Skip to main content

MAML3 Antibody - BSA Free

Novus Biologicals, part of Bio-Techne | Catalog # NB100-2128

Novus Biologicals, part of Bio-Techne

Key Product Details

Validated by

Independent Antibodies, Biological Validation

Species Reactivity

Human

Applications

Immunohistochemistry, Immunohistochemistry-Paraffin, Western Blot, Immunoprecipitation

Label

Unconjugated

Antibody Source

Polyclonal Rabbit IgG

Format

BSA Free

Concentration

1.0 mg/ml

Product Specifications

Immunogen

The immunogen recognized by this antibody maps to a region between residue 150 and 200 of human Mastermind-Like 3 using the numbering given in entry NP_061187.2 (GeneID 55534).

Clonality

Polyclonal

Host

Rabbit

Isotype

IgG

Scientific Data Images for MAML3 Antibody - BSA Free

Western Blot: MAML3 Antibody [NB100-2128]

Western Blot: MAML3 Antibody [NB100-2128]

Western Blot: MAML3 Antibody [NB100-2128] - Detection of Human and Mouse MAML3 by Western Blot. Samples: Whole cell lysate (50 ug) from HeLa, 293T, and mouse NIH3T3 cells prepared using NETN lysis buffer. Antibody: Affinity purified rabbit anti-MAML3 antibody NB100-2128 used for WB at 0.1 ug/ml. Detection: Chemiluminescence with an exposure time of 3 minutes.
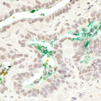
Immunohistochemistry-Paraffin: MAML3 Antibody [NB100-2128]

Immunohistochemistry-Paraffin: MAML3 Antibody [NB100-2128]

Immunohistochemistry-Paraffin: MAML3 Antibody [NB100-2128] - Sample: FFPE section of human prostate carcinoma. Antibody: Affinity purified rabbit anti-MAML3 (NB100-2128). Detection: DAB
Immunoprecipitation: MAML3 Antibody [NB100-2128]

Immunoprecipitation: MAML3 Antibody [NB100-2128]

Immunoprecipitation: MAML3 Antibody [NB100-2128] - Detection of human MAML3 by western blot of immunoprecipitates. Samples: Whole cell lysate (0.5 or 1.0 mg per IP reaction; 20% of IP loaded) from HEK293T cells prepared using NETN lysis buffer. Antibodies: Affinity purified rabbit anti-MAML3 antibody NB100-2128 used for IP at 6 ug per reaction. MAML3 was also immunoprecipitated by rabbit anti-MAML3 antibody NB100-2129. For blotting immunoprecipitated MAML3, NB100-2128 was used at 1 ug/ml. Detection: Chemiluminescence with an exposure time of 3 minutes.

Applications for MAML3 Antibody - BSA Free

Application
Recommended Usage

Immunohistochemistry-Paraffin

1:500 - 1:2000

Immunoprecipitation

2- 10 ug/mg of lysate

Western Blot

1:2000 - 1:10000
Application Notes
Epitope retrieval with Tris-EDTA pH9.0 is recommended for FFPE tissue sections.

Formulation, Preparation, and Storage

Purification

Immunogen affinity purified

Formulation

Tris-Citrate/Phosphate (pH 7.0 - 8.0)

Format

BSA Free

Preservative

0.09% Sodium Azide

Concentration

1.0 mg/ml

Shipping

The product is shipped with polar packs. Upon receipt, store it immediately at the temperature recommended below.

Stability & Storage

Store at 4C. Do not freeze.

Background: MAML3

The three MAML genes are widely expressed in adult tissues but exhibit distinct expression patterns in mouse early spinal cord development. All MAML proteins localize to nuclear bodies, share a conserved basic domain in their N termini that binds to the ankyrin repeat domain of Notch, and contain a transcriptional activation domain in their C termini. MAML3 acts as a transcriptional coactivator for NOTCH proteins and has been shown to amplify NOTCH-induced transcription of HES1.

Alternate Names

CAG/CTG 3, ERDA3, MAM-2, mam-3, mastermind-like 3 (Drosophila), mastermind-like protein 3, polyglutamine rich, trinucleotide repeat containing 3

Entrez Gene IDs

55534 (Human)

Gene Symbol

MAML3

Additional MAML3 Products

Product Documents for MAML3 Antibody - BSA Free

Certificate of Analysis

To download a Certificate of Analysis, please enter a lot number in the search box below.

Product Specific Notices for MAML3 Antibody - BSA Free

This product is for research use only and is not approved for use in humans or in clinical diagnosis. Primary Antibodies are guaranteed for 1 year from date of receipt.

Loading...
Loading...
Loading...
Loading...