Skip to main content

MARCH10 Antibody - BSA Free

Novus Biologicals, part of Bio-Techne | Catalog # NBP1-89833

Novus Biologicals, part of Bio-Techne
Catalog #
Availability
Size / Price
Qty
Loading...
NBP1-89833
NBP1-89833-25ul

Key Product Details

Validated by

Orthogonal Validation

Species Reactivity

Human

Applications

Immunocytochemistry/ Immunofluorescence, Immunohistochemistry, Immunohistochemistry-Paraffin

Label

Unconjugated

Antibody Source

Polyclonal Rabbit IgG

Format

BSA Free

Concentration

Concentrations vary lot to lot. See vial label for concentration. If unlisted please contact technical services.

Product Specifications

Immunogen

This antibody was developed against Recombinant Protein corresponding to amino acids: LPDRESATEKDRGGSENAKKSPLSWDTKSEPRQEVGVNAENVWSDCISVEHRPGTHDSEGYWKDYLNSSQNSLDYFISGRPISPRSSVNSSYNPPAS

Clonality

Polyclonal

Host

Rabbit

Isotype

IgG

Description

Novus Biologicals Rabbit MARCH10 Antibody - BSA Free (NBP1-89833) is a polyclonal antibody validated for use in IHC and ICC/IF. All Novus Biologicals antibodies are covered by our 100% guarantee.

Scientific Data Images for MARCH10 Antibody - BSA Free

MARCH10 Antibody - BSA Free Immunocytochemistry/ Immunofluorescence: MARCH10 Antibody - BSA Free [NBP1-89833]

Immunocytochemistry/ Immunofluorescence: MARCH10 Antibody - BSA Free [NBP1-89833]

Staining of human cell line U-2 OS shows localization to plasma membrane & cytosol.
MARCH10 Antibody - BSA Free Immunohistochemistry-Paraffin: MARCH10 Antibody - BSA Free [NBP1-89833]

Immunohistochemistry-Paraffin: MARCH10 Antibody - BSA Free [NBP1-89833]

Analysis in human testis and skeletal muscle tissues using NBP1-89833 antibody. Corresponding MARCH10 RNA-seq data are presented for the same tissues.
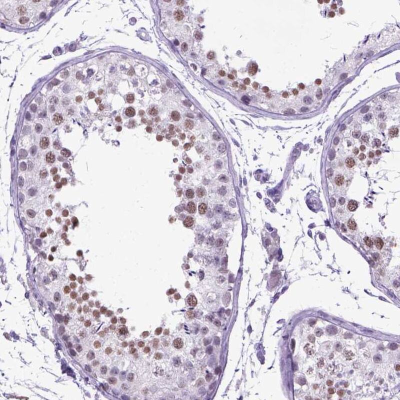
MARCH10 Antibody - BSA Free Immunohistochemistry-Paraffin: MARCH10 Antibody - BSA Free [NBP1-89833]

Immunohistochemistry-Paraffin: MARCH10 Antibody - BSA Free [NBP1-89833]

Staining of human testis shows strong nuclear positivity in spermatocytes in seminiferous ducts.

Applications for MARCH10 Antibody - BSA Free

Application
Recommended Usage

Immunocytochemistry/ Immunofluorescence

0.25-2 ug/ml

Immunohistochemistry

1:500 - 1:1000

Immunohistochemistry-Paraffin

1:500 - 1:1000
Application Notes
For IHC-Paraffin, HIER pH 6 retrieval method is recommended. Immunocytochemistry/Immunofluorescence Fixation Permeabilization: Use PFA/Triton X-100.

Formulation, Preparation, and Storage

Purification

Immunogen affinity purified

Formulation

PBS (pH 7.2) and 40% Glycerol

Format

BSA Free

Preservative

0.02% Sodium Azide

Concentration

Concentrations vary lot to lot. See vial label for concentration. If unlisted please contact technical services.

Shipping

The product is shipped with polar packs. Upon receipt, store it immediately at the temperature recommended below.

Stability & Storage

Store at 4C short term. Aliquot and store at -20C long term. Avoid freeze-thaw cycles.

Background: MARCH10

Alternate Names

EC 6.3.2.-, FLJ35757, MARCH-Xprobable E3 ubiquitin-protein ligase MARCH10, membrane-associated ring finger (C3HC4) 10, Membrane-associated RING finger protein 10, Membrane-associated RING-CH protein X, RING finger protein 190RNF190

Entrez Gene IDs

162333 (Human)

Gene Symbol

MARCH10

UniProt

Additional MARCH10 Products

Product Documents for MARCH10 Antibody - BSA Free

Certificate of Analysis

To download a Certificate of Analysis, please enter a lot number in the search box below.

Product Specific Notices for MARCH10 Antibody - BSA Free

This product is for research use only and is not approved for use in humans or in clinical diagnosis. Primary Antibodies are guaranteed for 1 year from date of receipt.

Loading...
Loading...
Loading...
Loading...