909) is a polyclonal antibody validated for use in IHC. Anti-MATE1 Antibody: Cited in 1 publication. All Novus Biologicals antibodies are covered by our 100% guarantee.

Scientific Data Images for MATE1 Antibody - BSA Free

Immunohistochemistry-Paraffin: MATE1 Antibody [NBP1-87909]

Immunohistochemistry-Paraffin: MATE1 Antibody [NBP1-87909]

Immunohistochemistry-Paraffin: MATE1 Antibody [NBP1-87909] - Analysis in human adrenal gland and pancreas tissues. Corresponding SLC47A1 RNA-seq data are presented for the same tissues.
Immunohistochemistry-Paraffin: MATE1 Antibody [NBP1-87909]

Immunohistochemistry-Paraffin: MATE1 Antibody [NBP1-87909]

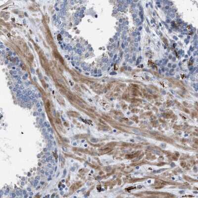
Immunohistochemistry-Paraffin: MATE1 Antibody [NBP1-87909] - Staining of human prostate shows moderate cytoplasmic positivity in smooth muscle cells.
Immunohistochemistry-Paraffin: MATE1 Antibody [NBP1-87909]

Immunohistochemistry-Paraffin: MATE1 Antibody [NBP1-87909]

Immunohistochemistry-Paraffin: MATE1 Antibody [NBP1-87909] - Staining of human adrenal gland shows strong membranous positivity in glandular cells.

Applications for MATE1 Antibody - BSA Free

Application
Recommended Usage

Immunohistochemistry

1:50 - 1:200

Immunohistochemistry-Paraffin

1:50 - 1:200
Application Notes
For IHC-Paraffin, HIER pH 6 retrieval is recommended.

Formulation, Preparation, and Storage

Purification

Affinity purified

Formulation

PBS (pH 7.2) and 40% Glycerol

Format

BSA Free

Preservative

0.02% Sodium Azide

Concentration

Concentrations vary lot to lot. See vial label for concentration. If unlisted please contact technical services.

Shipping

The product is shipped with polar packs. Upon receipt, store it immediately at the temperature recommended below.

Stability & Storage

Store at 4C short term. Aliquot and store at -20C long term. Avoid freeze-thaw cycles.

Background: MATE1

The MATE1 gene is located within the Smith-Magenis syndrome region on chromosome 17. It encodes a protein of unknown function. (provided by RefSeq)

Long Name

Multidrug and toxin extrusion protein 1

Alternate Names

hMATE-1, MATE-1, SLC47A1

Gene Symbol

SLC47A1

Additional MATE1 Products

Product Documents for MATE1 Antibody - BSA Free

Certificate of Analysis

To download a Certificate of Analysis, please enter a lot number in the search box below.

Product Specific Notices for MATE1 Antibody - BSA Free

This product is for research use only and is not approved for use in humans or in clinical diagnosis. Primary Antibodies are guaranteed for 1 year from date of receipt.

Loading...
Loading...
Loading...
Loading...