Skip to main content

MAP4K6 Antibody - BSA Free

Novus Biologicals, part of Bio-Techne | Catalog # NBP2-49220

Novus Biologicals, part of Bio-Techne
Catalog #
Availability
Size / Price
Qty
Loading...
NBP2-49220-25ul
NBP2-49220

Key Product Details

Validated by

Orthogonal Validation

Species Reactivity

Validated:

Human

Predicted:

Mouse (100%), Rat (98%). Backed by our 100% Guarantee.

Applications

Immunohistochemistry, Immunohistochemistry-Paraffin, Western Blot

Label

Unconjugated

Antibody Source

Polyclonal Rabbit IgG

Format

BSA Free

Concentration

Concentrations vary lot to lot. See vial label for concentration. If unlisted please contact technical services.

Product Specifications

Immunogen

This antibody was developed against a recombinant protein corresponding to amino acids: ARPRSNSAWQIYLQRRAERGTPKPPGPPAQPPGPPNASSNPDLRRSDPGWERSDSVLPASHGHL

Clonality

Polyclonal

Host

Rabbit

Isotype

IgG

Description

Novus Biologicals Rabbit MAP4K6 Antibody - BSA Free (NBP2-49220) is a polyclonal antibody validated for use in IHC and WB. All Novus Biologicals antibodies are covered by our 100% guarantee.

Scientific Data Images for MAP4K6 Antibody - BSA Free

Western Blot: MAP4K6 Antibody [NBP2-49220]

Western Blot: MAP4K6 Antibody [NBP2-49220]

Western Blot: MAP4K6 Antibody [NBP2-49220] - Analysis in human cell lines A-549 and U2OS using anti-MINK1 antibody. Corresponding MINK1 RNA-seq data are presented for the same cell lines. Loading control: anti-GAPDH.
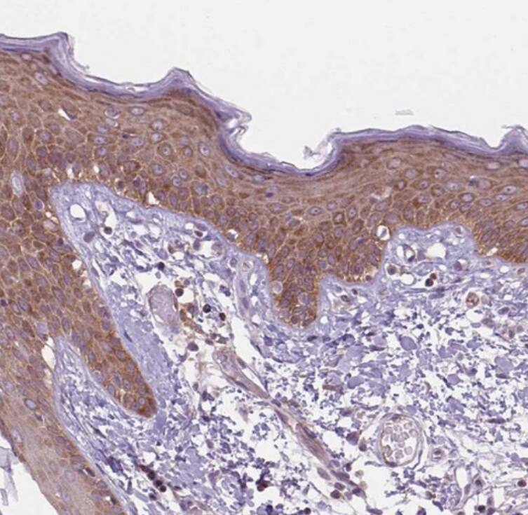
MAP4K6 Antibody - BSA Free

MAP4K6 Antibody [NBP2-49220] -

Staining of human skin shows strong cytoplasmic positivity in squamous epithelial cells.
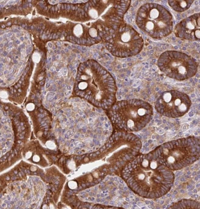
MAP4K6 Antibody - BSA Free

MAP4K6 Antibody [NBP2-49220] -

Staining of human duodenum shows strong cytoplasmic positivity in glandular cells.

Applications for MAP4K6 Antibody - BSA Free

Application
Recommended Usage

Immunohistochemistry

1:50 - 1:200

Immunohistochemistry-Paraffin

1:50 - 1:200

Western Blot

0.04-0.4 ug/ml
Application Notes
For IHC-Paraffin, HIER pH 6 retrieval is recommended.

Formulation, Preparation, and Storage

Purification

Immunogen affinity purified

Formulation

PBS (pH 7.2) and 40% Glycerol

Format

BSA Free

Preservative

0.02% Sodium Azide

Concentration

Concentrations vary lot to lot. See vial label for concentration. If unlisted please contact technical services.

Shipping

The product is shipped with polar packs. Upon receipt, store it immediately at the temperature recommended below.

Stability & Storage

Store at 4C short term. Aliquot and store at -20C long term. Avoid freeze-thaw cycles.

Background: MAP4K6

MINK1 (misshapen/NIKs-related kinase 1) is a member of the germinal center kinase (GCK) family that are homologous to the yeast sterile 20 (Ste20) kinases. GCKs function in the activation of the JNK pathway. MINK1 has been found to activate the JNK pathway and may have a role in modulating cytoskeletal organization, cell adhesion, and cell migration during development.

Alternate Names

B55, EC 2.7.11, GCK family kinase MiNK, hMINK, hMINKbeta, MAP4K6EC 2.7.11.1, MAPK/ERK kinase kinase kinase 6, MEK kinase kinase 6, MGC21111, MINKMEKKK 6, Misshapen/NIK-related kinase, misshapen-like kinase 1, misshapen-like kinase 1 (zebrafish), Mitogen-activated protein kinase kinase kinase kinase 6, serine/threonine protein kinase, YSK2, ZC3

Gene Symbol

MINK1

Additional MAP4K6 Products

Product Documents for MAP4K6 Antibody - BSA Free

Certificate of Analysis

To download a Certificate of Analysis, please enter a lot number in the search box below.

Product Specific Notices for MAP4K6 Antibody - BSA Free

This product is for research use only and is not approved for use in humans or in clinical diagnosis. Primary Antibodies are guaranteed for 1 year from date of receipt.

Loading...
Loading...
Loading...
Loading...