Skip to main content

MAP4K1 Antibody - BSA Free

Novus Biologicals, part of Bio-Techne | Catalog # NBP1-31000

Novus Biologicals, part of Bio-Techne
Catalog #
Availability
Size / Price
Qty
Loading...
NBP1-31000

Key Product Details

Species Reactivity

Validated:

Human

Predicted:

Bovine (92%). Backed by our 100% Guarantee.

Applications

Immunohistochemistry, Immunohistochemistry-Paraffin, Western Blot

Label

Unconjugated

Antibody Source

Polyclonal Rabbit IgG

Format

BSA Free

Concentration

Concentrations vary lot to lot. See vial label for concentration. If unlisted please contact technical services.

Product Specifications

Immunogen

Carrier-protein conjugated synthetic peptide encompassing a sequence within the N-terminus region of human MAP4K1. The exact sequence is proprietary.

Reactivity Notes

Immunogen displays the following percentage of sequence identity for non-tested species: Mouse (83%) and Rat (83%).

Clonality

Polyclonal

Host

Rabbit

Isotype

IgG

Theoretical MW

91 kDa.
Disclaimer note: The observed molecular weight of the protein may vary from the listed predicted molecular weight due to post translational modifications, post translation cleavages, relative charges, and other experimental factors.

Description

Novus Biologicals Rabbit MAP4K1 Antibody - BSA Free (NBP1-31000) is a polyclonal antibody validated for use in IHC and WB. All Novus Biologicals antibodies are covered by our 100% guarantee.

Scientific Data Images for MAP4K1 Antibody - BSA Free

Western Blot: MAP4K1 Antibody [NBP1-31000]

Western Blot: MAP4K1 Antibody [NBP1-31000]

Western Blot: MAP4K1 Antibody [NBP1-31000] - Sample (30 ug of whole cell lysate) A: Hela 7. 5% SDS PAGE; antibody diluted at 1:1000.
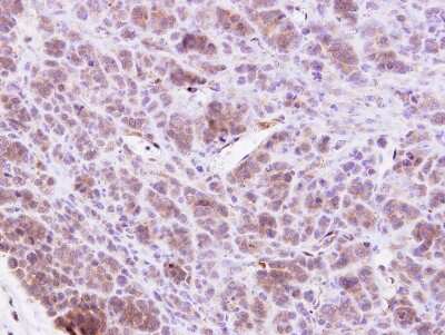
Immunohistochemistry-Paraffin: MAP4K1 Antibody [NBP1-31000]

Immunohistochemistry-Paraffin: MAP4K1 Antibody [NBP1-31000]

Immunohistochemistry-Paraffin: MAP4K1 Antibody [NBP1-31000] - BT438 xenograft. MAP4K1 antibody [N1], N-term dilution: 1:500. Antigen Retrieval: Trilogy™ (EDTA based, pH 8.0) buffer, 15min.

Applications for MAP4K1 Antibody - BSA Free

Application
Recommended Usage

Immunohistochemistry

1:100-1:1000

Immunohistochemistry-Paraffin

1:100-1:1000

Western Blot

1:500-1:3000

Formulation, Preparation, and Storage

Purification

Antigen Affinity-purified

Formulation

PBS, 40% Glycerol

Format

BSA Free

Preservative

0.01% Thimerosal

Concentration

Concentrations vary lot to lot. See vial label for concentration. If unlisted please contact technical services.

Shipping

The product is shipped with polar packs. Upon receipt, store it immediately at the temperature recommended below.

Stability & Storage

Store at 4C short term. Aliquot and store at -20C long term. Avoid freeze-thaw cycles.

Background: MAP4K1

The hematopoietic progenitor kinase 1 (HPK1) is a mammalian hematopoiesis-specific Ste20 homologue belonging to the germinal center (GC) kinase family, which contains at least 20 kinases (1). HPK1 is implicated in a variety of signaling systems, including epidermal growth factor, transforming growth factor-beta, erythropoietin, prostaglandin E2, and T cell receptor and B cell receptor stimulation. HPK1 is also involved in Fas ligation-mediated apoptosis, NF-B activation and a highly specific activator of the JNK/SAP signaling pathway (2-5). Phosphorylation of HPK1 on threonine 165, serine 171 and tyrosine 379 is a prerequisite for its enzymatic activation in response to immunoreceptor stimulation (6).

Alternate Names

EC 2.7.11, EC 2.7.11.1, Hematopoietic progenitor kinase, HPK1hematopoietic progenitor kinase 1, MAPK/ERK kinase kinase kinase 1, MEK kinase kinase 1, MEKKK 1, mitogen-activated protein kinase kinase kinase kinase 1

Gene Symbol

MAP4K1

Additional MAP4K1 Products

Product Documents for MAP4K1 Antibody - BSA Free

Certificate of Analysis

To download a Certificate of Analysis, please enter a lot number in the search box below.

Product Specific Notices for MAP4K1 Antibody - BSA Free

This product is for research use only and is not approved for use in humans or in clinical diagnosis. Primary Antibodies are guaranteed for 1 year from date of receipt.

Loading...
Loading...
Loading...
Loading...

⚠ WARNING: This product can expose you to chemicals including mercury, which is known to the State of California to cause reproductive toxicity with developmental effects.  For more information go to www.P65Warnings.ca.gov.