MAT2B Antibody - BSA Free
Novus Biologicals, part of Bio-Techne | Catalog # NBP1-82797
Key Product Details
Species Reactivity
Validated:
Human, Rat
Cited:
Human, Rat
Predicted:
Mouse (99%). Backed by our 100% Guarantee.
Applications
Validated:
Immunohistochemistry, Immunohistochemistry-Paraffin, Western Blot
Cited:
Western Blot
Label
Unconjugated
Antibody Source
Polyclonal Rabbit IgG
Format
BSA Free
Concentration
Concentrations vary lot to lot. See vial label for concentration. If unlisted please contact technical services.
Product Specifications
Immunogen
This antibody was developed against Recombinant Protein corresponding to amino acids: MFDKVQFSNKSANMDHWQQRFPTHVKDVATVCRQLAEKRMLDPSIKGTFHWSGNEQMTKYEMACAIADAFN
Reactivity Notes
Rat reactivity reported in the scientific literature (PMID: 20043323).
Clonality
Polyclonal
Host
Rabbit
Isotype
IgG
Theoretical MW
38 kDa.
Disclaimer note: The observed molecular weight of the protein may vary from the listed predicted molecular weight due to post translational modifications, post translation cleavages, relative charges, and other experimental factors.
Disclaimer note: The observed molecular weight of the protein may vary from the listed predicted molecular weight due to post translational modifications, post translation cleavages, relative charges, and other experimental factors.
Description
Novus Biologicals Rabbit MAT2B Antibody - BSA Free (NBP1-82797) is a polyclonal antibody validated for use in IHC and WB. Anti-MAT2B Antibody: Cited in 3 publications. All Novus Biologicals antibodies are covered by our 100% guarantee.
Scientific Data Images for MAT2B Antibody - BSA Free
Western Blot: MAT2B Antibody [NBP1-82797]
Western Blot: MAT2B Antibody [NBP1-82797] - Lane 1: Marker [kDa] 230, 130, 95, 72, 56, 36, 28, 17, 11. Lane 2: Human cell line RT-4. Lane 3: Human cell line U-251MG spImmunohistochemistry-Paraffin: MAT2B Antibody [NBP1-82797]
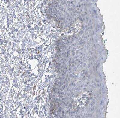
Immunohistochemistry-Paraffin: MAT2B Antibody [NBP1-82797] - Staining of human skin shows no positivity in keratinocytes as expected.Immunohistochemistry-Paraffin: MAT2B Antibody [NBP1-82797]
Immunohistochemistry-Paraffin: MAT2B Antibody [NBP1-82797] - Staining of human kidney shows moderate cytoplasmic and nuclear positivity in cells in tubules.Applications for MAT2B Antibody - BSA Free
Application
Recommended Usage
Immunohistochemistry
1:50 - 1:200
Immunohistochemistry-Paraffin
1:50 - 1:200
Western Blot
0.04-0.4 ug/ml
Application Notes
For IHC-Paraffin, HIER pH 6 retrieval is recommended.
Reviewed Applications
Read 1 review rated 4 using NBP1-82797 in the following applications:
Formulation, Preparation, and Storage
Purification
Immunogen affinity purified
Formulation
PBS (pH 7.2) and 40% Glycerol
Format
BSA Free
Preservative
0.02% Sodium Azide
Concentration
Concentrations vary lot to lot. See vial label for concentration. If unlisted please contact technical services.
Shipping
The product is shipped with polar packs. Upon receipt, store it immediately at the temperature recommended below.
Stability & Storage
Store at 4C short term. Aliquot and store at -20C long term. Avoid freeze-thaw cycles.
Background: MAT2B
Alternate Names
beta regulatory subunit of methionine adenosyltransferase, DTDP-4-keto-6-deoxy-D-glucose 4-reductase, MAT II beta, MAT-II, MATIIbeta, methionine adenosyltransferase 2 subunit beta, Methionine adenosyltransferase II beta, methionine adenosyltransferase II, beta, MGC12237, Nbla02999, putative protein product of Nbla02999, SDR23E1, short chain dehydrogenase/reductase family 23E, member 1, TGR
Entrez Gene IDs
27430 (Human)
Gene Symbol
MAT2B
UniProt
Additional MAT2B Products
Product Documents for MAT2B Antibody - BSA Free
Product Specific Notices for MAT2B Antibody - BSA Free
This product is for research use only and is not approved for use in humans or in clinical diagnosis. Primary Antibodies are guaranteed for 1 year from date of receipt.
Loading...
Loading...
Loading...
Loading...