Skip to main content

Mark3 Antibody (2G12) - BSA Free

Novus Biologicals, part of Bio-Techne | Catalog # NBP2-37445

Novus Biologicals, part of Bio-Techne
Catalog #
Availability
Size / Price
Qty
Loading...
NBP2-37445
NBP2-37445-0.025ml

Key Product Details

Species Reactivity

Human, Mouse

Applications

CyTOF-ready, ELISA, Flow Cytometry, Immunohistochemistry, Immunohistochemistry-Paraffin, Western Blot

Label

Unconjugated

Antibody Source

Monoclonal Mouse IgG1 Clone # 2G12

Format

BSA Free

Concentration

1 mg/ml

Product Specifications

Immunogen

Purified recombinant fragment of human MARK3 (AA: 435-658) expressed in E. Coli.

Reactivity Notes

Mouse blocking reagent may be needed for IHC and ICC experiments to reduce high background signal. You can find these reagents under catalog numbers PK-2200-NB and MP-2400-NB. Please contact Technical Support if you have any Please note that this antibody is reactive to Mouse and derived from the same host, Mouse. Mouse-On-questions.

Clonality

Monoclonal

Host

Mouse

Isotype

IgG1

Theoretical MW

87 kDa.
Disclaimer note: The observed molecular weight of the protein may vary from the listed predicted molecular weight due to post translational modifications, post translation cleavages, relative charges, and other experimental factors.

Description

Novus Biologicals Mouse Mark3 Antibody (2G12) - BSA Free (NBP2-37445) is a monoclonal antibody validated for use in IHC, WB, ELISA and Flow. All Novus Biologicals antibodies are covered by our 100% guarantee.

Scientific Data Images for Mark3 Antibody (2G12) - BSA Free

Western Blot: Mark3 Antibody (2G12)BSA Free [NBP2-37445]

Western Blot: Mark3 Antibody (2G12)BSA Free [NBP2-37445]

Western Blot: Mark3 Antibody (2G12) [NBP2-37445] - Analysis using MARK3 mouse mAb against HeLa (1), SK-N-SH (2), K562 (3), HCT116 (4), HEK293 (5), 3T3L1 (6), NIH3T3 (7), Jurkat (8), and A431 (9) cell lysate.
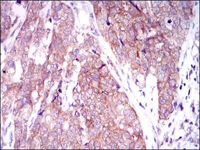
Immunohistochemistry-Paraffin: Mark3 Antibody (2G12) - BSA Free [NBP2-37445]

Immunohistochemistry-Paraffin: Mark3 Antibody (2G12) - BSA Free [NBP2-37445]

Immunohistochemistry-Paraffin: Mark3 Antibody (2G12) [NBP2-37445] - Analysis of cancer tissues using MARK3 mouse mAb with DAB staining.
Flow Cytometry: Mark3 Antibody (2G12) - BSA Free [NBP2-37445]

Flow Cytometry: Mark3 Antibody (2G12) - BSA Free [NBP2-37445]

Flow Cytometry: Mark3 Antibody (2G12) [NBP2-37445] - Analysis of SK-N-SH cells using MARK3 mouse mAb (green) and negative control (red).

Applications for Mark3 Antibody (2G12) - BSA Free

Application
Recommended Usage

ELISA

1:10000

Flow Cytometry

1:200 - 1:400

Immunohistochemistry

1:200 - 1:1000

Immunohistochemistry-Paraffin

1:200 - 1:1000

Western Blot

1:500 - 1:2000
Application Notes
This antibody is Cytof ready.

Formulation, Preparation, and Storage

Purification

Protein G purified

Formulation

PBS

Format

BSA Free

Preservative

0.05% Sodium Azide

Concentration

1 mg/ml

Shipping

The product is shipped with polar packs. Upon receipt, store it immediately at the temperature recommended below.

Stability & Storage

Store at 4C short term. Aliquot and store at -20C long term. Avoid freeze-thaw cycles.

Background: Mark3

MARK3 is a dual-specificity protein kinase that controls entry into mitosis by dephosphorylating Cdc2 on both threonine 14 and tyrosine 15. MARK3 is phosphorylated on serine 216 throughout interphase but not during mitosis. Serine 216 phosphorylation mediates the binding of 14-3-3 protein to MARK3, and MARK3/14-3-3 complexes are present throughout interphase but not during mitosis (1). Kinase suppressor of Ras (KSR) is a conserved component of the Ras pathway that interacts directly with MEK and MAPK. It has been shown that KSR1 translocates from the cytoplasm to the cell surface in response to growth factor treatment and that this process is regulated by MARK3 (2). MARK3 seems to be a positive regulator of the beta-catenin pathway and an inhibitor of the JNK pathway. These findings show that MARK3, a regulator of polarity, is also a modulator of Wnt-beta-catenin signalling, indicating a link between two important developmental pathways (3).

Alternate Names

Cdc25C-associated protein kinase 1, cTAK1, C-TAK1, CTAK1ELKL motif kinase 2, EC 2.7.11, EC 2.7.11.1, EMK2, EMK-2, KP78, MAP/microtubule affinity-regulating kinase 3, PAR1A, Protein kinase STK10, Ser/Thr protein kinase PAR-1, Serine/threonine-protein kinase p78

Gene Symbol

MARK3

Additional Mark3 Products

Product Documents for Mark3 Antibody (2G12) - BSA Free

Certificate of Analysis

To download a Certificate of Analysis, please enter a lot number in the search box below.

Product Specific Notices for Mark3 Antibody (2G12) - BSA Free

This product is for research use only and is not approved for use in humans or in clinical diagnosis. Primary Antibodies are guaranteed for 1 year from date of receipt.

Loading...
Loading...
Loading...
Loading...
Loading...